Telefon:
+49 (0)241 95 163 153
Fax:
+49 (0)241 95 163 155
E-Mail:
orders@antikoerper-online.de

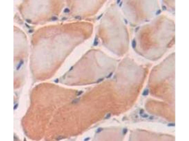
SRPK3 Antikörper (AA 220-506)

Der Kaninchen Polyklonal anti-SRPK3 Antikörper (ABIN5014351) detektiert spezifisch SRPK3 in WB, IHC, IP und ICC. Dieser Antikörper reagiert spezifisch mit Proben aus Maus.
Produktnummer ABIN5014351
277,00 €
Zzgl. Versandkosten 20,00 € und MwSt
100 μL
Lieferung nach: Deutschland
Lieferung in 13 bis 17 Werktagen

Kurzübersicht für SRPK3 Antikörper (AA 220-506) (ABIN5014351)

Target

Alle SRPK3 Antikörper anzeigen
SRPK3 (serine/arginine-Rich Protein Specific Kinase 3 (SRPK3))

Reaktivität

  • 30
  • 7
  • 6
  • 1
Maus

Wirt

  • 27
  • 4
Kaninchen

Klonalität

  • 30
  • 1
Polyklonal

Konjugat

  • 16
  • 3
  • 2
  • 2
  • 1
  • 1
  • 1
  • 1
  • 1
  • 1
  • 1
  • 1
Dieser SRPK3 Antikörper ist unkonjugiert

Applikation

  • 20
  • 16
  • 10
  • 4
  • 3
  • 2
  • 1
Western Blotting (WB), Immunohistochemistry (IHC), Immunoprecipitation (IP), Immunocytochemistry (ICC)
  • Bindungsspezifität

    • 6
    • 5
    • 2
    • 2
    • 1
    • 1
    • 1
    • 1
    • 1
    • 1
    • 1
    AA 220-506

    Verwendungszweck

    Polyclonal Antibody to SRSF Protein Kinase 3 (SRPK3)

    Spezifität

    The antibody is a rabbit polyclonal antibody raised against SRPK3. It has been selected for its ability to recognize SRPK3 in immunohistochemical staining and western blotting.

    Aufreinigung

    Antigen-specific affinity chromatography followed by Protein A affinity chromatography

    Immunogen

    RPQ342Mu01Recombinant SRSF Protein Kinase 3 (SRPK3)

    Isotyp

    IgG
  • Applikationshinweise

    Western blotting: 0.01-2 μg/mL,Immunohistochemistry: 5-20 μg/mL,Immunofluorescence:5-20 μg/mL,Optimal working dilutions must be determined by end user.

    Kommentare

    The thermal stability is described by the loss rate. The loss rate was determined by accelerated thermal degradation test, that is, incubate the protein at 37°C for 48h, and no obvious degradation and precipitation were observed. The loss rate is less than 5% within the expiration date under appropriate storage condition.

    Beschränkungen

    Nur für Forschungszwecke einsetzbar
  • Format

    Liquid

    Konzentration

    0.5 mg/mL

    Buffer

    PBS, pH 7.4, containing 0.02 % Sodium azide, 50 % glycerol.

    Konservierungsmittel

    Sodium azide

    Lagerung

    4 °C,-20 °C

    Informationen zur Lagerung

    Store at 4°C for frequent use. Stored at -20°C in a manual defrost freezer for two year without detectable loss of activity. Avoid repeated freeze-thaw cycles.
  • Target

    SRPK3 (serine/arginine-Rich Protein Specific Kinase 3 (SRPK3))

    Andere Bezeichnung

    SRPK3

    Hintergrund

    STK23, MSSK1, Serine/Threonine Kinase 23, SFRS Protein Kinase 3, Serine/arginine-rich protein-specific kinase 3, Muscle-specific serine kinase 1
Sie sind hier:
Chat with us!