Telefon:
+49 (0)241 95 163 153
Fax:
+49 (0)241 95 163 155
E-Mail:
orders@antikoerper-online.de

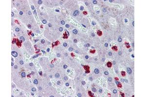
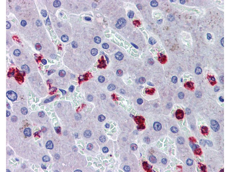
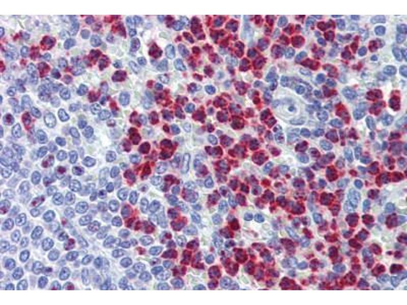
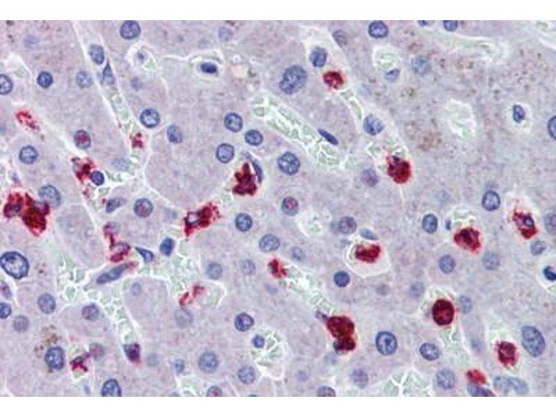
RASSF2 Antikörper (AA 11-22)

Der Ziege Polyklonal anti-RASSF2 Antikörper wird verwendet zum Nachweis von RASSF2 in Proben von Human, Affe, Rind (Kuh), Hund, Pferd, Kaninchen und Schwein. Er wurde validiert für IHC und IHC (p).
Produktnummer ABIN462512
512,07 €
Zzgl. Versandkosten 20,00 € und MwSt
50 μg
Lieferung nach: Deutschland
Lieferung in 15 bis 20 Werktagen

Kurzübersicht für RASSF2 Antikörper (AA 11-22) (ABIN462512)

Target

Alle RASSF2 Antikörper anzeigen
RASSF2 (Ras Association (RalGDS/AF-6) Domain Family Member 2 (RASSF2))

Reaktivität

  • 26
  • 24
  • 21
  • 2
  • 2
  • 2
  • 2
  • 2
  • 2
  • 1
  • 1
  • 1
Human, Affe, Rind (Kuh), Hund, Pferd, Kaninchen, Schwein

Wirt

  • 35
  • 4
  • 1
Ziege

Klonalität

  • 34
  • 6
Polyklonal

Konjugat

  • 23
  • 2
  • 2
  • 2
  • 1
  • 1
  • 1
  • 1
  • 1
  • 1
  • 1
  • 1
  • 1
  • 1
  • 1
Dieser RASSF2 Antikörper ist unkonjugiert

Applikation

  • 37
  • 13
  • 13
  • 10
  • 5
  • 4
  • 4
  • 3
  • 3
  • 2
  • 1
  • 1
Immunohistochemistry (IHC), Immunohistochemistry (Paraffin-embedded Sections) (IHC (p))
  • Bindungsspezifität

    • 15
    • 4
    • 2
    • 2
    • 2
    • 2
    • 1
    • 1
    • 1
    • 1
    • 1
    • 1
    • 1
    • 1
    AA 11-22

    Spezifität

    Human RASSF2. Reported variants represent identical protein: NP_055552.1, NP_739580.1.

    Homologie

    Percent identity by BLAST analysis: Human, Gorilla, Gibbon, Marmoset, Elephant, Panda, Dog, Bovine, Horse, Rabbit, Pig, Opossum (100%) Bat, Xenopus (92%) Chicken, Frog (83%).

    Aufreinigung

    Immunoaffinity purified

    Immunogen

    Synthetic peptide PCGQDKYISKNE from the N-terminus of human RASSF2 (NP_055552.1, NP_739580.1). Percent identity by BLAST analysis: Human, Gorilla, Gibbon, Marmoset, Elephant, Panda, Dog, Bovine, Horse, Rabbit, Pig, Opossum (100%), Bat, Xenopus (92%), Chicken, Frog (83%).

    Type of Immunogen: Synthetic peptide
  • Applikationshinweise

    Approved: IHC, IHC-P (3.75 μg/mL)

    Usage: Immunohistochemistry: This antibody was validated for use in immunohistochemistry on a panel of 21 formalin-fixed, paraffin-embedded (FFPE) human tissues after heat induced antigen retrieval in  pH 6.0 citrate buffer. After incubation with the primary antibody, slides were incubated with biotinylated secondary antibody, followed by alkaline phosphatase-streptavidin and chromogen. The stained slides were evaluated by a pathologist to confirm staining specificity. The optimal working concentration for this antibody was determined to be 3.75 μg/mL.

    Kommentare

    Target Species of Antibody: Human

    Beschränkungen

    Nur für Forschungszwecke einsetzbar
  • Format

    Liquid

    Konzentration

    Lot specific

    Buffer

    Tris-buffered saline,  pH 7.3, 0.5 % BSA, 0.02 % sodium azide

    Konservierungsmittel

    Sodium azide

    Vorsichtsmaßnahmen

    This product contains Sodium azide: a POISONOUS AND HAZARDOUS SUBSTANCE which should be handled by trained staff only.

    Handhabung

    Minimize freezing and thawing.

    Lagerung

    -20 °C

    Informationen zur Lagerung

    Store at -20°C. Avoid freeze-thaw cycles.
  • Target

    RASSF2 (Ras Association (RalGDS/AF-6) Domain Family Member 2 (RASSF2))

    Andere Bezeichnung

    RASSF2

    Hintergrund

    Name/Gene ID: RASSF2

    Synonyms: RASSF2, CENP-34, KIAA0168, RASFADIN, Centromere protein 34

    Gen-ID

    9770

    NCBI Accession

    NP_055552, NP_739580

    UniProt

    P50749
Sie sind hier:
Chat with us!