Telefon:
+49 (0)241 95 163 153
Fax:
+49 (0)241 95 163 155
E-Mail:
orders@antikoerper-online.de

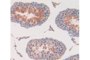
CBR1 Antikörper (AA 2-271)

Der Kaninchen Polyklonal anti-CBR1 Antikörper (ABIN5013289) detektiert spezifisch CBR1 in WB, IHC, ICC und IP. Dieser Antikörper reagiert spezifisch mit Proben aus Ratte.
Produktnummer ABIN5013289
266,00 €
Zzgl. Versandkosten 20,00 € und MwSt
100 μL
Lieferung nach: Deutschland
Lieferung in 13 bis 17 Werktagen

Kurzübersicht für CBR1 Antikörper (AA 2-271) (ABIN5013289)

Target

Alle CBR1 Antikörper anzeigen
CBR1 (Carbonyl Reductase 1 (CBR1))

Reaktivität

  • 75
  • 47
  • 25
  • 3
  • 3
  • 3
  • 2
  • 2
  • 2
  • 2
  • 1
  • 1
Ratte

Wirt

  • 74
  • 17
  • 1
Kaninchen

Klonalität

  • 54
  • 37
Polyklonal

Konjugat

  • 49
  • 5
  • 3
  • 3
  • 3
  • 3
  • 3
  • 3
  • 3
  • 2
  • 2
  • 2
  • 1
  • 1
  • 1
  • 1
  • 1
  • 1
  • 1
  • 1
  • 1
  • 1
  • 1
Dieser CBR1 Antikörper ist unkonjugiert

Applikation

  • 79
  • 26
  • 24
  • 22
  • 21
  • 16
  • 13
  • 13
  • 8
  • 6
  • 3
  • 2
  • 2
  • 1
Western Blotting (WB), Immunohistochemistry (IHC), Immunocytochemistry (ICC), Immunoprecipitation (IP)
  • Bindungsspezifität

    • 15
    • 10
    • 6
    • 5
    • 1
    • 1
    • 1
    • 1
    • 1
    • 1
    • 1
    • 1
    • 1
    • 1
    AA 2-271

    Verwendungszweck

    Polyclonal Antibody to Carbonyl Reductase 1 (CBR1)

    Spezifität

    The antibody is a rabbit polyclonal antibody raised against CBR1. It has been selected for its ability to recognize CBR1 in immunohistochemical staining and western blotting.

    Kreuzreaktivität

    Human, Maus

    Aufreinigung

    Antigen-specific affinity chromatography followed by Protein A affinity chromatography

    Immunogen

    RPC362Ra01Recombinant Carbonyl Reductase 1 (CBR1)

    Isotyp

    IgG
  • Applikationshinweise

    Western blotting: 0.5-2 μg/mL,Immunohistochemistry: 5-20 μg/mL,Immunocytochemistry: 5-20 μg/mL,Optimal working dilutions must be determined by end user.

    Kommentare

    The thermal stability is described by the loss rate. The loss rate was determined by accelerated thermal degradation test, that is, incubate the protein at 37°C for 48h, and no obvious degradation and precipitation were observed. The loss rate is less than 5% within the expiration date under appropriate storage condition.

    Beschränkungen

    Nur für Forschungszwecke einsetzbar
  • Format

    Liquid

    Konzentration

    500 μg/mL

    Buffer

    0.01M PBS, pH 7.4, containing 0.05 % Proclin-300, 50 % glycerol.

    Konservierungsmittel

    ProClin

    Lagerung

    4 °C,-20 °C

    Informationen zur Lagerung

    Store at 4°C for frequent use. Stored at -20°C in a manual defrost freezer for two year without detectable loss of activity. Avoid repeated freeze-thaw cycles.
  • Target

    CBR1 (Carbonyl Reductase 1 (CBR1))

    Andere Bezeichnung

    CBR1

    Hintergrund

    CBR, SDR21C1, CRN, Short Chain Dehydrogenase/Reductase Family 21C,Member 1, 15-hydroxyprostaglandin dehydrogenase [NADP(+)], Prostaglandin 9-ketoreductase
Sie sind hier:
Chat with us!