Telefon:
+49 (0)241 95 163 153
Fax:
+49 (0)241 95 163 155
E-Mail:
orders@antikoerper-online.de

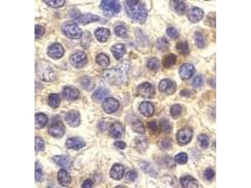
CX3CR1 Antikörper (Extracellular Loop)

Der Kaninchen Polyklonal anti-CX3CR1 Antikörper wird verwendet zum Nachweis von CX3CR1 in Proben von Human. Er wurde validiert für WB, IHC (p) und EIA.
Produktnummer ABIN499694
1.124,00 €
Zzgl. Versandkosten 20,00 € und MwSt
0.1 mg
Lieferung nach: Deutschland
Lieferung in 16 Werktagen

Kurzübersicht für CX3CR1 Antikörper (Extracellular Loop) (ABIN499694)

Target

Alle CX3CR1 Antikörper anzeigen
CX3CR1 (Chemokine (C-X3-C Motif) Receptor 1 (CX3CR1))

Reaktivität

  • 95
  • 53
  • 37
  • 5
  • 4
  • 3
  • 1
Human

Wirt

  • 79
  • 20
  • 10
  • 3
  • 1
  • 1
Kaninchen

Klonalität

  • 80
  • 33
Polyklonal

Konjugat

  • 50
  • 8
  • 8
  • 6
  • 4
  • 4
  • 3
  • 2
  • 2
  • 2
  • 2
  • 2
  • 2
  • 2
  • 2
  • 1
  • 1
  • 1
  • 1
  • 1
  • 1
  • 1
  • 1
  • 1
  • 1
  • 1
  • 1
  • 1
  • 1
  • 1
Dieser CX3CR1 Antikörper ist unkonjugiert

Applikation

  • 56
  • 49
  • 25
  • 21
  • 12
  • 9
  • 4
  • 4
  • 4
  • 3
  • 3
  • 1
  • 1
  • 1
  • 1
Western Blotting (WB), Immunohistochemistry (Paraffin-embedded Sections) (IHC (p)), Enzyme Immunoassay (EIA)
  • Bindungsspezifität

    • 16
    • 6
    • 6
    • 5
    • 5
    • 4
    • 3
    • 3
    • 3
    • 3
    • 3
    • 2
    • 2
    • 2
    • 2
    • 1
    • 1
    • 1
    • 1
    • 1
    • 1
    • 1
    • 1
    • 1
    • 1
    • 1
    • 1
    • 1
    Extracellular Loop

    Spezifität

    CX3CR1 antibody was raised against a peptide corresponding to amino acids in an extracellular loop of human CX3CR1. The sequence is identical to that of rat CX3CR1 and differs from that of mouse CX3CR1 by one amino acid (3,4).

    Aufreinigung

    Affinity chromatography purified via peptide column

    Immunogen

    Human CX3CR1 (Extracellular Loop) Peptide

    Isotyp

    IgG
  • Applikationshinweise

    ELISA. Western Blot: CX3CR1 antibody can be used for detection of CX3CR1 at 1/500 dilution. THP-1cell lysate can be used as positive control and an approximately 50 kDa band can bedetected. Immunohistochemistry.
    Other applications not tested.
    Optimal dilutions are dependent on conditions and should be determined by the user.

    Beschränkungen

    Nur für Forschungszwecke einsetzbar
  • Buffer

    PBS containing 0.02 % sodium azide.

    Konservierungsmittel

    Sodium azide

    Vorsichtsmaßnahmen

    This product contains sodium azide: a POISONOUS AND HAZARDOUS SUBSTANCE which should be handled by trained staff only.

    Lagerung

    4 °C

    Informationen zur Lagerung

    Store the antibody undiluted at 2-8 °C.
  • Target

    CX3CR1 (Chemokine (C-X3-C Motif) Receptor 1 (CX3CR1))

    Andere Bezeichnung

    CX3CR1 / GPR13

    Hintergrund

    CX3CR1 is one of the chemokine receptors that are required as coreceptors for HIV infection. The genes encoding human, mouse, and rat CX3CR1 were cloned and designated V28 and CMKBRL1, CX3CR1, and RBS11, respectively, (1-4). The encoded seven transmembrane protein was recently identified as the receptor for a novel transmembrane molecule, fractalkine, and renamed CX3CR1 (5). Recently, CX3CR1 was found to serve as a coreceptor for HIV-1 and HIV-2 envelope fusion and virus infection, which can be inhibited by fractokine (6). CX3CR1 mediates leukocyte migration and adhesion (5). CX3CR1 is expressed in a variety of human tissues and cell lines (2).Synonyms: Beta chemokine receptor-like 1, C-X3-C CKR-1, CMK-BRL-1, CMKBRL1, CX3C chemokine receptor 1, Fractalkine receptor, G-protein coupled receptor 13, V28

    Gen-ID

    1524

    UniProt

    P49238

    Pathways

    Cellular Response to Molecule of Bacterial Origin
Sie sind hier:
Chat with us!