Telefon:
+49 (0)241 95 163 153
Fax:
+49 (0)241 95 163 155
E-Mail:
orders@antikoerper-online.de

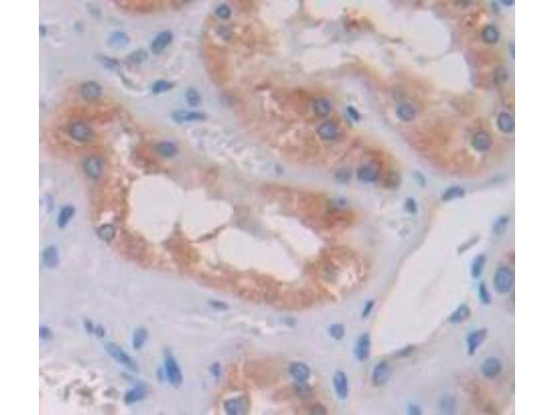
TRIP6 Antikörper (AA 279-476)

Dieser Kaninchen Polyklonal Antikörper detektiert spezifisch TRIP6 in WB, IHC, IP und ICC. Es zeigt Reaktivität gegenüber Proben von Human.
Produktnummer ABIN5014403
245,00 €
Zzgl. Versandkosten 20,00 € und MwSt
100 μL
Lieferung nach: Deutschland
Lieferung in 13 bis 17 Werktagen

Kurzübersicht für TRIP6 Antikörper (AA 279-476) (ABIN5014403)

Target

Alle TRIP6 Antikörper anzeigen
TRIP6 (Thyroid Hormone Receptor Interactor 6 (TRIP6))

Reaktivität

  • 39
  • 13
  • 5
  • 4
  • 3
  • 3
  • 2
  • 2
Human

Wirt

  • 31
  • 9
  • 1
Kaninchen

Klonalität

  • 35
  • 6
Polyklonal

Konjugat

  • 35
  • 2
  • 1
  • 1
  • 1
  • 1
Dieser TRIP6 Antikörper ist unkonjugiert

Applikation

  • 40
  • 23
  • 14
  • 8
  • 6
  • 4
  • 4
  • 2
  • 1
  • 1
Western Blotting (WB), Immunohistochemistry (IHC), Immunoprecipitation (IP), Immunocytochemistry (ICC)
  • Bindungsspezifität

    • 7
    • 5
    • 3
    • 2
    • 2
    • 2
    • 2
    • 2
    • 1
    • 1
    • 1
    • 1
    • 1
    • 1
    • 1
    • 1
    • 1
    • 1
    AA 279-476

    Verwendungszweck

    Polyclonal Antibody to Thyroid Hormone Receptor Interactor 6 (TRIP6)

    Spezifität

    The antibody is a rabbit polyclonal antibody raised against TRIP6. It has been selected for its ability to recognize TRIP6 in immunohistochemical staining and western blotting.

    Kreuzreaktivität

    Maus, Ratte

    Aufreinigung

    Antigen-specific affinity chromatography followed by Protein A affinity chromatography

    Immunogen

    TRIP6 (Cys279-Cys476)

    Isotyp

    IgG
  • Applikationshinweise

    Western blotting: 0.2-2 μg/mL,1:250-2500 Immunohistochemistry: 5-20 μg/mL,1:25-100 Immunocytochemistry: 5-20 μg/mL,1:25-100 Optimal working dilutions must be determined by end user.

    Kommentare

    The thermal stability is described by the loss rate. The loss rate was determined by accelerated thermal degradation test, that is, incubate the protein at 37°C for 48h, and no obvious degradation and precipitation were observed. The loss rate is less than 5% within the expiration date under appropriate storage condition.

    Beschränkungen

    Nur für Forschungszwecke einsetzbar
  • Format

    Liquid

    Konzentration

    500 μg/mL

    Buffer

    PBS, pH 7.4, containing 0.02 % Sodium azide, 50 % glycerol.

    Konservierungsmittel

    Sodium azide

    Lagerung

    4 °C,-20 °C

    Informationen zur Lagerung

    Store at 4°C for frequent use. Stored at -20°C in a manual defrost freezer for two year without detectable loss of activity. Avoid repeated freeze-thaw cycles.
  • Target

    TRIP6 (Thyroid Hormone Receptor Interactor 6 (TRIP6))

    Andere Bezeichnung

    TRIP6

    Hintergrund

    OIP1, ZRP-1, Opa-interacting protein 1, Zyxin-related protein 1

    Pathways

    Cell-Cell Junction Organization
Sie sind hier:
Chat with us!