Telefon:
+49 (0)241 95 163 153
Fax:
+49 (0)241 95 163 155
E-Mail:
orders@antikoerper-online.de

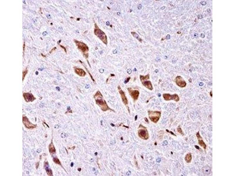
PAK3 Antikörper (AA 124-152)

Der Kaninchen Polyklonal anti-PAK3 Antikörper (ABIN3028914) detektiert spezifisch PAK3 in WB, ELISA und IHC. Dieser Antikörper reagiert spezifisch mit Proben aus Human und Maus.
Produktnummer ABIN3028914
631,13 €
Zzgl. Versandkosten 20,00 € und MwSt
Lieferung nach: Deutschland
Lieferung in 6 bis 9 Werktagen

Kurzübersicht für PAK3 Antikörper (AA 124-152) (ABIN3028914)

Target

Alle PAK3 Antikörper anzeigen
PAK3

Reaktivität

  • 87
  • 41
  • 31
  • 4
Human, Maus

Wirt

  • 81
  • 6
  • 2
Kaninchen

Klonalität

  • 70
  • 20
Polyklonal

Konjugat

  • 39
  • 7
  • 5
  • 4
  • 3
  • 3
  • 3
  • 3
  • 3
  • 3
  • 2
  • 2
  • 1
  • 1
  • 1
  • 1
  • 1
  • 1
  • 1
  • 1
  • 1
  • 1
  • 1
  • 1
  • 1
Dieser PAK3 Antikörper ist unkonjugiert

Applikation

  • 70
  • 40
  • 36
  • 13
  • 13
  • 12
  • 11
  • 9
  • 7
  • 3
  • 3
  • 1
  • 1
Western Blotting (WB), ELISA, Immunohistochemistry (IHC)
  • Bindungsspezifität

    • 17
    • 8
    • 7
    • 6
    • 3
    • 3
    • 2
    • 2
    • 2
    • 2
    • 2
    • 2
    • 2
    • 1
    • 1
    • 1
    • 1
    • 1
    • 1
    • 1
    • 1
    AA 124-152

    Kreuzreaktivität (Details)

    Expected species reactivity: Rat, Xenopus

    Aufreinigung

    Antigen affinity purified

    Immunogen

    A portion of amino acids 124-152 from the mouse protein was used as the immunogen for this PAK3 antibody.

    Isotyp

    Ig Fraction
  • Applikationshinweise

    Titration of the PAK3 antibody may be required due to differences in protocols and secondary/substrate sensitivity.\. Western blot: 1:1000,IHC (Paraffin): 1:10-1:50

    Beschränkungen

    Nur für Forschungszwecke einsetzbar
  • Format

    Liquid

    Buffer

    In 1X PBS, pH 7.4, with 0.09 % sodium azide

    Konservierungsmittel

    Sodium azide

    Vorsichtsmaßnahmen

    This product contains Sodium azide: a POISONOUS AND HAZARDOUS SUBSTANCE which should be handled by trained staff only.

    Lagerung

    -20 °C

    Informationen zur Lagerung

    Aliquot the PAK3 antibody and store frozen at -20°C or colder. Avoid repeated freeze-thaw cycles.
  • Target

    PAK3

    Andere Bezeichnung

    PAK3

    Hintergrund

    Key regulator of synapse formation and plasticity in the hippocampus.

    UniProt

    Q61036
Sie sind hier:
Chat with us!