Telefon:
+49 (0)241 95 163 153
Fax:
+49 (0)241 95 163 155
E-Mail:
orders@antikoerper-online.de

Filamin A Antikörper (AA 1-838)

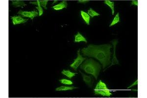
Der Maus Monoklonal anti-Filamin A Antikörper (Klon 3B6-1D10) (ABIN515751) detektiert spezifisch Filamin A in WB, ELISA und IF. Dieser Antikörper reagiert spezifisch mit Proben aus Human.
Produktnummer ABIN515751
651,20 €
Zzgl. Versandkosten 20,00 € und MwSt
100 μg
Lieferung nach: Deutschland
Lieferung in 8 bis 9 Werktagen

Kurzübersicht für Filamin A Antikörper (AA 1-838) (ABIN515751)

Target

Alle Filamin A (FLNA) Antikörper anzeigen
Filamin A (FLNA) (Filamin A, alpha (FLNA))

Reaktivität

  • 116
  • 43
  • 32
  • 3
  • 2
  • 1
Human

Wirt

  • 107
  • 9
  • 1
Maus

Klonalität

  • 85
  • 32
Monoklonal

Konjugat

  • 49
  • 8
  • 5
  • 4
  • 4
  • 4
  • 4
  • 4
  • 4
  • 4
  • 2
  • 2
  • 2
  • 2
  • 2
  • 2
  • 2
  • 2
  • 2
  • 2
  • 2
  • 2
  • 1
  • 1
  • 1
Dieser Filamin A Antikörper ist unkonjugiert

Applikation

  • 65
  • 39
  • 32
  • 28
  • 28
  • 25
  • 23
  • 17
  • 16
  • 10
  • 7
  • 3
  • 2
  • 1
  • 1
Western Blotting (WB), ELISA, Immunofluorescence (IF)

Klon

3B6-1D10
  • Bindungsspezifität

    • 15
    • 15
    • 13
    • 6
    • 5
    • 4
    • 3
    • 2
    • 2
    • 2
    • 2
    • 2
    • 1
    • 1
    • 1
    • 1
    • 1
    • 1
    • 1
    • 1
    • 1
    • 1
    • 1
    AA 1-838

    Verwendungszweck

    Mouse monoclonal antibody raised against a full-length recombinant FLNA.

    Sequenz

    MPSGKVAQPT ITDNKDGTVT VRYAPSEAGL HEMDIRYDNM HIPGSPLQFY VDYVNCGHVT AYGPGLTHGV VNKPATFTVN TKDAGEGGLS LAIEGPSKAE ISCTDNQDGT CSVSYLPVLP GDYSILVKYN EQHVPGSPFT ARVTGDDSMR MSHLKVGSAA DIPINISETD LSLLTATVVP PSGREEPCLL KRLRNGHVGI SFVPKETGEH LVHVKKNGQH VASSPIPVVI SQSEIGDASR VRVSGQGLHE GHTFEPAEFI IDTRDAGYGG LSLSIEGPSK VDINTEDLED GTCRVTYCPT EPGNYIINIK FADQHVPGSP FSVKVTGEGR VKESITRRRR APSVANVGSH CDLSLKIPEI SIQDMTAQVT SPSGKTHEAE IVEGENHTYC IRFVPAEMGT HTVSVKYKGQ HVPGSPFQFT VGPLGEGGAH KVRAGGPGLE RAEAGVPAEF SIWTREAGAG GLAIAVEGPS KAEISFEDRK DGSCGVAYVV QEPGDYEVSV KFNEEHIPDS PFVVPVASPS GDARRLTVSS LQESGLKVNQ PASFAVSLNG AKGAIDAKVH SPSGALEECY VTEIDQDKYA VRFIPRENGV YLIDVKFNGT HIPGSPFKIR VGEPGHGGDP GLVSAYGAGL EGGVTGNPAE FVVNTSNAGA GALSVTIDGP SKVKMDCQEC PEGYRVTYTP MAPGSYLISI KYGGPYHIGG SPFKAKVTGP RLVSNHSLHE TSSVFVDSLT KATCAPQHGA PGPGPADASK VVAKGLGLSK AYVGQKSSFT VDCSKAGNNM LLVGVHGPRT PCEEILVKHV GSRLYSVSYL LKDKGEYTLV VKWGDEHIPG SPYRVVVP

    Kreuzreaktivität

    Human

    Produktmerkmale

    Antibody Reactive Against Recombinant Protein.

    Immunogen

    FLNA (AAH14654, 1 a.a. ~ 838 a.a) full-length recombinant protein with GST tag. MW of the GST tag alone is 26 KDa.

    Isotyp

    IgG1
  • Applikationshinweise

    Optimal working dilution should be determined by the investigator.

    Beschränkungen

    Nur für Forschungszwecke einsetzbar
  • Buffer

    In 1x PBS, pH 7.4

    Handhabung

    Aliquot to avoid repeated freezing and thawing.

    Lagerung

    -20 °C

    Informationen zur Lagerung

    Store at -20°C or lower. Aliquot to avoid repeated freezing and thawing.
  • Target

    Filamin A (FLNA) (Filamin A, alpha (FLNA))

    Andere Bezeichnung

    FLNA

    Hintergrund

    Full Gene Name: filamin A, alpha (actin binding protein 280)
    Synonyms: ABP-280,ABPX,DKFZp434P031,FLN,FLN1,FMD,MNS,NHBP,OPD,OPD1,OPD2

    Gen-ID

    2316

    Pathways

    T-Zell Rezeptor Signalweg, Maintenance of Protein Location
Sie sind hier:
Chat with us!