Telefon:
+49 (0)241 95 163 153
Fax:
+49 (0)241 95 163 155
E-Mail:
orders@antikoerper-online.de

Deoxyuridine Triphosphatase (DUT) (Internal Region) Antikörper

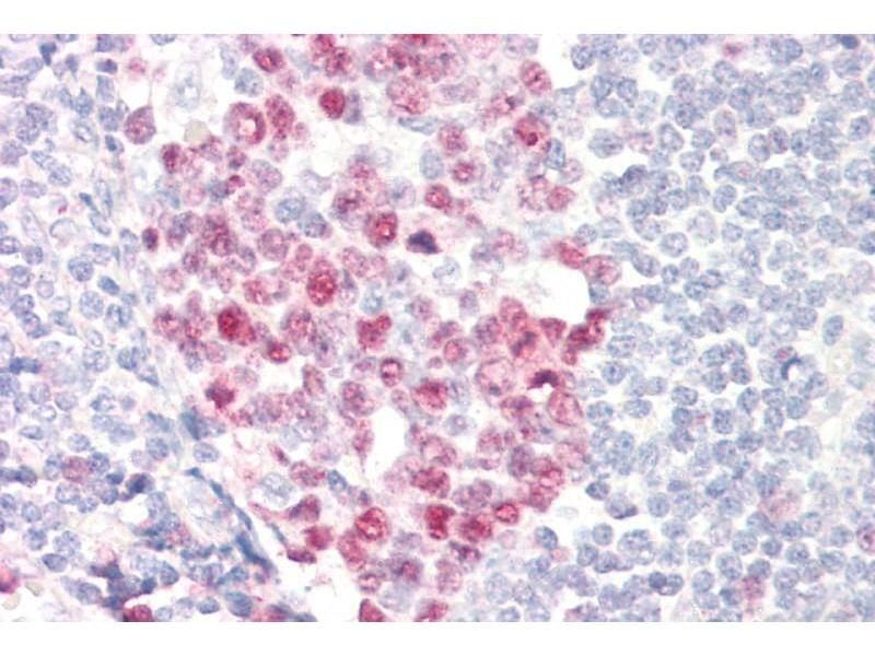
Der Ziege Polyklonal anti-Deoxyuridine Triphosphatase Antikörper (ABIN5539501) detektiert spezifisch Deoxyuridine Triphosphatase in WB, IHC und ELISA. Dieser Antikörper reagiert spezifisch mit Proben aus Human.
Produktnummer ABIN5539501
488,25 €
Zzgl. Versandkosten 20,00 € und MwSt
100 μg
Lieferung nach: Deutschland
Lieferung in 5 bis 8 Werktagen

Kurzübersicht für Deoxyuridine Triphosphatase (DUT) (Internal Region) Antikörper (ABIN5539501)

Target

Alle Deoxyuridine Triphosphatase (DUT) Antikörper anzeigen
Deoxyuridine Triphosphatase (DUT)

Reaktivität

  • 93
  • 34
  • 20
  • 4
  • 2
  • 2
  • 2
  • 2
  • 2
  • 1
  • 1
  • 1
  • 1
Human

Wirt

  • 91
  • 2
Ziege

Klonalität

  • 81
  • 12
Polyklonal

Konjugat

  • 34
  • 5
  • 3
  • 3
  • 3
  • 3
  • 3
  • 3
  • 3
  • 3
  • 2
  • 2
  • 2
  • 2
  • 2
  • 2
  • 2
  • 2
  • 2
  • 2
  • 2
  • 2
  • 2
  • 1
  • 1
  • 1
  • 1
Unkonjugiert

Applikation

  • 75
  • 27
  • 26
  • 24
  • 17
  • 15
  • 14
  • 11
  • 8
  • 6
  • 2
Western Blotting (WB), Immunohistochemistry (IHC), ELISA

Güteklasse

Verified
  • Bindungsspezifität

    • 15
    • 15
    • 9
    • 9
    • 3
    • 2
    • 2
    • 2
    • 1
    • 1
    • 1
    • 1
    • 1
    • 1
    • 1
    • 1
    Internal Region

    Verwendungszweck

    dUTPase / DUT

    Sequenz

    QLRFARLSEH ATAPT

    Spezifität

    This antibody is expected to recognize all reported isoforms (NP_001020419.1, NP_001939.1, NP_001020420.1).

    Kreuzreaktivität

    Rind (Kuh), Human, Schwein

    Aufreinigung

    Purified from goat serum by ammonium sulphate precipitation followed by antigen affinity chromatography using the immunizing peptide.

    Isotyp

    IgG
  • Applikationshinweise

    Immunohistochemistry: Paraffin embedded Human Testis and Tonsil. Recommended concentration: 5 μg/mL.

    Western Blot: Approx 20 kDa band observed in lysates of cell lines HEK293 and HeLa (calculated MW of 17.7 kDa according to NP_001939.1). Recommended concentration: 0.1-0.3 μg/mL. Primary incubation was 1 hour.

    Peptide ELISA: antibody detection limit dilution 1:16000.

    Beschränkungen

    Nur für Forschungszwecke einsetzbar
  • Format

    Liquid

    Konzentration

    0.5 mg/mL

    Buffer

    Supplied at 0.5 mg/mL in Tris saline, 0.02 % sodium azide, pH 7.3 with 0.5 % bovine serum albumin.

    Konservierungsmittel

    Sodium azide

    Vorsichtsmaßnahmen

    This product contains Sodium azide: a POISONOUS AND HAZARDOUS SUBSTANCE which should be handled by trained staff only.

    Handhabung

    Minimize freezing and thawing.

    Lagerung

    -20 °C

    Informationen zur Lagerung

    Aliquot and store at -20°C, with minimal freeze/thawing. A working aliquot may be refrigerated at 4°C for a few weeks and still remain viable.
  • Target

    Deoxyuridine Triphosphatase (DUT)

    Andere Bezeichnung

    DUT

    Hintergrund

    DUT, deoxyuridine triphosphatase, dUTPase, dUTP nucleotidohydrolase, dUTP pyrophosphatase, deoxyuridine 5'-triphosphate nucleotidohydrolase, mitochondrial

    Gen-ID

    1854

    NCBI Accession

    NP_001020419, NP_001939, NP_001020420
Sie sind hier:
Chat with us!