Telefon:
+49 (0)241 95 163 153
Fax:
+49 (0)241 95 163 155
E-Mail:
orders@antikoerper-online.de

Contactin 4 Antikörper (AA 800-898)

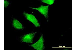
Der Maus Monoklonal anti-Contactin 4 Antikörper wird verwendet zum Nachweis von Contactin 4 in Proben von Human. Er wurde validiert für ELISA und IF.
Produktnummer ABIN531047
651,20 €
Zzgl. Versandkosten 20,00 € und MwSt
100 μg
Lieferung nach: Deutschland
Lieferung in 8 bis 9 Werktagen

Kurzübersicht für Contactin 4 Antikörper (AA 800-898) (ABIN531047)

Target

Alle Contactin 4 (CNTN4) Antikörper anzeigen
Contactin 4 (CNTN4)

Reaktivität

  • 33
  • 9
  • 7
Human

Wirt

  • 31
  • 2
  • 1
  • 1
Maus

Klonalität

  • 22
  • 13
Monoklonal

Konjugat

  • 19
  • 2
  • 2
  • 2
  • 2
  • 2
  • 2
  • 2
  • 1
  • 1
Dieser Contactin 4 Antikörper ist unkonjugiert

Applikation

  • 20
  • 17
  • 11
  • 5
  • 1
  • 1
ELISA, Immunofluorescence (IF)

Klon

4B10
  • Bindungsspezifität

    • 2
    • 2
    • 1
    • 1
    • 1
    • 1
    • 1
    • 1
    • 1
    • 1
    AA 800-898

    Verwendungszweck

    Mouse monoclonal antibody raised against a partial recombinant CNTN4.

    Sequenz

    EPTKPPASIF ARSLSATDIE VFWASPLEKN RGRIQGYEVK YWRHEDKEEN ARKIRTVGNQ TSTKITNLKG SVLYHLAVKA YNSAGTGPSS ATVNVTTRK

    Kreuzreaktivität

    Human

    Produktmerkmale

    Antibody Reactive Against Recombinant Protein.

    Immunogen

    CNTN4 (NP_783200.1, 800 a.a. ~ 898 a.a) partial recombinant protein with GST tag. MW of the GST tag alone is 26 KDa.

    Isotyp

    IgG2a
  • Applikationshinweise

    Optimal working dilution should be determined by the investigator.

    Beschränkungen

    Nur für Forschungszwecke einsetzbar
  • Buffer

    In 1x PBS, pH 7.4

    Handhabung

    Aliquot to avoid repeated freezing and thawing.

    Lagerung

    -20 °C

    Informationen zur Lagerung

    Store at -20°C or lower. Aliquot to avoid repeated freezing and thawing.
  • Target

    Contactin 4 (CNTN4)

    Andere Bezeichnung

    CNTN4

    Hintergrund

    Full Gene Name: contactin 4
    Synonyms: AXCAM,BIG-2,CNTN4A,MGC33615

    Gen-ID

    152330

    NCBI Accession

    NM_175607
Sie sind hier:
Chat with us!