Telefon:
+49 (0)241 95 163 153
Fax:
+49 (0)241 95 163 155
E-Mail:
orders@antikoerper-online.de

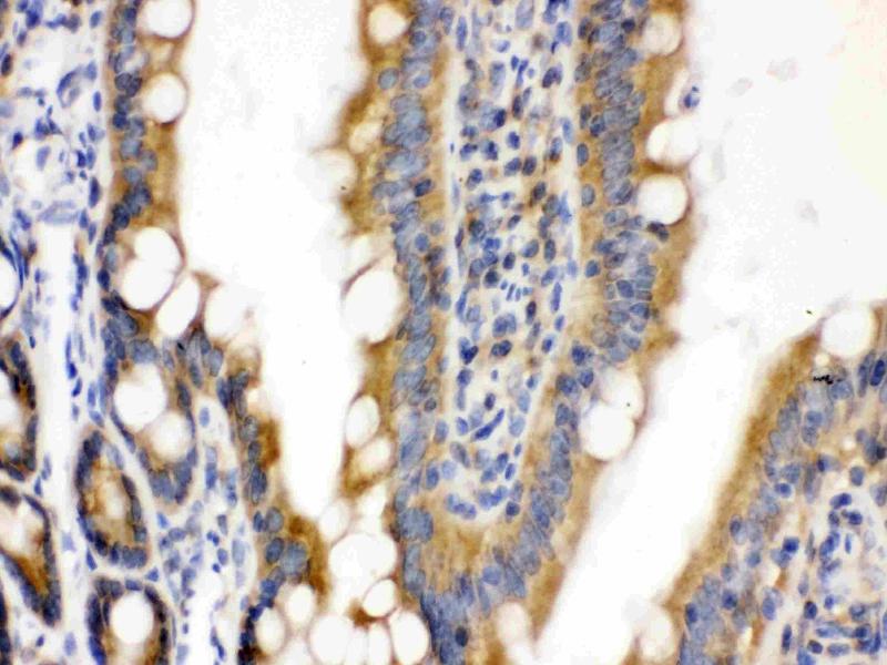
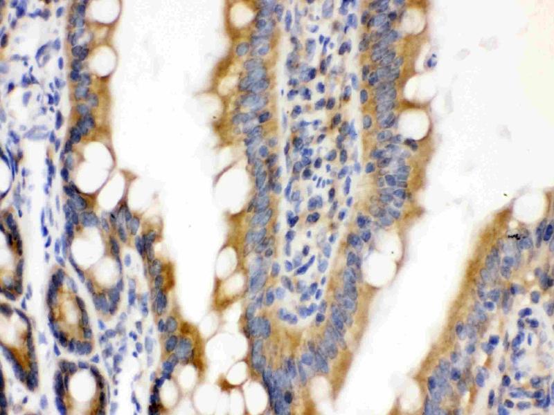
CDCP1 Antikörper (AA 582-667)

Der Kaninchen Polyklonal anti-CDCP1 Antikörper (ABIN4886532) detektiert spezifisch CDCP1 in WB, IHC und FACS. Dieser Antikörper reagiert spezifisch mit Proben aus Human, Maus und Ratte.
Produktnummer ABIN4886532
500,50 €
Zzgl. Versandkosten 20,00 € und MwSt
100 μg
Lieferung nach: Deutschland
Lieferung in 8 bis 12 Werktagen

Kurzübersicht für CDCP1 Antikörper (AA 582-667) (ABIN4886532)

Target

Alle CDCP1 Antikörper anzeigen
CDCP1 (CUB Domain Containing Protein 1 (CDCP1))

Reaktivität

  • 73
  • 22
  • 12
  • 2
  • 1
  • 1
Human, Maus, Ratte

Wirt

  • 36
  • 31
  • 6
  • 2
  • 1
  • 1
Kaninchen

Klonalität

  • 40
  • 37
Polyklonal

Konjugat

  • 42
  • 4
  • 4
  • 4
  • 3
  • 3
  • 3
  • 3
  • 3
  • 3
  • 3
  • 1
  • 1
Dieser CDCP1 Antikörper ist unkonjugiert

Applikation

  • 33
  • 28
  • 11
  • 10
  • 4
  • 4
  • 2
  • 2
  • 1
  • 1
  • 1
  • 1
  • 1
  • 1
  • 1
  • 1
Western Blotting (WB), Immunohistochemistry (IHC), Flow Cytometry (FACS)
  • Bindungsspezifität

