Telefon:
+49 (0)241 95 163 153
Fax:
+49 (0)241 95 163 155
E-Mail:
orders@antikoerper-online.de

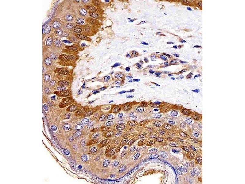
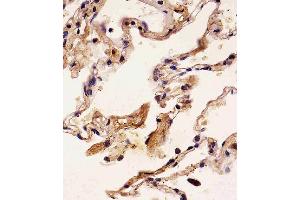
S100A2 Antikörper

Dieser Maus Monoklonal Antikörper detektiert spezifisch S100A2 in WB, IF und IHC (p). Es zeigt Reaktivität gegenüber Proben von Human.
Produktnummer ABIN4913830
439,25 €
Zzgl. Versandkosten 20,00 € und MwSt
100 μL
Lieferung nach: Deutschland
Lieferung in 12 bis 17 Werktagen

Kurzübersicht für S100A2 Antikörper (ABIN4913830)

Target

Alle S100A2 Antikörper anzeigen
S100A2 (S100 Calcium Binding Protein A2 (S100A2))

Reaktivität

  • 61
  • 15
  • 2
  • 2
  • 2
  • 1
Human

Wirt

  • 41
  • 21
  • 1
Maus

Klonalität

  • 42
  • 21
Monoklonal

Konjugat

  • 30
  • 7
  • 5
  • 3
  • 1
  • 1
  • 1
  • 1
  • 1
  • 1
  • 1
  • 1
  • 1
  • 1
  • 1
  • 1
  • 1
  • 1
  • 1
  • 1
  • 1
  • 1
Dieser S100A2 Antikörper ist unkonjugiert

Applikation

  • 52
  • 25
  • 19
  • 18
  • 13
  • 13
  • 12
  • 10
  • 8
  • 5
  • 5
  • 3
  • 1
  • 1
  • 1
  • 1
Western Blotting (WB), Immunofluorescence (IF), Immunohistochemistry (Paraffin-embedded Sections) (IHC (p))

Klon

2C1
  • Kreuzreaktivität

    Human

    Aufreinigung

    Purified by Protein G.

    Immunogen

    This S100A2 antibody is generated from a mouse immunized with a recombinant protein of human S100A2.

    Isotyp

    IgG1
  • Applikationshinweise

    WB 1:300-5000
    IHC-P 1:200-400
    IF()

    Beschränkungen

    Nur für Forschungszwecke einsetzbar
  • Format

    Liquid

    Konzentration

    0.5 μg/μL

    Buffer

    0.01M TBS( pH 7.4) with 1 % BSA, 0.02 % Proclin300 and 50 % Glycerol.

    Konservierungsmittel

    ProClin

    Vorsichtsmaßnahmen

    This product contains ProClin: a POISONOUS AND HAZARDOUS SUBSTANCE, which should be handled by trained staff only.

    Lagerung

    4 °C,-20 °C

    Informationen zur Lagerung

    Shipped at 4°C. Store at -20°C for one year. Avoid repeated freeze/thaw cycles.

    Haltbarkeit

    12 months
  • Target

    S100A2 (S100 Calcium Binding Protein A2 (S100A2))

    Andere Bezeichnung

    S100A2

    Hintergrund

    Synonyms: CAN19, S100L, Protein S100-A2, Protein S-100L, S100 calcium-binding protein A2, S100A2

    Background: May function as calcium sensor and modulator, contributing to cellular calcium signaling. May function by interacting with other proteins, such as TPR-containing proteins, and indirectly play a role in many physiological processes. May also play a role in suppressing tumor cell growth.

    Gen-ID

    6273

    UniProt

    P29034

    Pathways

    S100 Proteine
Sie sind hier:
Chat with us!