Telefon:
+49 (0)241 95 163 153
Fax:
+49 (0)241 95 163 155
E-Mail:
orders@antikoerper-online.de

Relaxin 1 Antikörper

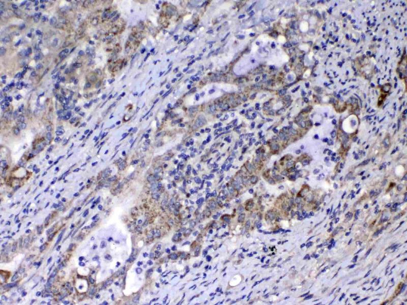
Der Kaninchen Polyklonal anti-Relaxin 1 Antikörper (ABIN5519057) detektiert spezifisch Relaxin 1 in WB und IHC. Dieser Antikörper reagiert spezifisch mit Proben aus Human und Ratte.
Produktnummer ABIN5519057
500,50 €
Zzgl. Versandkosten 20,00 € und MwSt
100 μg
Lieferung nach: Deutschland
Lieferung in 8 bis 12 Werktagen

Kurzübersicht für Relaxin 1 Antikörper (ABIN5519057)

Target

Alle Relaxin 1 (RLN1) Antikörper anzeigen
Relaxin 1 (RLN1)

Reaktivität

  • 38
  • 8
  • 6
  • 1
Human, Ratte

Wirt

  • 34
  • 8
  • 3
  • 1
Kaninchen

Klonalität

  • 36
  • 10
Polyklonal

Konjugat

  • 23
  • 2
  • 2
  • 1
  • 1
  • 1
  • 1
  • 1
  • 1
  • 1
  • 1
  • 1
  • 1
  • 1
  • 1
  • 1
  • 1
  • 1
  • 1
  • 1
  • 1
  • 1
Dieser Relaxin 1 Antikörper ist unkonjugiert

Applikation

  • 20
  • 16
  • 13
  • 13
  • 7
  • 4
  • 3
  • 3
  • 3
  • 2
  • 2
  • 1
  • 1
Western Blotting (WB), Immunohistochemistry (IHC)
  • Verwendungszweck

    Anti-Relaxin 1/RLN1 Antibody

    Sequenz

    VAAKWKDDVI KLCGRELVRA QIAICGMSTW S

    Kreuzreaktivität (Details)

    No cross-reactivity with other proteins.

    Produktmerkmale

    Anti-Relaxin 1/RLN1 Antibody (ABIN5519057). Tested in IHC, WB applications. This antibody reacts with Human, Rat. This is a premium antibody that guarantees superior quality, high affinity, and strong signals with minimal background in Western blot applications.

    Aufreinigung

    Immunogen affinity purified.

    Immunogen

    A synthetic peptide corresponding to a sequence at the N-terminus of human Relaxin 1, which shares 45.2% amino acid (aa) sequence identity with mouse Relaxin 1.

    Isotyp

    IgG
  • Applikationshinweise

    Western blot, 0.1-0.5 μg/mL
    Immunohistochemistry (Paraffin-embedded Section), 0.5-1 μg/mL

    Kommentare

    We recommend Enhanced Chemiluminescent Kit with anti-Rabbit IgG (ABIN921124) for Western blot, and HRP Conjugated anti-Rabbit IgG Super Vision Assay Kit (SV0002-1) for IHC(P).

    Beschränkungen

    Nur für Forschungszwecke einsetzbar
  • Format

    Lyophilized

    Rekonstitution

    Add 0.2 mL of distilled water will yield a concentration of 500 μg/mL.

    Konzentration

    500 μg/mL

    Buffer

    Each vial contains 4 mg Trehalose, 0.9 mg NaCl, 0.2 mg Na2HPO4, 0.05 mg Sodium azide.

    Konservierungsmittel

    Sodium azide

    Vorsichtsmaßnahmen

    This product contains Sodium azide: a POISONOUS AND HAZARDOUS SUBSTANCE which should be handled by trained staff only.

    Lagerung

    4 °C,-20 °C

    Informationen zur Lagerung

    Store at -20°C for one year from date of receipt. After reconstitution, at 4°C for one month.
    It can also be aliquotted and stored frozen at -20°C for six months. Avoid repeated freeze-thaw cycles.
  • Target

    Relaxin 1 (RLN1)

    Andere Bezeichnung

    RLN1

    Hintergrund

    Synonyms: Prorelaxin H1, Relaxin B chain, Relaxin A chain, RLN1,

    Tissue Specificity: Prostate. Not expressed in placenta, decidua or ovary.

    Background: Relaxin 1 is a member of relaxin-like peptide family. Relaxin gene maps to human chromosome 19 near D19Mit23. Relaxin is a peptide hormone produced by the corpora lutea of ovaries during pregnancy in many mammalian species, including man. Relaxin widens the pubic bone and facilitates labor, it also softens the cervix (cervical ripening), and relaxes the uterine musculature. However, its significance may reach much further. Relaxin affects collagen metabolism, inhibiting collagen synthesis and enhancing its breakdown by increasing matrix metalloproteinases. It also enhances angiogenesis and is a potent renal vasodilator.

    Molekulargewicht

    21 kDa

    Gen-ID

    6013

    UniProt

    P04808
Sie sind hier:
Chat with us!