Telefon:
+49 (0)241 95 163 153
Fax:
+49 (0)241 95 163 155
E-Mail:
orders@antikoerper-online.de

ACSL4 Antikörper (AA 236-267)

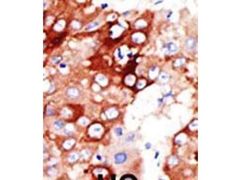
Dieser Kaninchen Polyklonal Antikörper detektiert spezifisch ACSL4 in WB, IF und IHC (p). Es zeigt Reaktivität gegenüber Proben von Human.
Produktnummer ABIN5533658
730,13 €
Zzgl. Versandkosten 20,00 € und MwSt
400 μL
Lieferung nach: Deutschland
Lieferung in 6 bis 9 Werktagen

Kurzübersicht für ACSL4 Antikörper (AA 236-267) (ABIN5533658)

Target

Alle ACSL4 Antikörper anzeigen
ACSL4 (Acyl-CoA Synthetase Long-Chain Family Member 4 (ACSL4))

Reaktivität

  • 79
  • 36
  • 34
  • 4
  • 3
  • 3
  • 3
  • 3
  • 1
  • 1
  • 1
  • 1
Human

Wirt

  • 78
  • 3
  • 1
Kaninchen

Klonalität

  • 64
  • 18
Polyklonal

Konjugat

  • 39
  • 5
  • 5
  • 4
  • 2
  • 2
  • 2
  • 2
  • 2
  • 2
  • 2
  • 2
  • 1
  • 1
  • 1
  • 1
  • 1
  • 1
  • 1
  • 1
  • 1
  • 1
  • 1
  • 1
  • 1
Dieser ACSL4 Antikörper ist unkonjugiert

Applikation

  • 70
  • 34
  • 31
  • 27
  • 25
  • 9
  • 8
  • 6
  • 1
  • 1
Western Blotting (WB), Immunofluorescence (IF), Immunohistochemistry (Paraffin-embedded Sections) (IHC (p))
  • Bindungsspezifität

    • 9
    • 8
    • 7
    • 6
    • 5
    • 3
    • 2
    • 2
    • 2
    • 1
    • 1
    • 1
    • 1
    • 1
    • 1
    AA 236-267

    Aufreinigung

    This antibody is prepared by Saturated Ammonium Sulfate (SAS) precipitation followed by dialysis

    Immunogen

    This ACSL4 (FACL4) antibody is generated from rabbits immunized with a KLH conjugated synthetic peptide between 236-267 amino acids from the Central region of human ACSL4 (FACL4).

    Isotyp

    Ig Fraction
  • Applikationshinweise

    For WB starting dilution is: 1:1000

    For IF starting dilution is: 1:10~50

    For IHC-P starting dilution is: 1:50~100

    Beschränkungen

    Nur für Forschungszwecke einsetzbar
  • Format

    Liquid

    Konzentration

    2 mg/mL

    Buffer

    Supplied in PBS with 0.09 % (W/V) sodium azide.

    Konservierungsmittel

    Sodium azide

    Vorsichtsmaßnahmen

    This product contains Sodium azide: a POISONOUS AND HAZARDOUS SUBSTANCE which should be handled by trained staff only.

    Lagerung

    4 °C,-20 °C

    Informationen zur Lagerung

    Store at 4°C for three months and -20°C, stable for up to one year. As with all antibodies care should be taken to avoid repeated freeze thaw cycles. Antibodies should not be exposed to prolonged high temperatures.
  • Target

    ACSL4 (Acyl-CoA Synthetase Long-Chain Family Member 4 (ACSL4))

    Andere Bezeichnung

    ACSL4

    Hintergrund

    Long chain acyl-CoA synthetase (LACS), or long chain fatty acid-CoA ligase (FACL), converts free long chain fatty acids into fatty acyl-CoA esters, key intermediates in the synthesis of complex lipids. The FACL4 gene encodes a form of LACS and is expressed in several tissues, including brain. FACL4 cDNA from brain encodes a gene product that shows preference for arachidonic acid as a substrate when expressed in mammalian cells.1 The sequence of the predicted 670-amino acid human protein is 97 % identical to that of rat ACS4. FACL4 is highly expressed in adult human brain, especially in the cerebellum and hippocampus, similar to the mouse.2 A strong cytoplasmic staining was found in the Purkinje and granular cells of the cerebellum and the pyramidal layer of hippocampus, indicating that FACL4 is specifically expressed in neurons and not in glial cells. Two patients with Alport syndrome, elliptocytosis, and mental retardation carried a large deletion of the COL4A5 region that included FACL4.3 The absence of FACL4 might play a role in the development of mental retardation or other signs associated with Alport syndrome. Two point mutations, 1 missense and 1 splice site change, were reported in the FACL4 gene in 2 families with nonspecific mental retardation.2 Analysis of enzymatic activity in lymphoblastoid cell lines of affected individuals revealed low levels compared with normal cells, indicating that both mutations are null mutations.

    Molekulargewicht

    79 kDa

    Gen-ID

    2182

    UniProt

    O60488
Sie sind hier:
Chat with us!