Telefon:
+49 (0)241 95 163 153
Fax:
+49 (0)241 95 163 155
E-Mail:
orders@antikoerper-online.de

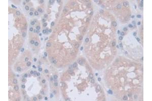
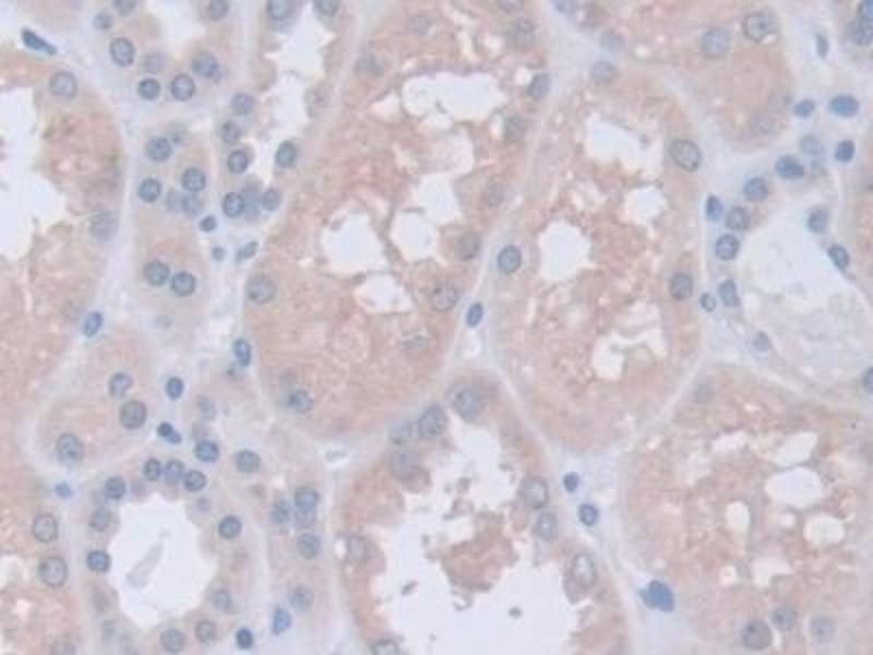
Inversin Antikörper (AA 1-237)

Dieser Kaninchen Polyklonal Antikörper detektiert spezifisch Inversin in WB und IHC. Es zeigt Reaktivität gegenüber Proben von Human.
Produktnummer ABIN5013998
245,00 €
Zzgl. Versandkosten 20,00 € und MwSt
100 μL
Lieferung nach: Deutschland
Lieferung in 13 bis 17 Werktagen

Kurzübersicht für Inversin Antikörper (AA 1-237) (ABIN5013998)

Target

Alle Inversin (INVS) Antikörper anzeigen
Inversin (INVS)

Reaktivität

  • 27
  • 19
  • 3
Human

Wirt

  • 28
  • 1
Kaninchen

Klonalität

  • 29
Polyklonal

Konjugat

  • 11
  • 3
  • 2
  • 2
  • 1
  • 1
  • 1
  • 1
  • 1
  • 1
  • 1
  • 1
  • 1
  • 1
  • 1
Dieser Inversin Antikörper ist unkonjugiert

Applikation

  • 24
  • 13
  • 13
  • 11
  • 6
  • 4
  • 3
  • 3
  • 3
  • 2
Western Blotting (WB), Immunohistochemistry (IHC)
  • Bindungsspezifität

    • 15
    • 5
    • 2
    • 1
    • 1
    • 1
    • 1
    AA 1-237

    Verwendungszweck

    Polyclonal Antibody to Nephronophthisis 2, Infantile (NPHP2)

    Spezifität

    The antibody is a rabbit polyclonal antibody raised against NPHP2. It has been selected for its ability to recognize NPHP2 in immunohistochemical staining and western blotting.

    Kreuzreaktivität

    Ratte

    Aufreinigung

    Antigen-specific affinity chromatography followed by Protein A affinity chromatography

    Immunogen

    RPC545Hu01Recombinant Nephronophthisis 2, Infantile (NPHP2)

    Isotyp

    IgG
  • Applikationshinweise

    Western blotting: 0.01-2 μg/mL,Immunohistochemistry: 5-20 μg/mL,Optimal working dilutions must be determined by end user.

    Kommentare

    The thermal stability is described by the loss rate. The loss rate was determined by accelerated thermal degradation test, that is, incubate the protein at 37°C for 48h, and no obvious degradation and precipitation were observed. The loss rate is less than 5% within the expiration date under appropriate storage condition.

    Beschränkungen

    Nur für Forschungszwecke einsetzbar
  • Format

    Liquid

    Konzentration

    0.5 mg/mL

    Buffer

    0.01M PBS, pH 7.4, containing 0.05 % Proclin-300, 50 % glycerol.

    Konservierungsmittel

    ProClin

    Lagerung

    4 °C,-20 °C

    Informationen zur Lagerung

    Store at 4°C for frequent use. Stored at -20°C in a manual defrost freezer for two year without detectable loss of activity. Avoid repeated freeze-thaw cycles.
  • Target

    Inversin (INVS)

    Andere Bezeichnung

    NPHP2

    Hintergrund

    INVS, NPH2, INV, Inversin, Nephrocystin 2, Inversion of embryo turning homolog
Sie sind hier:
Chat with us!