Telefon:
+49 (0)241 95 163 153
Fax:
+49 (0)241 95 163 155
E-Mail:
orders@antikoerper-online.de

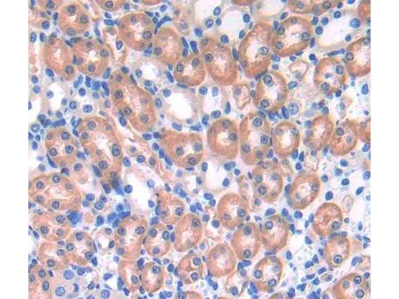
UBAP1 Antikörper (AA 1-224)

Der Kaninchen Polyklonal anti-UBAP1 Antikörper (ABIN5014495) detektiert spezifisch UBAP1 in WB, IHC, IP und ICC. Dieser Antikörper reagiert spezifisch mit Proben aus Maus.
Produktnummer ABIN5014495
252,00 €
Zzgl. Versandkosten 20,00 € und MwSt
100 μL
Lieferung nach: Deutschland
Lieferung in 13 bis 17 Werktagen

Kurzübersicht für UBAP1 Antikörper (AA 1-224) (ABIN5014495)

Target

Alle UBAP1 Antikörper anzeigen
UBAP1 (Ubiquitin Associated Protein 1 (UBAP1))

Reaktivität

  • 34
  • 30
  • 3
Maus

Wirt

  • 48
  • 2
Kaninchen

Klonalität

  • 50
Polyklonal

Konjugat

  • 21
  • 4
  • 3
  • 3
  • 1
  • 1
  • 1
  • 1
  • 1
  • 1
  • 1
  • 1
  • 1
  • 1
  • 1
  • 1
  • 1
  • 1
  • 1
  • 1
  • 1
  • 1
  • 1
Dieser UBAP1 Antikörper ist unkonjugiert

Applikation

  • 37
  • 17
  • 13
  • 13
  • 8
  • 5
  • 5
  • 4
  • 3
  • 3
  • 3
  • 1
Western Blotting (WB), Immunohistochemistry (IHC), Immunoprecipitation (IP), Immunocytochemistry (ICC)
  • Bindungsspezifität

    • 15
    • 8
    • 5
    • 4
    • 2
    • 1
    • 1
    • 1
    • 1
    AA 1-224

    Verwendungszweck

    Polyclonal Antibody to Ubiquitin Associated Protein 1 (UBAP1)

    Spezifität

    The antibody is a rabbit polyclonal antibody raised against UBAP1. It has been selected for its ability to recognize UBAP1 in immunohistochemical staining and western blotting.

    Kreuzreaktivität

    Ratte

    Aufreinigung

    Antigen-specific affinity chromatography followed by Protein A affinity chromatography

    Immunogen

    RPC583Mu01Recombinant Ubiquitin Associated Protein 1 (UBAP1)

    Isotyp

    IgG
  • Applikationshinweise

    Western blotting: 0.01-2 μg/mL,Immunohistochemistry: 5-20 μg/mL,Immunofluorescence:5-20 μg/mL,Optimal working dilutions must be determined by end user.

    Kommentare

    The thermal stability is described by the loss rate. The loss rate was determined by accelerated thermal degradation test, that is, incubate the protein at 37°C for 48h, and no obvious degradation and precipitation were observed. The loss rate is less than 5% within the expiration date under appropriate storage condition.

    Beschränkungen

    Nur für Forschungszwecke einsetzbar
  • Format

    Liquid

    Konzentration

    0.49 mg/mL

    Buffer

    PBS, pH 7.4, containing 0.02 % Sodium azide, 50 % glycerol.

    Konservierungsmittel

    ProClin, Sodium azide

    Lagerung

    4 °C,-20 °C

    Informationen zur Lagerung

    Store at 4°C for frequent use. Stored at -20°C in a manual defrost freezer for two year without detectable loss of activity. Avoid repeated freeze-thaw cycles.
  • Target

    UBAP1 (Ubiquitin Associated Protein 1 (UBAP1))

    Andere Bezeichnung

    UBAP1

    Hintergrund

    NAG20, UAP, UBAP, Nasopharyngeal carcinoma-associated gene 20 protein
Sie sind hier:
Chat with us!