Telefon:
+49 (0)241 95 163 153
Fax:
+49 (0)241 95 163 155
E-Mail:
orders@antikoerper-online.de

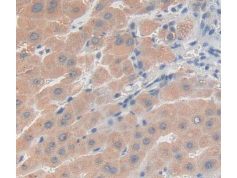
PRKD3 Antikörper (AA 576-832)

Der Kaninchen Polyklonal anti-PRKD3 Antikörper wird verwendet zum Nachweis von PRKD3 in Proben von Human. Er wurde validiert für WB, IHC, ICC und IP.
Produktnummer ABIN5014179
245,00 €
Zzgl. Versandkosten 20,00 € und MwSt
100 μL
Lieferung nach: Deutschland
Lieferung in 13 bis 17 Werktagen

Kurzübersicht für PRKD3 Antikörper (AA 576-832) (ABIN5014179)

Target

Alle PRKD3 Antikörper anzeigen
PRKD3 (Protein Kinase D3 (PRKD3))

Reaktivität

  • 49
  • 33
  • 19
  • 15
  • 1
  • 1
Human

Wirt

  • 81
  • 3
Kaninchen

Klonalität

  • 80
  • 4
Polyklonal

Konjugat

  • 30
  • 7
  • 7
  • 6
  • 3
  • 3
  • 2
  • 2
  • 2
  • 2
  • 2
  • 2
  • 2
  • 2
  • 2
  • 2
  • 2
  • 1
  • 1
  • 1
  • 1
  • 1
  • 1
Dieser PRKD3 Antikörper ist unkonjugiert

Applikation

  • 73
  • 36
  • 34
  • 26
  • 26
  • 20
  • 15
  • 12
  • 6
  • 2
Western Blotting (WB), Immunohistochemistry (IHC), Immunocytochemistry (ICC), Immunoprecipitation (IP)
  • Bindungsspezifität

    • 15
    • 15
    • 10
    • 10
    • 8
    • 6
    • 3
    • 3
    • 2
    • 2
    • 1
    • 1
    • 1
    • 1
    AA 576-832

    Verwendungszweck

    Polyclonal Antibody to Protein Kinase D3 (PKD3)

    Spezifität

    The antibody is a rabbit polyclonal antibody raised against PKD3. It has been selected for its ability to recognize PKD3 in immunohistochemical staining and western blotting.

    Kreuzreaktivität

    Maus, Ratte

    Aufreinigung

    Antigen-specific affinity chromatography followed by Protein A affinity chromatography

    Immunogen

    PKD3 (Ile576-Leu832)

    Isotyp

    IgG
  • Applikationshinweise

    Western blotting: 0.2-2 μg/mL,1:250-2500 Immunohistochemistry: 5-20 μg/mL,1:25-100 Immunocytochemistry: 5-20 μg/mL,1:25-100 Optimal working dilutions must be determined by end user.

    Kommentare

    The thermal stability is described by the loss rate. The loss rate was determined by accelerated thermal degradation test, that is, incubate the protein at 37°C for 48h, and no obvious degradation and precipitation were observed. The loss rate is less than 5% within the expiration date under appropriate storage condition.

    Beschränkungen

    Nur für Forschungszwecke einsetzbar
  • Format

    Liquid

    Konzentration

    500 μg/mL

    Buffer

    PBS, pH 7.4, containing 0.02 % Sodium azide, 50 % glycerol.

    Konservierungsmittel

    Sodium azide

    Lagerung

    4 °C,-20 °C

    Informationen zur Lagerung

    Store at 4°C for frequent use. Stored at -20°C in a manual defrost freezer for two year without detectable loss of activity. Avoid repeated freeze-thaw cycles.
  • Target

    PRKD3 (Protein Kinase D3 (PRKD3))

    Andere Bezeichnung

    PKD3

    Hintergrund

    PRKD3, EPK2, PKC-NU, PRKCN, nPKC-NU, Protein Kinase C,Nu
Sie sind hier:
Chat with us!