Telefon:
+49 (0)241 95 163 153
Fax:
+49 (0)241 95 163 155
E-Mail:
orders@antikoerper-online.de

MTMR14 Antikörper (AA 1-417)

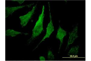
Der Maus Monoklonal anti-MTMR14 Antikörper (Klon 3B11) (ABIN528645) detektiert spezifisch MTMR14 in ELISA und IF. Dieser Antikörper reagiert spezifisch mit Proben aus Human.
Produktnummer ABIN528645
651,20 €
Zzgl. Versandkosten 20,00 € und MwSt
100 μg
Lieferung nach: Deutschland
Lieferung in 8 bis 9 Werktagen

Kurzübersicht für MTMR14 Antikörper (AA 1-417) (ABIN528645)

Target

Alle MTMR14 Antikörper anzeigen
MTMR14 (Myotubularin Related Protein 14 (MTMR14))

Reaktivität

  • 25
  • 20
  • 5
  • 3
  • 2
  • 2
  • 2
  • 2
  • 2
  • 1
  • 1
Human

Wirt

  • 36
  • 6
Maus

Klonalität

  • 38
  • 4
Monoklonal

Konjugat

  • 23
  • 2
  • 2
  • 2
  • 1
  • 1
  • 1
  • 1
  • 1
  • 1
  • 1
  • 1
  • 1
  • 1
  • 1
  • 1
  • 1
Dieser MTMR14 Antikörper ist unkonjugiert

Applikation

  • 40
  • 16
  • 13
  • 13
  • 6
  • 5
  • 5
  • 4
  • 3
  • 2
ELISA, Immunofluorescence (IF)

Klon

3B11
  • Bindungsspezifität

    • 15
    • 8
    • 4
    • 2
    • 2
    • 1
    • 1
    • 1
    • 1
    • 1
    • 1
    AA 1-417

    Verwendungszweck

    Mouse monoclonal antibody raised against a full-length recombinant MTMR14.

    Sequenz

    MARCRGRFVC PVILFKGKHI CRSATLAGWG ELYGRSGYNY FFSGGADDAW ADVEDVTEED CALRSGDTHL FDKVRGYDIK LLRYLSVKYI CDLMVENKKV KFGMNVTSSE KVDKAQRYAD FTLLSIPYPG CEFFKEYKDR DYMAEGLIFN WKQDYVDAPL SIPDFLTHSL NIDWSQYQCW DLVQQTQNYL KLLLSLVNSD DDSGLLVHCI SGWDRTPLFI SLLRLSLWAD GLIHTSLKPT EILYLTVAYD WFLFGHMLVD RLSKGEEIFF FCFNFLKHIT SEEFSALKTQ RRKSLPARDG GFTLEDICML RRKDRGSTTS LGSDFSLVME SSPGATGSFT YEAVELVPAG APTQAAWLAA LSDRETRLQE VRSAFLAAYS STVGLRAVAP SPSGAIGGLL EQFARGVGLR SISSNAL

    Kreuzreaktivität

    Human

    Produktmerkmale

    Antibody Reactive Against Recombinant Protein.

    Immunogen

    MTMR14 (AAH01674, 1 a.a. ~ 417 a.a) full-length recombinant protein with GST tag. MW of the GST tag alone is 26 KDa.

    Isotyp

    IgG1
  • Applikationshinweise

    Optimal working dilution should be determined by the investigator.

    Beschränkungen

    Nur für Forschungszwecke einsetzbar
  • Buffer

    In 1x PBS, pH 7.4

    Handhabung

    Aliquot to avoid repeated freezing and thawing.

    Lagerung

    -20 °C

    Informationen zur Lagerung

    Store at -20°C or lower. Aliquot to avoid repeated freezing and thawing.
  • Target

    MTMR14 (Myotubularin Related Protein 14 (MTMR14))

    Andere Bezeichnung

    MTMR14

    Hintergrund

    Full Gene Name: myotubularin related protein 14
    Synonyms: C3orf29,FLJ22405,FLJ46453,FLJ90311,HJUMPY,hEDTP

    Gen-ID

    64419

    Pathways

    Inositol Metabolic Process
Sie sind hier:
Chat with us!