Telefon:
+49 (0)241 95 163 153
Fax:
+49 (0)241 95 163 155
E-Mail:
orders@antikoerper-online.de

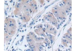
DPP7 Antikörper (AA 28-486)

Der Kaninchen Polyklonal anti-DPP7 Antikörper wird verwendet zum Nachweis von DPP7 in Proben von Human. Er wurde validiert für WB, IHC, IP und ICC.
Produktnummer ABIN5013459
245,00 €
Zzgl. Versandkosten 20,00 € und MwSt
100 μL
Lieferung nach: Deutschland
Lieferung in 13 bis 17 Werktagen

Kurzübersicht für DPP7 Antikörper (AA 28-486) (ABIN5013459)

Target

Alle DPP7 Antikörper anzeigen
DPP7 (Dipeptidyl-Peptidase 7 (DPP7))

Reaktivität

  • 26
  • 2
  • 1
  • 1
  • 1
  • 1
  • 1
  • 1
Human

Wirt

  • 22
  • 3
  • 1
Kaninchen

Klonalität

  • 24
  • 2
Polyklonal

Konjugat

  • 19
  • 1
  • 1
  • 1
  • 1
  • 1
  • 1
  • 1
Dieser DPP7 Antikörper ist unkonjugiert

Applikation

  • 15
  • 8
  • 6
  • 5
  • 2
  • 1
  • 1
  • 1
  • 1
  • 1
  • 1
Western Blotting (WB), Immunohistochemistry (IHC), Immunoprecipitation (IP), Immunocytochemistry (ICC)
  • Bindungsspezifität

    • 4
    • 3
    • 2
    • 2
    • 1
    • 1
    • 1
    AA 28-486

    Verwendungszweck

    Polyclonal Antibody to Dipeptidyl Peptidase 7 (DPP7)

    Spezifität

    The antibody is a rabbit polyclonal antibody raised against DPP7. It has been selected for its ability to recognize DPP7 in immunohistochemical staining and western blotting.

    Aufreinigung

    Antigen-specific affinity chromatography followed by Protein A affinity chromatography

    Immunogen

    DPP7 (Asp28-Gly486)

    Isotyp

    IgG
  • Applikationshinweise

    Western blotting: 0.2-2 μg/mL,1:250-2500 Immunohistochemistry: 5-20 μg/mL,1:25-100 Immunocytochemistry: 5-20 μg/mL,1:25-100 Optimal working dilutions must be determined by end user.

    Kommentare

    The thermal stability is described by the loss rate. The loss rate was determined by accelerated thermal degradation test, that is, incubate the protein at 37°C for 48h, and no obvious degradation and precipitation were observed. The loss rate is less than 5% within the expiration date under appropriate storage condition.

    Beschränkungen

    Nur für Forschungszwecke einsetzbar
  • Format

    Liquid

    Konzentration

    500 μg/mL

    Buffer

    PBS, pH 7.4, containing 0.01 % SKL, 1 mM DTT, 5 % Trehalose and Proclin300.

    Konservierungsmittel

    Dithiothreitol (DTT), ProClin

    Lagerung

    4 °C,-20 °C

    Informationen zur Lagerung

    Store at 4°C for frequent use. Stored at -20°C in a manual defrost freezer for two year without detectable loss of activity. Avoid repeated freeze-thaw cycles.
  • Target

    DPP7 (Dipeptidyl-Peptidase 7 (DPP7))

    Andere Bezeichnung

    DPP7

    Hintergrund

    DPP2, DPPII, QPP, Dipeptidylpeptidase 7
Sie sind hier:
Chat with us!