    • 8
    • 4
    • 4
    • 3
    • 2
    • 2
    • 1
    • 1
    • 1
    • 1
    • 1
    • 1
    • 1
    • 1
    • 1
    • 1
    • 1
    • 1
    AA 582-667

    Verwendungszweck

    Anti-CDCP1 Antibody

    Kreuzreaktivität (Details)

    No cross-reactivity with other proteins

    Produktmerkmale

    Anti-CDCP1 Antibody (ABIN4886532). Tested in Flow Cytometry, IHC, WB applications. This antibody reacts with Human, Mouse, Rat. This is a premium antibody that guarantees superior quality, high affinity, and strong signals with minimal background in Western blot applications.

    Aufreinigung

    Immunogen affinity purified.

    Immunogen

    E. coli-derived human CDCP1 recombinant protein (Position: R582-T667). Human CDCP1 shares 84.5% amino acid (aa) sequence identity with mouse CDCP1.

    Isotyp

    IgG
  • Applikationshinweise

    Western blot, 0.1-0.5 μg/mL, Human
    Immunohistochemistry (Paraffin-embedded Section), 0.5-1 μg/mL, Human, Mouse, Rat
    Flow Cytometry (Fixed), 1-3 μg/1x106 cells, Human

    Kommentare

    Antibody can be supported by chemiluminescence kit ABIN921124 in WB, supported by ABIN921231 in IHC(P).

    Beschränkungen

    Nur für Forschungszwecke einsetzbar
  • Format

    Lyophilized

    Rekonstitution

    Add 0.2 mL of distilled water will yield a concentration of 500 μg/mL.

    Konzentration

    500 μg/mL

    Buffer

    Each vial contains 5 mg BSA, 0.9 mg NaCl, 0.2 mg Na2HPO4, 0.05 mg Sodium azide.

    Konservierungsmittel

    Sodium azide

    Vorsichtsmaßnahmen

    This product contains Sodium azide: a POISONOUS AND HAZARDOUS SUBSTANCE which should be handled by trained staff only.

    Handhabung

    Avoid repeated freezing and thawing.

    Lagerung

    4 °C,-20 °C

    Informationen zur Lagerung

    Store at -20°C for one year from date of receipt. After reconstitution, at 4°C for one month.
    It can also be aliquotted and stored frozen at -20°C for six months. Avoid repeated freeze-thaw cycles.
  • Target

    CDCP1 (CUB Domain Containing Protein 1 (CDCP1))

    Andere Bezeichnung

    CDCP1

    Hintergrund

    Synonyms: CUB domain-containing protein 1,Membrane glycoprotein gp140,Subtractive immunization M plus HEp3-associated 135 kDa protein,SIMA135,Transmembrane and associated with src kinases,CD318,CDCP1,TRASK,UNQ2486/PRO5773,

    Tissue Specificity: Highly expressed in mitotic cells with low expression during interphase. Detected at highest levels in skeletal muscle and colon with lower levels in kidney, small intestine, placenta and lung. Up-regulated in a number of human tumor cell lines, as well as in colorectal cancer, breast carcinoma and lung cancer. Also expressed in cells with phenotypes reminiscent of mesenchymal stem cells and neural stem cells. .

    Background: CUB domain-containing protein 1 (CDCP1) is a protein that in humans is encoded by the CDCP1 gene. It has also been designated as CD318 (cluster of differentiation 318) and Trask (Transmembrane and associated with src kinases). CDCP1/Trask is a 140 kD transmembrane glycoprotein with a large extracellular domain (ECD) containing two CUB domains, and a smaller intracellular domain (ICD) containing five tyrosines. The tyrosine phosphorylation of Trask is tightly regulated and reciprocally linked with the state of cell adhesion. The tyrosine phosphorylation of CDCP1 in cultured cells occurs when cells are induced to detach by trypsin or EDTA, or seen spontaneously during mitotic detachment. The overexpression of CDCP1 leads to the loss of cell adhesion and a detached phenotype. CDCP1 is widely expressed in human epithelial tissues, but its phosphorylation is only seen in mitotically detached or shedding cells, consistent with its role in the negative regulation of cell adhesion.

    Molekulargewicht

    130 kDa

    Gen-ID

    64866

    UniProt

    Q9H5V8
Sie sind hier:
Chat with us!