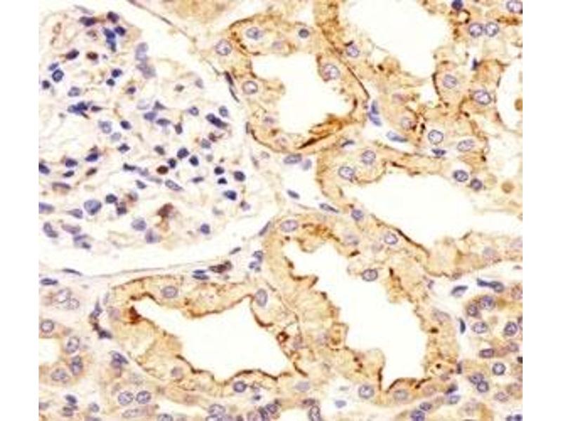
Der Kaninchen Polyklonal anti-ATF6B Antikörper wird verwendet zum Nachweis von ATF6B in Proben von Human, Maus und Hamster. Er wurde validiert für WB, ELISA und IHC.
ATF6B
Reaktivität: Maus
WB, IF (cc), IF (p)
Wirt: Kaninchen
Polyclonal
AbBy Fluor® 488
Applikationshinweise
Titration of the ATF6 beta antibody may be required due to differences in protocols and secondary/substrate sensitivity.\. IHC (Paraffin): 1:25,Western blot: 1:1000
Beschränkungen
Nur für Forschungszwecke einsetzbar
Format
Liquid
Buffer
In 1X PBS pH 7.4 with 0.09 % sodium azide
Konservierungsmittel
Sodium azide
Vorsichtsmaßnahmen
This product contains Sodium azide: a POISONOUS AND HAZARDOUS SUBSTANCE which should be handled by trained staff only.
Lagerung
-20 °C
Informationen zur Lagerung
Aliquot the ATF6 beta antibody and store frozen at -20°C or colder. Avoid repeated freeze-thaw cycles.
ATF6 beta is a transcription factor in the unfolded protein response (UPR) pathway during ER stress. Either as a homodimer or as a heterodimer with ATF6-alpha, the encoded protein binds to the ER stress response element, interacting with nuclear transcription factor Y to activate UPR target genes. The protein is normally found in the membrane of the endoplasmic reticulum, however, under ER stress, the N-terminal cytoplasmic domain is cleaved from the rest of the protein and translocates to the nucleus.