Telefon:
+49 (0)241 95 163 153
Fax:
+49 (0)241 95 163 155
E-Mail:
orders@antikoerper-online.de

PARK7/DJ1 Antikörper (AA 2-189)

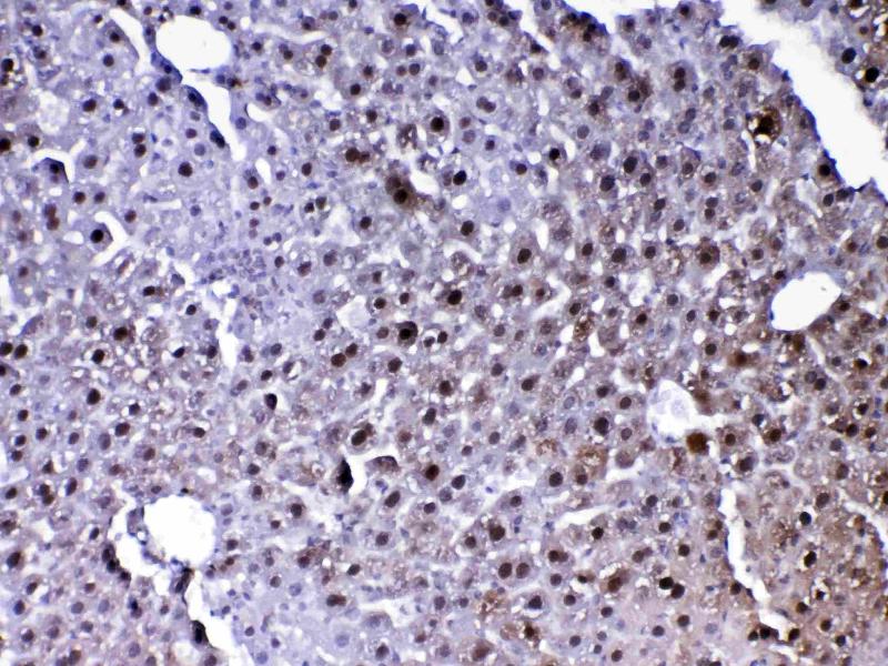
Der Kaninchen Polyklonal anti-PARK7/DJ1 Antikörper wird verwendet zum Nachweis von PARK7/DJ1 in Proben von Maus und Ratte. Er wurde validiert für WB, IHC und ELISA.
Produktnummer ABIN5519050
500,50 €
Zzgl. Versandkosten 20,00 € und MwSt
100 μg
Lieferung nach: Deutschland
Lieferung in 8 bis 12 Werktagen

Kurzübersicht für PARK7/DJ1 Antikörper (AA 2-189) (ABIN5519050)

Target

Alle PARK7/DJ1 (PARK7) Antikörper anzeigen
PARK7/DJ1 (PARK7) (Parkinson Protein 7 (PARK7))

Reaktivität

  • 126
  • 92
  • 73
  • 7
  • 5
  • 4
  • 4
  • 3
  • 2
  • 1
  • 1
  • 1
  • 1
  • 1
Maus, Ratte

Wirt

  • 127
  • 20
  • 2
  • 1
Kaninchen

Klonalität

  • 103
  • 47
Polyklonal

Konjugat

  • 79
  • 16
  • 10
  • 4
  • 4
  • 4
  • 4
  • 4
  • 4
  • 2
  • 2
  • 2
  • 2
  • 1
  • 1
  • 1
  • 1
  • 1
  • 1
  • 1
  • 1
  • 1
  • 1
  • 1
  • 1
  • 1
Dieser PARK7/DJ1 Antikörper ist unkonjugiert

Applikation

  • 124
  • 74
  • 48
  • 43
  • 29
  • 25
  • 17
  • 14
  • 13
  • 13
  • 5
  • 5
  • 4
  • 2
  • 2
  • 1
  • 1
Western Blotting (WB), Immunohistochemistry (IHC), ELISA
  • Bindungsspezifität

    • 26
    • 16
    • 13
    • 7
    • 6
    • 4
    • 3
    • 3
    • 2
    • 2
    • 2
    • 2
    • 1
    • 1
    • 1
    • 1
    • 1
    • 1
    • 1
    • 1
    • 1
    • 1
    • 1
    • 1
    • 1
    • 1
    AA 2-189

    Verwendungszweck

    Anti-PARK7/DJ1 Antibody

    Kreuzreaktivität (Details)

    No cross-reactivity with other proteins.

