Telefon:
+49 (0)241 95 163 153
Fax:
+49 (0)241 95 163 155
E-Mail:
orders@antikoerper-online.de

GAK Antikörper (AA 15-45)

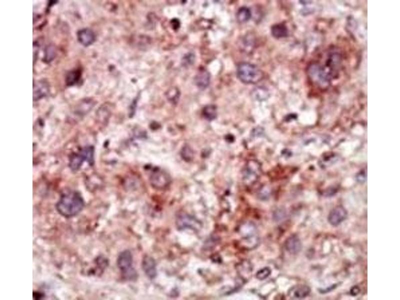
Der Kaninchen Polyklonal anti-GAK Antikörper (ABIN3030600) detektiert spezifisch GAK in WB, ELISA und IHC. Dieser Antikörper reagiert spezifisch mit Proben aus Human und Maus.
Produktnummer ABIN3030600
631,13 €
Zzgl. Versandkosten 20,00 € und MwSt
Lieferung nach: Deutschland
Lieferung in 6 bis 9 Werktagen

Kurzübersicht für GAK Antikörper (AA 15-45) (ABIN3030600)

Target

Alle GAK Antikörper anzeigen
GAK (Cyclin G Associated Kinase (GAK))

Reaktivität

  • 63
  • 40
  • 1
  • 1
  • 1
  • 1
Human, Maus

Wirt

  • 59
  • 4
Kaninchen

Klonalität

  • 61
  • 2
Polyklonal

Konjugat

  • 29
  • 5
  • 4
  • 4
  • 2
  • 2
  • 1
  • 1
  • 1
  • 1
  • 1
  • 1
  • 1
  • 1
  • 1
  • 1
  • 1
  • 1
  • 1
  • 1
  • 1
  • 1
  • 1
Dieser GAK Antikörper ist unkonjugiert

Applikation

  • 51
  • 29
  • 20
  • 13
  • 13
  • 11
  • 6
  • 3
  • 2
  • 2
  • 1
Western Blotting (WB), ELISA, Immunohistochemistry (IHC)
  • Bindungsspezifität

    • 15
    • 9
    • 7
    • 6
    • 5
    • 4
    • 4
    • 2
    • 2
    • 1
    • 1
    • 1
    • 1
    • 1
    AA 15-45

    Kreuzreaktivität (Details)

    Expected species reactivity: Rat

    Aufreinigung

    Purified

    Immunogen

    A portion of amino acids 15-45 from the human protein was used as the immunogen for this GAK antibody.

    Isotyp

    Ig Fraction
  • Applikationshinweise

    Titration of the GAK antibody may be required due to differences in protocols and secondary/substrate sensitivity.\. IHC (Paraffin): 1:50-1:100,Western blot: 1:1000

    Beschränkungen

    Nur für Forschungszwecke einsetzbar
  • Format

    Liquid

    Buffer

    In 1X PBS pH 7.4 with 0.09 % sodium azide

    Konservierungsmittel

    Sodium azide

    Vorsichtsmaßnahmen

    This product contains Sodium azide: a POISONOUS AND HAZARDOUS SUBSTANCE which should be handled by trained staff only.

    Lagerung

    -20 °C

    Informationen zur Lagerung

    Aliquot the GAK antibody and store frozen at -20°C or colder. Avoid repeated freeze-thaw cycles.
  • Target

    GAK (Cyclin G Associated Kinase (GAK))

    Andere Bezeichnung

    GAK

    Hintergrund

    GAK, a member of the Ser/Thr protein kinase family, associates with cyclin G and CDK5. It appears to act as an auxilin homolog that is involved in the uncoating of clathrin-coated vesicles by Hsc70 in non-neuronal cells. Expression oscillates slightly during the cell cycle, peaking at G1. GAK localizes to the perinuclear area and to the trans-Golgi network. It is also observed on the plasma membrane, probably at focals adhesions. Expression is ubiquitous, wiht highest levels in testis. The protein contains 1 J domain and 1 tensin domain.

    UniProt

    Q6P490
Sie sind hier:
Chat with us!