Telefon:
+49 (0)241 95 163 153
Fax:
+49 (0)241 95 163 155
E-Mail:
orders@antikoerper-online.de

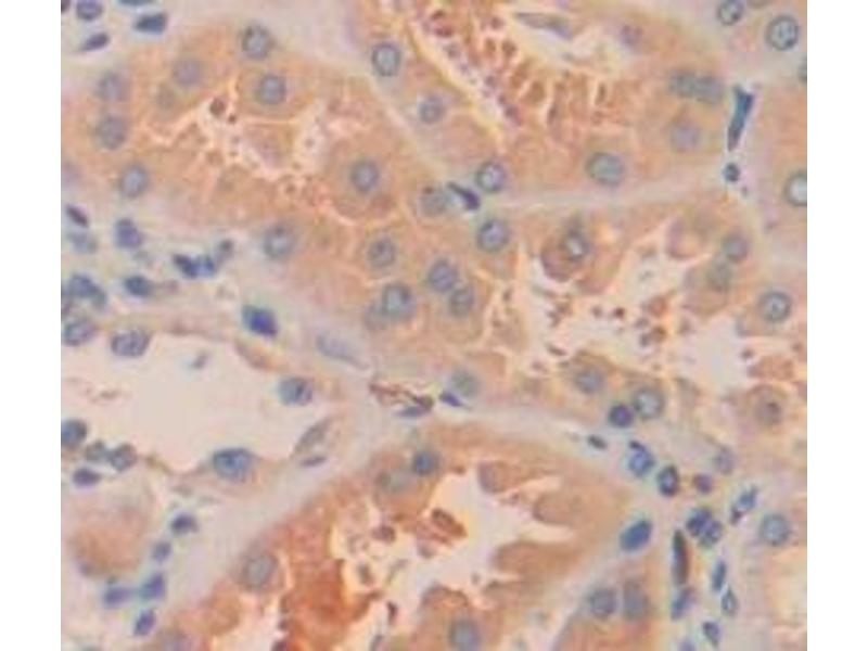
ARL15 Antikörper (AA 1-204)

Der Kaninchen Polyklonal anti-ARL15 Antikörper wird verwendet zum Nachweis von ARL15 in Proben von Human. Er wurde validiert für WB, IHC, IP und ICC.
Produktnummer ABIN5013091
269,00 €
Zzgl. Versandkosten 20,00 € und MwSt
100 μL
Lieferung nach: Deutschland
Lieferung in 13 bis 17 Werktagen

Kurzübersicht für ARL15 Antikörper (AA 1-204) (ABIN5013091)

Target

Alle ARL15 Antikörper anzeigen
ARL15 (ADP-Ribosylation Factor-Like 15 (ARL15))

Reaktivität

  • 14
  • 6
  • 4
  • 1
  • 1
  • 1
  • 1
  • 1
  • 1
Human

Wirt

  • 13
  • 1
Kaninchen

Klonalität

  • 13
  • 1
Polyklonal

Konjugat

  • 10
  • 2
  • 1
  • 1
Dieser ARL15 Antikörper ist unkonjugiert

Applikation

  • 7
  • 7
  • 4
  • 2
  • 2
  • 1
  • 1
  • 1
  • 1
Western Blotting (WB), Immunohistochemistry (IHC), Immunoprecipitation (IP), Immunocytochemistry (ICC)
  • Bindungsspezifität

    • 5
    • 2
    • 2
    • 1
    • 1
    AA 1-204

    Verwendungszweck

    Polyclonal Antibody to ADP Ribosylation Factor Like Protein 15 (ARL15)

    Spezifität

    The antibody is a rabbit polyclonal antibody raised against ARL15. It has been selected for its ability to recognize ARL15 in immunohistochemical staining and western blotting.

    Kreuzreaktivität

    Maus, Ratte

    Aufreinigung

    Antigen-specific affinity chromatography followed by Protein A affinity chromatography

    Immunogen

    ARL15 (Met1-Met204)

    Isotyp

    IgG
  • Applikationshinweise

    Western blotting: 0.2-2 μg/mL,1:250-2500 Immunohistochemistry: 5-20 μg/mL,1:25-100 Immunocytochemistry: 5-20 μg/mL,1:25-100 Optimal working dilutions must be determined by end user.

    Kommentare

    The thermal stability is described by the loss rate. The loss rate was determined by accelerated thermal degradation test, that is, incubate the protein at 37°C for 48h, and no obvious degradation and precipitation were observed. The loss rate is less than 5% within the expiration date under appropriate storage condition.

    Beschränkungen

    Nur für Forschungszwecke einsetzbar
  • Format

    Liquid

    Konzentration

    500 μg/mL

    Buffer

    PBS, pH 7.4, containing 0.02 % Sodium azide, 50 % glycerol.

    Konservierungsmittel

    Sodium azide

    Lagerung

    4 °C,-20 °C

    Informationen zur Lagerung

    Store at 4°C for frequent use. Stored at -20°C in a manual defrost freezer for two year without detectable loss of activity. Avoid repeated freeze-thaw cycles.
  • Target

    ARL15 (ADP-Ribosylation Factor-Like 15 (ARL15))

    Andere Bezeichnung

    ARL15

    Hintergrund

    ARFRP2, ADP-Ribosylation Factor Related Protein 2
Sie sind hier:
Chat with us!