Telefon:
+49 (0)241 95 163 153
Fax:
+49 (0)241 95 163 155
E-Mail:
orders@antikoerper-online.de

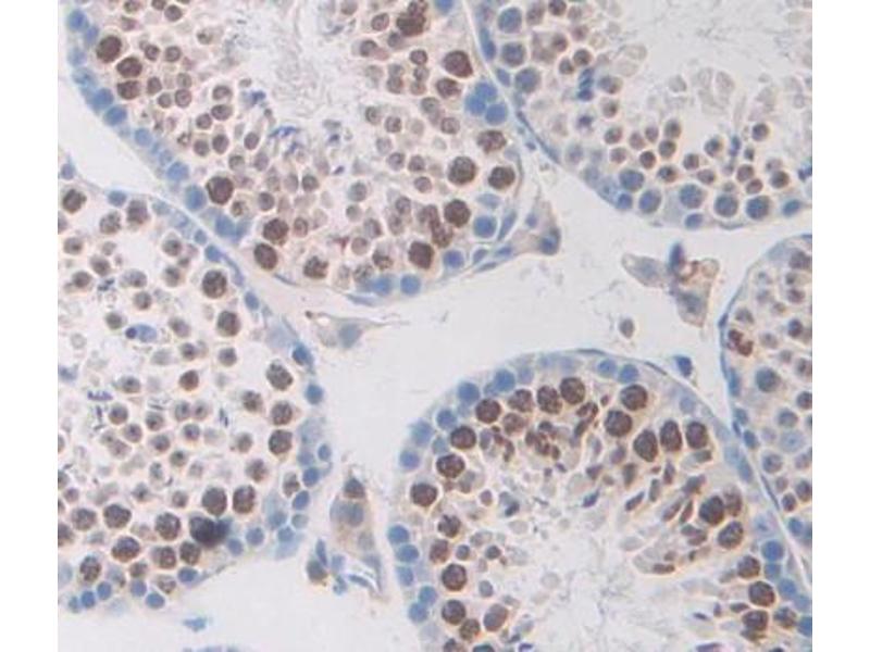
TRERF1 Antikörper (AA 785-942)

Der Kaninchen Polyklonal anti-TRERF1 Antikörper (ABIN5014435) detektiert spezifisch TRERF1 in WB, IHC, IP und ICC. Dieser Antikörper reagiert spezifisch mit Proben aus Maus.
Produktnummer ABIN5014435
252,00 €
Zzgl. Versandkosten 20,00 € und MwSt
100 μL
Lieferung nach: Deutschland
Lieferung in 13 bis 17 Werktagen

Kurzübersicht für TRERF1 Antikörper (AA 785-942) (ABIN5014435)

Target

Alle TRERF1 Antikörper anzeigen
TRERF1 (Transcriptional Regulating Factor 1 (TRERF1))

Reaktivität

  • 46
  • 8
  • 5
  • 4
  • 4
  • 3
  • 3
  • 2
  • 1
  • 1
  • 1
  • 1
  • 1
Maus

Wirt

  • 47
Kaninchen

Klonalität

  • 47
Polyklonal

Konjugat

  • 21
  • 2
  • 2
  • 2
  • 2
  • 1
  • 1
  • 1
  • 1
  • 1
  • 1
  • 1
  • 1
  • 1
  • 1
  • 1
  • 1
  • 1
  • 1
  • 1
  • 1
  • 1
  • 1
Dieser TRERF1 Antikörper ist unkonjugiert

Applikation

  • 21
  • 16
  • 13
  • 13
  • 11
  • 8
  • 5
  • 5
  • 3
  • 3
  • 3
  • 1
Western Blotting (WB), Immunohistochemistry (IHC), Immunoprecipitation (IP), Immunocytochemistry (ICC)
  • Bindungsspezifität

    • 15
    • 8
    • 8
    • 3
    • 2
    • 1
    • 1
    • 1
    • 1
    • 1
    • 1
    AA 785-942

    Verwendungszweck

    Polyclonal Antibody to Transcriptional Regulating Factor 1 (TRERF1)

    Spezifität

    The antibody is a rabbit polyclonal antibody raised against TRERF1. It has been selected for its ability to recognize TRERF1 in immunohistochemical staining and western blotting.

    Kreuzreaktivität

    Human

    Aufreinigung

    Antigen-specific affinity chromatography followed by Protein A affinity chromatography

    Immunogen

    TRERF1 (Pro785-Arg942)

    Isotyp

    IgG
  • Applikationshinweise

    Western blotting: 0.2-2 μg/mL,1:250-2500 Immunohistochemistry: 5-20 μg/mL,1:25-100 Immunocytochemistry: 5-20 μg/mL,1:25-100 Optimal working dilutions must be determined by end user.

    Kommentare

    The thermal stability is described by the loss rate. The loss rate was determined by accelerated thermal degradation test, that is, incubate the protein at 37°C for 48h, and no obvious degradation and precipitation were observed. The loss rate is less than 5% within the expiration date under appropriate storage condition.

    Beschränkungen

    Nur für Forschungszwecke einsetzbar
  • Format

    Liquid

    Konzentration

    500 μg/mL

    Buffer

    PBS, pH 7.4, containing 0.01 % SKL, 1 mM DTT, 5 % Trehalose and Proclin300.

    Konservierungsmittel

    Dithiothreitol (DTT), ProClin

    Lagerung

    4 °C,-20 °C

    Informationen zur Lagerung

    Store at 4°C for frequent use. Stored at -20°C in a manual defrost freezer for two year without detectable loss of activity. Avoid repeated freeze-thaw cycles.
  • Target

    TRERF1 (Transcriptional Regulating Factor 1 (TRERF1))

    Andere Bezeichnung

    TRERF1

    Hintergrund

    BCAR2, TREP132, RAPA, Breast Cancer Anti-Estrogen Resistance 2, Transcriptional-regulating protein 132, Zinc finger protein rapa, Zinc finger transcription factor TReP-132

    Pathways

    Regulation of Hormone Metabolic Process, Regulation of Hormone Biosynthetic Process, Chromatin Binding
Sie sind hier:
Chat with us!