Telefon:
+49 (0)241 95 163 153
Fax:
+49 (0)241 95 163 155
E-Mail:
orders@antikoerper-online.de

ZFP91 Antikörper (AA 162-304)

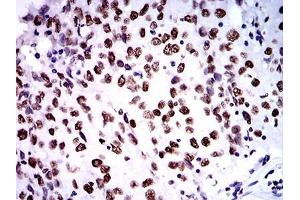
Der Maus Monoklonal anti-ZFP91 Antikörper (Klon 8C3D5) (ABIN5542699) detektiert spezifisch ZFP91 in WB, ELISA, IHC, FACS und ICC. Dieser Antikörper reagiert spezifisch mit Proben aus Human.
Produktnummer ABIN5542699
657,84 €
Zzgl. Versandkosten 20,00 € und MwSt
100 μL
Lieferung nach: Deutschland
Lieferung in 7 bis 10 Werktagen

Kurzübersicht für ZFP91 Antikörper (AA 162-304) (ABIN5542699)

Target

Alle ZFP91 Antikörper anzeigen
ZFP91 (ZFP91 Zinc Finger Protein (ZFP91))

Reaktivität

  • 45
  • 24
  • 24
  • 5
  • 5
  • 4
  • 4
  • 3
  • 3
  • 2
  • 2
  • 1
  • 1
  • 1
  • 1
Human

Wirt

  • 58
  • 2
Maus

Klonalität

  • 58
  • 2
Monoklonal

Konjugat

  • 24
  • 5
  • 5
  • 5
  • 2
  • 2
  • 1
  • 1
  • 1
  • 1
  • 1
  • 1
  • 1
  • 1
  • 1
  • 1
  • 1
  • 1
  • 1
  • 1
  • 1
  • 1
  • 1
Dieser ZFP91 Antikörper ist unkonjugiert

Applikation

  • 47
  • 28
  • 13
  • 13
  • 7
  • 6
  • 3
  • 2
  • 1
  • 1
  • 1
  • 1
Western Blotting (WB), ELISA, Immunohistochemistry (IHC), Flow Cytometry (FACS), Immunocytochemistry (ICC)

Klon

8C3D5
  • Bindungsspezifität

    • 15
    • 8
    • 7
    • 5
    • 3
    • 2
    • 2
    • 2
    • 1
    • 1
    • 1
    • 1
    • 1
    • 1
    • 1
    • 1
    • 1
    AA 162-304

    Verwendungszweck

    ZFP91 Antibody

    Aufreinigung

    Purified antibody

    Immunogen

    Purified recombinant fragment of human ZFP91 (AA: 162-304) expressed in E. Coli.

    Isotyp

    IgG1
  • Applikationshinweise

    ELISA: 1/10000

    FCM: 1/200 - 1/400

    ICC: 1/100 - 1/500

    Beschränkungen

    Nur für Forschungszwecke einsetzbar
  • Format

    Liquid

    Buffer

    Purified antibody in PBS with 0.05 % sodium azide.

    Konservierungsmittel

    Sodium azide

    Vorsichtsmaßnahmen

    This product contains Sodium azide: a POISONOUS AND HAZARDOUS SUBSTANCE which should be handled by trained staff only.

    Lagerung

    4 °C,-20 °C

    Informationen zur Lagerung

    Store at 4°C short term. Aliquot and store at -20°C long term. Avoid freeze/thaw cycles.
  • Target

    ZFP91 (ZFP91 Zinc Finger Protein (ZFP91))

    Andere Bezeichnung

    ZFP91

    Hintergrund

    The protein encoded by this gene is a member of the zinc finger family of proteins. The gene product contains C2H2-type domains, which are the classical zinc finger domains found in numerous nucleic acid-binding proteins. This protein functions as a regulator of the non-canonical NF-kappaB pathway in lymphotoxin-beta receptor signaling. Alternative splicing results in multiple transcript variants. A read-through transcript variant composed of ZFP91 and the downstream CNTF gene sequence has been identified, but it is thought to be non-coding. Read-through transcription of ZFP91 and CNTF has also been observed in mouse. A ZFP91-related pseudogene has also been identified on chromosome 2.

    Molekulargewicht

    63.4 kDa

    UniProt

    Q96JP5
Sie sind hier:
Chat with us!