Telefon:
+49 (0)241 95 163 153
Fax:
+49 (0)241 95 163 155
E-Mail:
orders@antikoerper-online.de

PHAP1 Antikörper (C-Term)

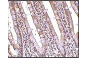
Der Kaninchen Polyklonal anti-PHAP1 Antikörper (ABIN500481) detektiert spezifisch PHAP1 in WB, IHC (p) und EIA. Dieser Antikörper reagiert spezifisch mit Proben aus Human, Maus und Ratte.
Produktnummer ABIN500481
864,62 €
Zzgl. Versandkosten 20,00 € und MwSt
0.1 mg
Lieferung nach: Deutschland
Lieferung in 16 Werktagen

Kurzübersicht für PHAP1 Antikörper (C-Term) (ABIN500481)

Target

Alle PHAP1 (ANP32A) Antikörper anzeigen
PHAP1 (ANP32A) (Acidic (Leucine-Rich) Nuclear phosphoprotein 32 Family, Member A (ANP32A))

Reaktivität

  • 43
  • 18
  • 15
  • 3
  • 3
  • 3
  • 3
  • 3
  • 2
  • 2
  • 2
  • 1
  • 1
  • 1
  • 1
Human, Maus, Ratte

Wirt

  • 41
  • 6
Kaninchen

Klonalität

  • 42
  • 5
Polyklonal

Konjugat

  • 32
  • 5
  • 1
  • 1
  • 1
  • 1
  • 1
  • 1
  • 1
  • 1
  • 1
  • 1
Dieser PHAP1 Antikörper ist unkonjugiert

Applikation

  • 35
  • 27
  • 21
  • 9
  • 6
  • 6
  • 2
  • 2
  • 1
  • 1
  • 1
Western Blotting (WB), Immunohistochemistry (Paraffin-embedded Sections) (IHC (p)), Enzyme Immunoassay (EIA)
  • Bindungsspezifität

    • 7
    • 4
    • 3
    • 3
    • 3
    • 2
    • 2
    • 2
    • 1
    • 1
    • 1
    • 1
    • 1
    • 1
    • 1
    • 1
    C-Term

    Spezifität

    This antibody detects ANP32A at C-term.

    Kreuzreaktivität (Details)

    Species reactivity (tested):Human, mouse, rat

    Aufreinigung

    Peptide affinity chromatography

    Immunogen

    PHAP antibody was raised with a synthetic peptide corresponding to amino acids at carboxy terminus of human PHAP I.

    Isotyp

    IgG
  • Applikationshinweise

    ELISA. Western blot. Immunohistochemistry on paraffin sections.
    Other applications not tested.
    Optimal dilutions are dependent on conditions and should be determined by the user.

    Beschränkungen

    Nur für Forschungszwecke einsetzbar
  • Buffer

    PBS containing 0.02 % sodium azide

    Konservierungsmittel

    Sodium azide

    Vorsichtsmaßnahmen

    This product contains sodium azide: a POISONOUS AND HAZARDOUS SUBSTANCE which should be handled by trained staff only.

    Handhabung

    Avoid repeated freezing and thawing.

    Lagerung

    4 °C/-20 °C

    Informationen zur Lagerung

    Store at 2 - 8 °C for up to one month or (in aliquots) at -20 °C for longer.
  • Target

    PHAP1 (ANP32A) (Acidic (Leucine-Rich) Nuclear phosphoprotein 32 Family, Member A (ANP32A))

    Andere Bezeichnung

    ANP32A

    Hintergrund

    Apoptosis is related to many diseases and development. Caspase-9 plays a central role in cell death induced by a variety of apoptosis activators. Cytochrome c, after released from mitochondria, binds to Apaf-1, which forms an apoptosome that in turn binds to and activate procaspase-9. Activated caspase-9 cleaves and activates the effector caspases (caspase-3, -6 and -7), which are responsible for the proteolytic cleavage of many key proteins in apoptosis. The tumor suppressor putative HLA-DR-associated proteins (PHAPs) were recently identified as important regulators of mitochondrion apoptosis (1). PHAP appears to facilitate apoptosome-medicated caspase-9 activation and to stimulate the mitochondrial apoptotic pathway. PHAP was also shown to oppose both Ras- and Myc-medicated cell transformation.Synonyms: Acidic leucine-rich nuclear phosphoprotein 32 family member A, Acidic nuclear phosphoprotein pp32, C15orf1, LANP, Leucine-rich acidic nuclear protein, MAPM, Mapmodulin, PHAP1, Potent heat-stable protein phosphatase 2A inhibitor I1PP2A, Putative HLA-DR-associated protein I

    Gen-ID

    8125

    UniProt

    P39687
Sie sind hier:
Chat with us!