Telefon:
+49 (0)241 95 163 153
Fax:
+49 (0)241 95 163 155
E-Mail:
orders@antikoerper-online.de

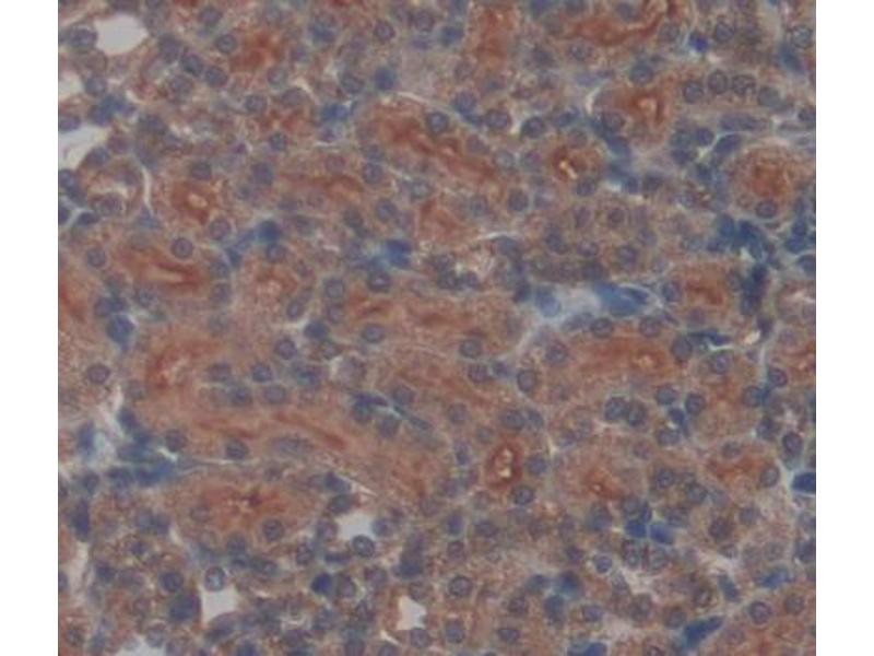
UQCRB Antikörper (AA 4-111)

Der Kaninchen Polyklonal anti-UQCRB Antikörper wird verwendet zum Nachweis von UQCRB in Proben von Ratte. Er wurde validiert für WB, IHC, IP und ICC.
Produktnummer ABIN5014491
266,00 €
Zzgl. Versandkosten 20,00 € und MwSt
100 μL
Lieferung nach: Deutschland
Lieferung in 13 bis 17 Werktagen

Kurzübersicht für UQCRB Antikörper (AA 4-111) (ABIN5014491)

Target

Alle UQCRB Antikörper anzeigen
UQCRB (Ubiquinol-Cytochrome C Reductase Binding Protein (UQCRB))

Reaktivität

  • 30
  • 15
  • 13
Ratte

Wirt

  • 40
Kaninchen

Klonalität

  • 31
  • 9
Polyklonal

Konjugat

  • 21
  • 3
  • 2
  • 2
  • 2
  • 2
  • 1
  • 1
  • 1
  • 1
  • 1
  • 1
  • 1
  • 1
Dieser UQCRB Antikörper ist unkonjugiert

Applikation

  • 39
  • 25
  • 17
  • 14
  • 6
  • 3
  • 2
  • 1
Western Blotting (WB), Immunohistochemistry (IHC), Immunoprecipitation (IP), Immunocytochemistry (ICC)
  • Bindungsspezifität

    • 8
    • 7
    • 2
    • 2
    • 2
    • 2
    • 2
    • 2
    • 1
    • 1
    • 1
    AA 4-111

    Verwendungszweck

    Polyclonal Antibody to Ubiquinol Cytochrome C Reductase Binding Protein (UQCRB)

    Spezifität

    The antibody is a rabbit polyclonal antibody raised against UQCRB. It has been selected for its ability to recognize UQCRB in immunohistochemical staining and western blotting.

    Kreuzreaktivität

    Human, Maus

    Aufreinigung

    Antigen-specific affinity chromatography followed by Protein A affinity chromatography

    Immunogen

    UQCRB (Arg4-Lys111)

    Isotyp

    IgG
  • Applikationshinweise

    Western blotting: 0.2-2 μg/mL,1:250-2500 Immunohistochemistry: 5-20 μg/mL,1:25-100 Immunocytochemistry: 5-20 μg/mL,1:25-100 Optimal working dilutions must be determined by end user.

    Kommentare

    The thermal stability is described by the loss rate. The loss rate was determined by accelerated thermal degradation test, that is, incubate the protein at 37°C for 48h, and no obvious degradation and precipitation were observed. The loss rate is less than 5% within the expiration date under appropriate storage condition.

    Beschränkungen

    Nur für Forschungszwecke einsetzbar
  • Format

    Liquid

    Konzentration

    500 μg/mL

    Buffer

    PBS, pH 7.4, containing 0.02 % Sodium azide, 50 % glycerol.

    Konservierungsmittel

    Sodium azide

    Lagerung

    4 °C,-20 °C

    Informationen zur Lagerung

    Store at 4°C for frequent use. Stored at -20°C in a manual defrost freezer for two year without detectable loss of activity. Avoid repeated freeze-thaw cycles.
  • Target

    UQCRB (Ubiquinol-Cytochrome C Reductase Binding Protein (UQCRB))

    Andere Bezeichnung

    UQCRB

    Hintergrund

    QP-C, QPC, UQBC, UQBP, UQPC, Ubiquinol-Cytochrome C Reductase,Complex III Subunit VI, Ubiquinol-cytochrome c reductase complex 14 kDa protein
Sie sind hier:
Chat with us!