Telefon:
+49 (0)241 95 163 153
Fax:
+49 (0)241 95 163 155
E-Mail:
orders@antikoerper-online.de

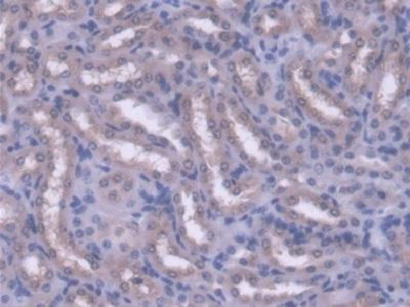
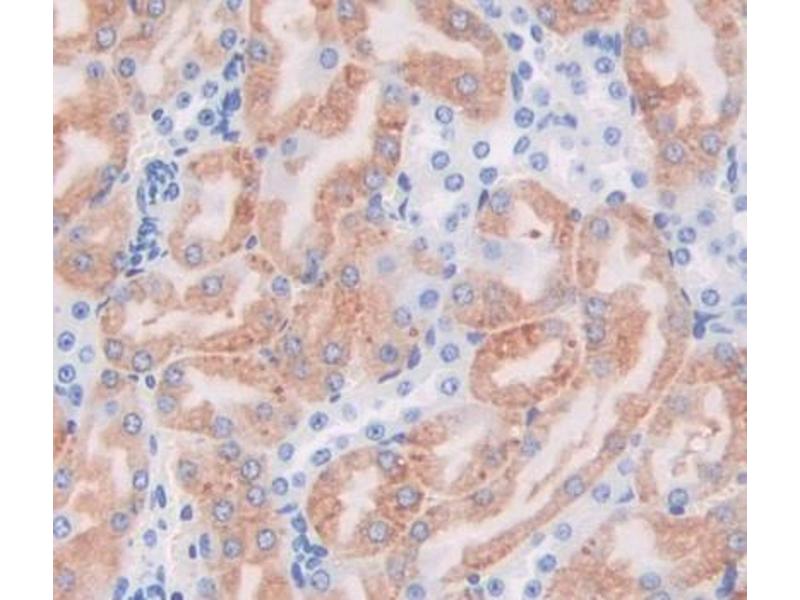
ACAA2 Antikörper (AA 90-397)

Dieser Kaninchen Polyklonal Antikörper detektiert spezifisch ACAA2 in WB, IHC, ICC und IP. Es zeigt Reaktivität gegenüber Proben von Maus.
Produktnummer ABIN5013060
252,00 €
Zzgl. Versandkosten 20,00 € und MwSt
100 μL
Lieferung nach: Deutschland
Lieferung in 13 bis 17 Werktagen

Kurzübersicht für ACAA2 Antikörper (AA 90-397) (ABIN5013060)

Target

Alle ACAA2 Antikörper anzeigen
ACAA2 (Acetyl-CoA Acyltransferase 2 (ACAA2))

Reaktivität

  • 49
  • 32
  • 25
  • 4
  • 3
  • 3
  • 2
  • 2
  • 2
  • 2
  • 1
  • 1
  • 1
  • 1
  • 1
  • 1
Maus

Wirt

  • 46
  • 4
Kaninchen

Klonalität

  • 30
  • 20
Polyklonal

Konjugat

  • 30
  • 3
  • 2
  • 2
  • 2
  • 2
  • 2
  • 2
  • 2
  • 1
  • 1
  • 1
Dieser ACAA2 Antikörper ist unkonjugiert

Applikation

  • 37
  • 28
  • 26
  • 18
  • 12
  • 5
  • 4
  • 4
  • 1
  • 1
  • 1
Western Blotting (WB), Immunohistochemistry (IHC), Immunocytochemistry (ICC), Immunoprecipitation (IP)
  • Bindungsspezifität

    • 6
    • 4
    • 2
    • 1
    • 1
    • 1
    • 1
    • 1
    • 1
    AA 90-397

    Verwendungszweck

    Polyclonal Antibody to Acetyl Coenzyme A Acyltransferase 2 (ACAA2)

    Spezifität

    The antibody is a rabbit polyclonal antibody raised against ACAA2. It has been selected for its ability to recognize ACAA2 in immunohistochemical staining and western blotting.

    Kreuzreaktivität

    Human, Ratte

    Aufreinigung

    Antigen-specific affinity chromatography followed by Protein A affinity chromatography

    Immunogen

    RPD659Mu01Recombinant Acetyl Coenzyme A Acyltransferase 2 (ACAA2)

    Isotyp

    IgG
  • Applikationshinweise

    Western blotting: 0.2-2 μg/mL,1:250-2500 Immunohistochemistry: 5-20 μg/mL,1:25-100 Immunocytochemistry: 5-20 μg/mL,1:25-100 Optimal working dilutions must be determined by end user.

    Kommentare

    The thermal stability is described by the loss rate. The loss rate was determined by accelerated thermal degradation test, that is, incubate the protein at 37°C for 48h, and no obvious degradation and precipitation were observed. The loss rate is less than 5% within the expiration date under appropriate storage condition.

    Beschränkungen

    Nur für Forschungszwecke einsetzbar
  • Format

    Liquid

    Konzentration

    500 μg/mL

    Buffer

    PBS, pH 7.4, containing 0.01 % SKL, 1 mM DTT, 5 % Trehalose and Proclin300.

    Konservierungsmittel

    Dithiothreitol (DTT), ProClin

    Lagerung

    4 °C,-20 °C

    Informationen zur Lagerung

    Store at 4°C for frequent use. Stored at -20°C in a manual defrost freezer for two year without detectable loss of activity. Avoid repeated freeze-thaw cycles.
  • Target

    ACAA2 (Acetyl-CoA Acyltransferase 2 (ACAA2))

    Andere Bezeichnung

    ACAA2

    Hintergrund

    DSAEC, T1, Mitochondrial 3-Oxoacyl-Coenzyme A Thiolase, Beta-ketothiolase, Mitochondrial 3-oxoacyl-CoA thiolase

    Pathways

    Monocarboxylic Acid Catabolic Process
Sie sind hier:
Chat with us!