Telefon:
+49 (0)241 95 163 153
Fax:
+49 (0)241 95 163 155
E-Mail:
orders@antikoerper-online.de

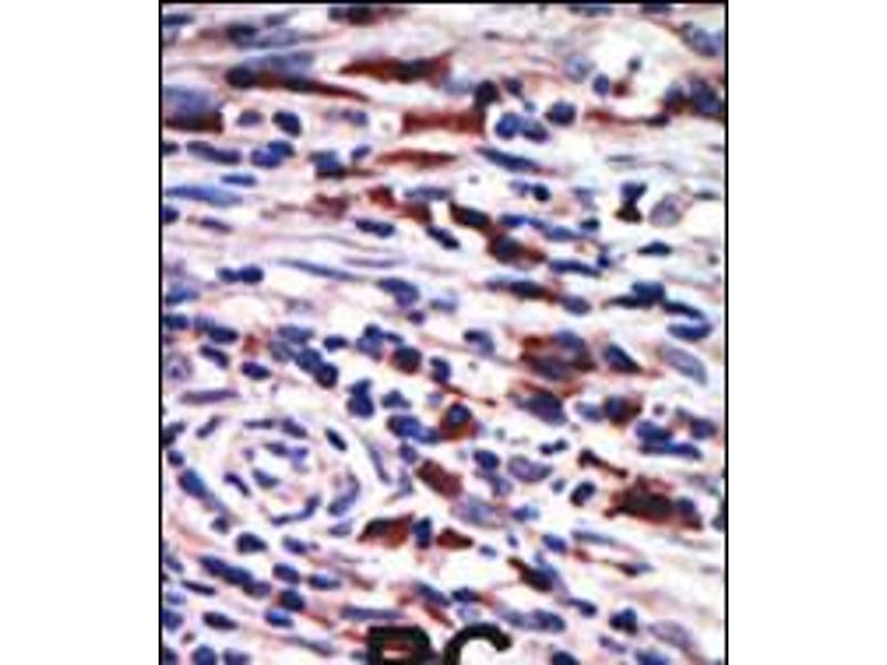
PKC eta Antikörper (N-Term)

Der Kaninchen Polyklonal anti-PKC eta Antikörper wird verwendet zum Nachweis von PKC eta in Proben von Human. Er wurde validiert für WB und IHC (p).
Produktnummer ABIN5531850
730,13 €
Zzgl. Versandkosten 20,00 € und MwSt
400 μL
Lieferung nach: Deutschland
Lieferung in 6 bis 9 Werktagen

Kurzübersicht für PKC eta Antikörper (N-Term) (ABIN5531850)

Target

Alle PKC eta (PRKCH) Antikörper anzeigen
PKC eta (PRKCH) (Protein Kinase C, eta (PRKCH))

Reaktivität

  • 64
  • 36
  • 28
  • 5
  • 5
  • 4
  • 4
  • 4
  • 4
  • 3
  • 2
  • 2
  • 1
Human

Wirt

  • 68
  • 4
Kaninchen

Klonalität

  • 56
  • 15
Polyklonal

Konjugat

  • 42
  • 7
  • 7
  • 4
  • 2
  • 2
  • 1
  • 1
  • 1
  • 1
  • 1
  • 1
  • 1
  • 1
Dieser PKC eta Antikörper ist unkonjugiert

Applikation

  • 62
  • 35
  • 26
  • 24
  • 4
  • 3
  • 2
  • 1
  • 1
  • 1
  • 1
Western Blotting (WB), Immunohistochemistry (Paraffin-embedded Sections) (IHC (p))
  • Bindungsspezifität

    • 10
    • 9
    • 7
    • 5
    • 5
    • 4
    • 3
    • 2
    • 2
    • 2
    • 2
    • 2
    • 2
    • 2
    • 2
    • 2
    • 2
    • 2
    • 1
    • 1
    • 1
    • 1
    • 1
    • 1
    • 1
    • 1
    • 1
    • 1
    AA 210-239, N-Term

    Aufreinigung

    This antibody is prepared by Saturated Ammonium Sulfate (SAS) precipitation followed by dialysis

    Immunogen

    This PKC eta antibody is generated from rabbits immunized with a KLH conjugated synthetic peptide between 210-239 amino acids from the N-terminal region of human PKC eta.

    Isotyp

    Ig Fraction
  • Applikationshinweise

    For WB starting dilution is: 1:1000

    For IHC-P starting dilution is: 1:50~100

    Beschränkungen

    Nur für Forschungszwecke einsetzbar
  • Format

    Liquid

    Buffer

    Supplied in PBS with 0.09 % (W/V) sodium azide.

    Konservierungsmittel

    Sodium azide

    Vorsichtsmaßnahmen

    This product contains Sodium azide: a POISONOUS AND HAZARDOUS SUBSTANCE which should be handled by trained staff only.

    Lagerung

    4 °C,-20 °C

    Informationen zur Lagerung

    Store at 4°C for three months and -20°C, stable for up to one year. As with all antibodies care should be taken to avoid repeated freeze thaw cycles. Antibodies should not be exposed to prolonged high temperatures.
  • Target

    PKC eta (PRKCH) (Protein Kinase C, eta (PRKCH))

    Andere Bezeichnung

    PKC eta

    Hintergrund

    Protein kinase C (PKC) is a family of serine- and threonine-specific protein kinases that can be activated by calcium and the second messenger diacylglycerol. PKC family members phosphorylate a wide variety of protein targets and are known to be involved in diverse cellular signaling pathways. PKC family members also serve as major receptors for phorbol esters, a class of tumor promoters. Each member of the PKC family has a specific expression profile and is believed to play a distinct role in cells. PKC eta is one of the PKC family members. This protein is most abundant in lung, less in heart and skin.

    Molekulargewicht

    78 kDa

    Gen-ID

    5583

    UniProt

    P24723

    Pathways

    Myometrial Relaxation and Contraction, Thromboxane A2 Receptor Signaling
Sie sind hier:
Chat with us!