Telefon:
+49 (0)241 95 163 153
Fax:
+49 (0)241 95 163 155
E-Mail:
orders@antikoerper-online.de

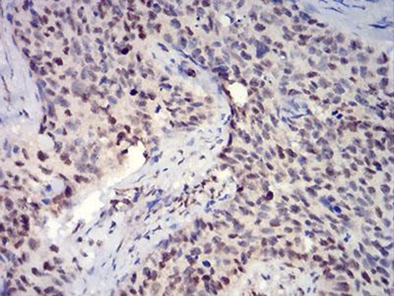
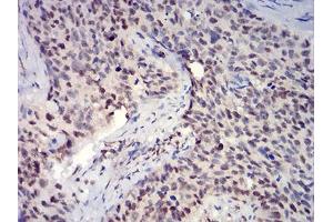
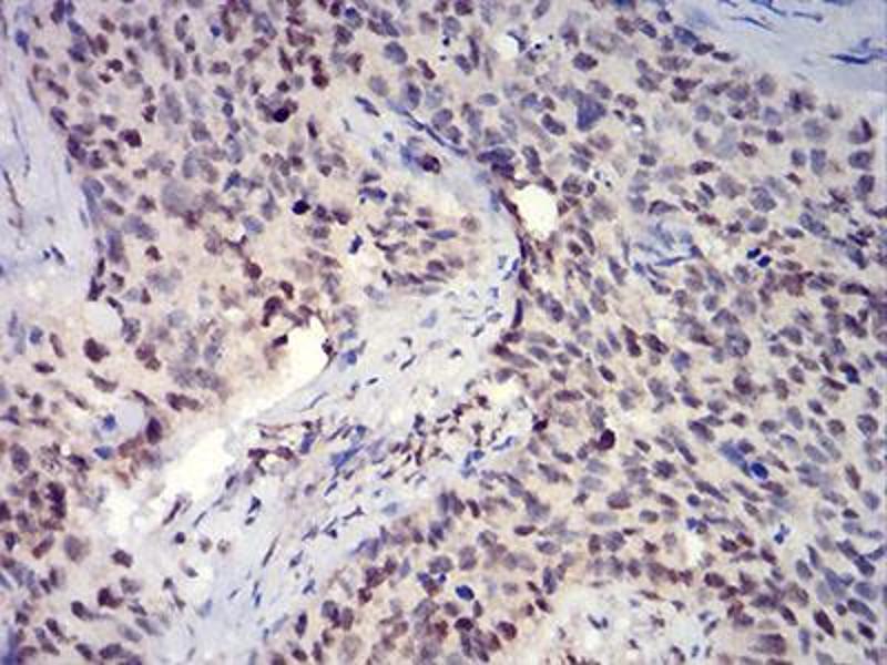
Histone Cluster 2, H3c (HIST2H3C) (acLys27) Antikörper

Der Maus Monoklonal anti-Histone Cluster 2, H3c Antikörper wird verwendet zum Nachweis von Histone Cluster 2, H3c in Proben von Human. Er wurde validiert für IHC, ELISA, FACS und WB.
Produktnummer ABIN5542710
657,84 €
Zzgl. Versandkosten 20,00 € und MwSt
100 μL
Lieferung nach: Deutschland
Lieferung in 7 bis 10 Werktagen

Kurzübersicht für Histone Cluster 2, H3c (HIST2H3C) (acLys27) Antikörper (ABIN5542710)

Target

Histone Cluster 2, H3c (HIST2H3C)

Reaktivität

Human

Wirt

  • 3
  • 1
Maus

Klonalität

  • 3
  • 1
Monoklonal

Konjugat

  • 4
Unkonjugiert

Applikation

  • 4
  • 3
  • 3
  • 3
  • 1
  • 1
  • 1
  • 1
Immunohistochemistry (IHC), ELISA, Flow Cytometry (FACS), Western Blotting (WB)

Klon

6E7A9
  • Bindungsspezifität

    • 2
    • 1
    • 1
    acLys27

    Verwendungszweck

    HIST2H3C (27Ac) Antibody

    Aufreinigung

    Purified antibody

    Immunogen

    Synthesized peptide of human HIST2H3C (AA: ATKAARK(Ac)SAPATGGV).

    Isotyp

    IgG1
  • Applikationshinweise

    ELISA: 1/10000

    FCM: 1/200 - 1/400

    Beschränkungen

    Nur für Forschungszwecke einsetzbar
  • Format

    Liquid

    Buffer

    Purified antibody in PBS with 0.05 % sodium azide.

    Konservierungsmittel

    Sodium azide

    Vorsichtsmaßnahmen

    This product contains Sodium azide: a POISONOUS AND HAZARDOUS SUBSTANCE which should be handled by trained staff only.

    Lagerung

    4 °C,-20 °C

    Informationen zur Lagerung

    Store at 4°C short term. Aliquot and store at -20°C long term. Avoid freeze/thaw cycles.
  • Target

    Histone Cluster 2, H3c (HIST2H3C)

    Andere Bezeichnung

    HIST2H3C

    Hintergrund

    Histones are basic nuclear proteins that are responsible for the nucleosome structure of the chromosomal fiber in eukaryotes. This structure consists of approximately 146 bp of DNA wrapped around a nucleosome, an octamer composed of pairs of each of the four core histones (H2A, H2B, H3, and H4). The chromatin fiber is further compacted through the interaction of a linker histone, H1, with the DNA between the nucleosomes to form higher order chromatin structures. This gene is intronless and encodes a member of the histone H3 family. Transcripts from this gene lack polyA tails, instead, they contain a palindromic termination element. This gene is found in a histone cluster on chromosome 1. This gene is one of four histone genes in the cluster that are duplicated, this record represents the telomeric copy.

    Molekulargewicht

    15.4 kDa

    Gen-ID

    126961

    UniProt

    Q71DI3
Sie sind hier:
Chat with us!