Telefon:
+49 (0)241 95 163 153
Fax:
+49 (0)241 95 163 155
E-Mail:
orders@antikoerper-online.de

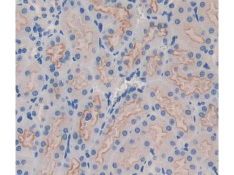
IRS4 Antikörper (AA 1-299)

Der Kaninchen Polyklonal anti-IRS4 Antikörper (ABIN5013745) detektiert spezifisch IRS4 in WB, IHC, IP und ICC. Dieser Antikörper reagiert spezifisch mit Proben aus Maus.
Produktnummer ABIN5013745
252,00 €
Zzgl. Versandkosten 20,00 € und MwSt
100 μL
Lieferung nach: Deutschland
Lieferung in 13 bis 17 Werktagen

Kurzübersicht für IRS4 Antikörper (AA 1-299) (ABIN5013745)

Target

Alle IRS4 Antikörper anzeigen
IRS4 (Insulin Receptor Substrate 4 (IRS4))

Reaktivität

  • 33
  • 29
  • 16
Maus

Wirt

  • 43
  • 2
  • 1
Kaninchen

Klonalität

  • 44
  • 2
Polyklonal

Konjugat

  • 12
  • 2
  • 2
  • 2
  • 2
  • 2
  • 2
  • 2
  • 2
  • 2
  • 2
  • 2
  • 2
  • 2
  • 2
  • 1
  • 1
  • 1
  • 1
  • 1
  • 1
Dieser IRS4 Antikörper ist unkonjugiert

Applikation

  • 26
  • 26
  • 24
  • 11
  • 6
  • 6
  • 5
  • 5
  • 4
  • 1
  • 1
Western Blotting (WB), Immunohistochemistry (IHC), Immunoprecipitation (IP), Immunocytochemistry (ICC)
  • Bindungsspezifität

    • 15
    • 15
    • 1
    • 1
    • 1
    • 1
    • 1
    • 1
    • 1
    • 1
    AA 1-299

    Verwendungszweck

    Polyclonal Antibody to Insulin Receptor Substrate 4 (IRS4)

    Spezifität

    The antibody is a rabbit polyclonal antibody raised against IRS4. It has been selected for its ability to recognize IRS4 in immunohistochemical staining and western blotting.

    Kreuzreaktivität

    Ratte

    Aufreinigung

    Antigen-specific affinity chromatography followed by Protein A affinity chromatography

    Immunogen

    RPD881Mu01Recombinant Insulin Receptor Substrate 4 (IRS4)

    Isotyp

    IgG
  • Applikationshinweise

    Western blotting: 0.01-2 μg/mL,Immunohistochemistry: 5-20 μg/mL,Immunocytochemistry: 5-20 μg/mL,Optimal working dilutions must be determined by end user.

    Kommentare

    The thermal stability is described by the loss rate. The loss rate was determined by accelerated thermal degradation test, that is, incubate the protein at 37°C for 48h, and no obvious degradation and precipitation were observed. The loss rate is less than 5% within the expiration date under appropriate storage condition.

    Beschränkungen

    Nur für Forschungszwecke einsetzbar
  • Format

    Liquid

    Konzentration

    0.3 mg/mL

    Buffer

    PBS, pH 7.4, containing 0.02 % Sodium azide, 50 % glycerol.

    Konservierungsmittel

    Sodium azide

    Lagerung

    4 °C,-20 °C

    Informationen zur Lagerung

    Store at 4°C for frequent use. Stored at -20°C in a manual defrost freezer for two year without detectable loss of activity. Avoid repeated freeze-thaw cycles.
  • Target

    IRS4 (Insulin Receptor Substrate 4 (IRS4))

    Andere Bezeichnung

    IRS4

    Hintergrund

    PY160, pp160, 160 kDa phosphotyrosine protein, Phosphoprotein of 160 kDa
Sie sind hier:
Chat with us!