Telefon:
+49 (0)241 95 163 153
Fax:
+49 (0)241 95 163 155
E-Mail:
orders@antikoerper-online.de

Vip Antikörper (Middle Region)

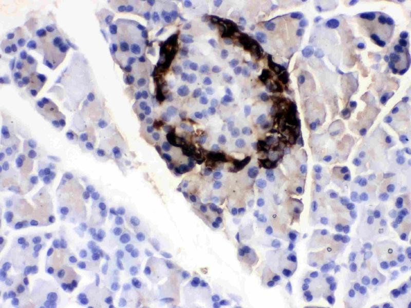
Zitiert in 1 Publikation. Der Kaninchen Polyklonal anti-Vip Antikörper (ABIN4886760) detektiert spezifisch Vip in IHC und IF. Dieser Antikörper reagiert spezifisch mit Proben aus Human, Ratte und Maus.
Produktnummer ABIN4886760
500,50 €
Zzgl. Versandkosten 20,00 € und MwSt
100 μg
Lieferung nach: Deutschland
Lieferung in 8 bis 12 Werktagen

Kurzübersicht für Vip Antikörper (Middle Region) (ABIN4886760)

Target

Alle Vip Antikörper anzeigen
Vip (Vasoactive Intestinal Peptide (Vip))

Reaktivität

  • 60
  • 31
  • 10
  • 9
  • 6
  • 5
  • 2
  • 2
  • 2
  • 2
  • 1
  • 1
  • 1
  • 1
Human, Ratte, Maus

Wirt

  • 52
  • 15
  • 2
Kaninchen

Klonalität

  • 54
  • 15
Polyklonal

Konjugat

  • 45
  • 1
  • 1
  • 1
  • 1
  • 1
  • 1
  • 1
  • 1
  • 1
  • 1
  • 1
  • 1
  • 1
  • 1
  • 1
  • 1
  • 1
  • 1
  • 1
  • 1
  • 1
  • 1
  • 1
  • 1
Dieser Vip Antikörper ist unkonjugiert

Applikation

  • 33
  • 28
  • 19
  • 16
  • 13
  • 13
  • 9
  • 9
  • 6
  • 5
  • 3
  • 2
  • 2
  • 1
Immunohistochemistry (IHC), Immunofluorescence (IF)
  • Bindungsspezifität

    • 16
    • 6
    • 6
    • 4
    • 2
    • 2
    • 2
    • 2
    • 1
    • 1
    • 1
    • 1
    • 1
    • 1
    • 1
    AA 81-107, Middle Region

    Verwendungszweck

    Anti-VIP peptides VIP Antibody

    Sequenz

    HADGVFTSDF SKLLGQLSAK KYLESLM

    Kreuzreaktivität (Details)

    No cross-reactivity with other proteins

    Produktmerkmale

    Anti-VIP peptides VIP Antibody (ABIN4886760). Tested in IF, IHC applications. This antibody reacts with Human, Mouse, Rat.

    Aufreinigung

    Immunogen affinity purified.

    Immunogen

    A synthetic peptide corresponding to a sequence in the middle region of human VIP, different from the related mouse and rat sequences by four amino acids.

    Isotyp

    IgG
  • Applikationshinweise

    Immunohistochemistry (Paraffin-embedded Section), 0.5-1 μg/mL, Human, Mouse, Rat
    Immunofluorescence, 5 μg/mL, Rat

    Kommentare

    Antibody can be supported by ABIN921231 in IHC(P).

    Beschränkungen

    Nur für Forschungszwecke einsetzbar
  • Format

    Lyophilized

    Rekonstitution

    Add 0.2 mL of distilled water will yield a concentration of 500 μg/mL.

    Konzentration

    500 μg/mL

    Buffer

    Each vial contains 5 mg BSA, 0.9 mg NaCl, 0.2 mg Na2HPO4, 0.05 mg Sodium azide.

    Konservierungsmittel

    Sodium azide

    Vorsichtsmaßnahmen

    This product contains Sodium azide: a POISONOUS AND HAZARDOUS SUBSTANCE which should be handled by trained staff only.

    Handhabung

    Avoid repeated freezing and thawing.

    Lagerung

    4 °C,-20 °C

    Informationen zur Lagerung

    Store at -20°C for one year from date of receipt. After reconstitution, at 4°C for one month.
    It can also be aliquotted and stored frozen at -20°C for six months. Avoid repeated freeze-thaw cycles.
  • Huang, Zhu, Zhang, Zhu, Liu, Zhu, Wang, Li, Yang, Dong, Liu, Chen, Zhang, Yang, Deng, Fan, Wang, Liu, Ma, Fu, Wu: "S100+ cells: a new neuro-immune cross-talkers in lymph organs." in: Scientific reports, Vol. 3, pp. 1114, (2013) (PubMed).

  • Target

    Vip (Vasoactive Intestinal Peptide (Vip))

    Andere Bezeichnung

    VIP

    Hintergrund

    Synonyms: VIP peptides,Intestinal peptide PHV-42,Peptide histidine valine 42,Intestinal peptide PHM-27,Peptide histidine methioninamide 27,Vasoactive intestinal peptide,VIP,Vasoactive intestinal polypeptide,VIP,

    Tissue Specificity: Isoform CFL2b is expressed predominantly in skeletal muscle and heart. Isoform CFL2a is expressed in various tissues.

    Background: Vasoactive intestinal peptide, also known as PHM27 or VIP, is a peptide hormone containing 28 amino acid residues. This gene is mapped to 6q25. The protein encoded by this gene belongs to the glucagon family. It stimulates myocardial contractility, causes vasodilation, increases glycogenolysis, lowers arterial blood pressure and relaxes the smooth muscle of trachea, stomach and gall bladder. The protein also acts as an antimicrobial peptide with antibacterial and antifungal activity. Alternative splicing occurs at this locus and two transcript variants encoding distinct isoforms have been identified.

    Molekulargewicht

    26 kDa

    Gen-ID

    7432

    UniProt

    P01282

    Pathways

    Hormone Activity, cAMP Metabolic Process
Sie sind hier:
Chat with us!