    Produktmerkmale

    Anti-PARK7/DJ1 Antibody (ABIN5519050). Tested in ELISA, IHC, WB applications. This antibody reacts with Mouse, Rat. This is a premium antibody that guarantees superior quality, high affinity, and strong signals with minimal background in Western blot applications.

    Aufreinigung

    Immunogen affinity purified.

    Immunogen

    E. coli-derived rat PARK7 / DJ1 recombinant protein (Position: A2-D189).

    Isotyp

    IgG
  • Applikationshinweise

    Western blot, 0.1-0.5 μg/mL
    Immunohistochemistry (Paraffin-embedded Section), 0.5-1 μg/mL
    ELISA (Cap), 1-5 μg/mL

    Kommentare

    We recommend Enhanced Chemiluminescent Kit with anti-Rabbit IgG (ABIN921124) for Western blot, and HRP Conjugated anti-Rabbit IgG Super Vision Assay Kit (SV0002-1) for IHC(P).

    Beschränkungen

    Nur für Forschungszwecke einsetzbar
  • Format

    Lyophilized

    Rekonstitution

    Add 0.2 mL of distilled water will yield a concentration of 500 μg/mL.

    Konzentration

    500 μg/mL

    Buffer

    Each vial contains 5 mg BSA, 0.9 mg NaCl, 0.2 mg Na2HPO4, 0.05 mg Sodium azide.

    Konservierungsmittel

    Sodium azide

    Vorsichtsmaßnahmen

    This product contains Sodium azide: a POISONOUS AND HAZARDOUS SUBSTANCE which should be handled by trained staff only.

    Lagerung

    4 °C,-20 °C

    Informationen zur Lagerung

    Store at -20°C for one year from date of receipt. After reconstitution, at 4°C for one month.
    It can also be aliquotted and stored frozen at -20°C for six months. Avoid repeated freeze-thaw cycles.
  • Target

    PARK7/DJ1 (PARK7) (Parkinson Protein 7 (PARK7))

    Andere Bezeichnung

    PARK7

    Hintergrund

    Synonyms: Protein DJ-1, DJ-1, Contraception-associated protein 1

    Tissue Specificity: Ubiquitous. Detected on epididymal sperm. Highly expressed in testis and prostate. Detected at lower levels in heart, lung, brain, liver, kidney, seminal vesicle, caput and corpus epididymis.

    Background: Parkinson disease (autosomal recessive, early onset) 7, also known as DJ1, is a protein which in humans is encoded by the PARK7 gene. PARK7 belongs to the peptidase C56 family of proteins. PARK7 is mapped to chromosome 1p36. It acts as a positive regulator of androgen receptor-dependent transcription. It is also involved in tumorigenesis and in maintaining mitochondrial homeostasis. This gene may also function as a redox-sensitive chaperone, as a sensor foroxidative stress, and it apparently protects neurons against oxidative stress and cell death. It has been found that PARK7 mutations that impair transcriptional coactivator function can render dopaminergic neurons vulnerable to apoptosis and may contribute to the pathogenesis of Parkinson disease.

    Molekulargewicht

    22 kDa

    Gen-ID

    117287

    UniProt

    O88767

    Pathways

    Intracellular Steroid Hormone Receptor Signaling Pathway, Regulation of Intracellular Steroid Hormone Receptor Signaling, Proton Transport
Sie sind hier:
Chat with us!