PPARA Antikörper
Kurzübersicht für PPARA Antikörper (ABIN4913181)
Target
Alle PPARA Antikörper anzeigenReaktivität
Wirt
Klonalität
Konjugat
Applikation
Klon
-
-
Kreuzreaktivität
- Human, Maus
-
Aufreinigung
- Purified monoclonal antibody supplied in PBS with 0.09% (W/V) sodium azide. This antibody is purified through a protein G column, followed by dialysis against PBS.
-
Immunogen
- This PPARA antibody is generated from a mouse immunized with a recombination protein from the human region of human PPARA.
-
Isotyp
- IgG1
-
-
-
-
Applikationshinweise
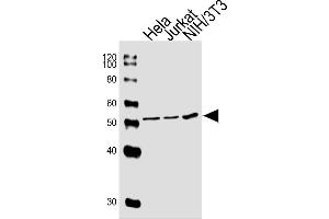
- WB 1:300-5000
-
Beschränkungen
- Nur für Forschungszwecke einsetzbar
-
-
-
Format
- Liquid
-
Konzentration
- 0.5 μg/μL
-
Buffer
- 0.01M TBS( pH 7.4) with 1 % BSA, 0.02 % Proclin300 and 50 % Glycerol.
-
Konservierungsmittel
- ProClin
-
Vorsichtsmaßnahmen
- This product contains ProClin: a POISONOUS AND HAZARDOUS SUBSTANCE, which should be handled by trained staff only.
-
Lagerung
- 4 °C,-20 °C
-
Informationen zur Lagerung
- Shipped at 4°C. Store at -20°C for one year. Avoid repeated freeze/thaw cycles.
-
Haltbarkeit
- 12 months
-
-
- PPARA (Peroxisome Proliferator-Activated Receptor alpha (PPARA))
-
Andere Bezeichnung
- PPARA
-
Hintergrund
-
Synonyms: PPAR, NR1C1, hPPAR, PPARalpha, Peroxisome proliferator-activated receptor alpha, PPAR-alpha, Nuclear receptor subfamily 1 group C member 1, PPARA
Background: Ligand-activated transcription factor. Key regulator of lipid metabolism. Activated by the endogenous ligand 1-palmitoyl-2-oleoyl-sn-glycerol-3-phosphocholine (16:0/18:1-GPC). Activated by oleylethanolamide, a naturally occurring lipid that regulates satiety. Receptor for peroxisome proliferators such as hypolipidemic drugs and fatty acids. Regulates the peroxisomal beta-oxidation pathway of fatty acids. Functions as transcription activator for the ACOX1 and P450 genes. Transactivation activity requires heterodimerization with RXRA and is antagonized by NR2C2. May be required for the propagation of clock information to metabolic pathways regulated by PER2.
-
Gen-ID
- 5465
-
UniProt
- Q07869
-
Pathways
- Nuclear Receptor Transcription Pathway, Steroid Hormone Mediated Signaling Pathway, Regulation of Lipid Metabolism by PPARalpha, Regulation of Carbohydrate Metabolic Process, Hepatitis C
Target
-