Telefon:
+49 (0)241 95 163 153
Fax:
+49 (0)241 95 163 155
E-Mail:
orders@antikoerper-online.de

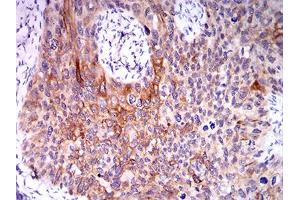
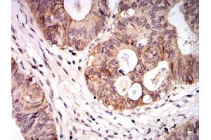
CPV-VP2 (AA 1-128) Antikörper

Dieser Maus Monoklonal Antikörper detektiert spezifisch CPV-VP2 in ELISA, FACS, ICC, IHC und WB. Es zeigt Reaktivität gegenüber Proben von Human.
Produktnummer ABIN5542331
498,33 €
Zzgl. Versandkosten 20,00 € und MwSt
100 μL
Lieferung nach: Deutschland
Lieferung in 7 bis 10 Werktagen

Kurzübersicht für CPV-VP2 (AA 1-128) Antikörper (ABIN5542331)

Target

CPV-VP2

Reaktivität

Human

Wirt

Maus

Klonalität

Monoklonal

Applikation

ELISA, Flow Cytometry (FACS), Immunocytochemistry (ICC), Immunohistochemistry (IHC), Western Blotting (WB)

Klon

2G10A3
  • Bindungsspezifität

    AA 1-128

    Verwendungszweck

    CPV-VP2 Antibody

    Aufreinigung

    Purified antibody

    Immunogen

    Purified recombinant fragment of Canine Parvovirus CPV-VP2 (AA: 1-128) expressed in E. Coli.

    Isotyp

    IgG1
  • Applikationshinweise

    ELISA: 1/10000

    FCM: 1/200 - 1/400

    ICC: 1/200 - 1/1000

    Beschränkungen

    Nur für Forschungszwecke einsetzbar
  • Format

    Liquid

    Buffer

    Purified antibody in PBS with 0.05 % sodium azide.

    Konservierungsmittel

    Sodium azide

    Vorsichtsmaßnahmen

    This product contains Sodium azide: a POISONOUS AND HAZARDOUS SUBSTANCE which should be handled by trained staff only.

    Lagerung

    4 °C,-20 °C

    Informationen zur Lagerung

    Store at 4°C short term. Aliquot and store at -20°C long term. Avoid freeze/thaw cycles.
  • Target

    CPV-VP2

    Molekulargewicht

    64.6 kDa
Sie sind hier:
Chat with us!