DNAJB1 Antikörper
Kurzübersicht für DNAJB1 Antikörper (ABIN462383)
Target
Alle DNAJB1 Antikörper anzeigenReaktivität
Wirt
Klonalität
Konjugat
Applikation
-
-
Spezifität
- MUNC-18a Antibody detects endogenous levels of total MUNC-18a protein.
-
Aufreinigung
- Protein A purified
-
Immunogen
-
Recombinant human HSP40.
Type of Immunogen: Recombinant protein
-
-
-
-
Applikationshinweise
-
Approved: IHC, IHC-P (10 μg/mL), IP, WB (1:10000)
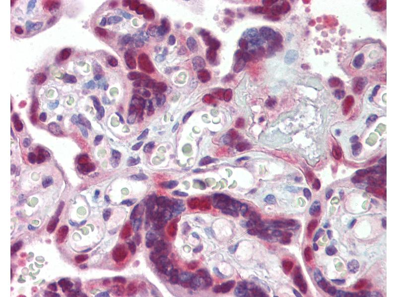
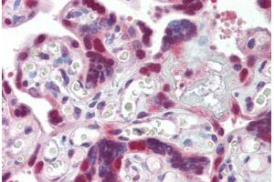
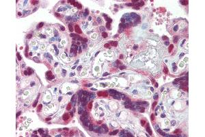
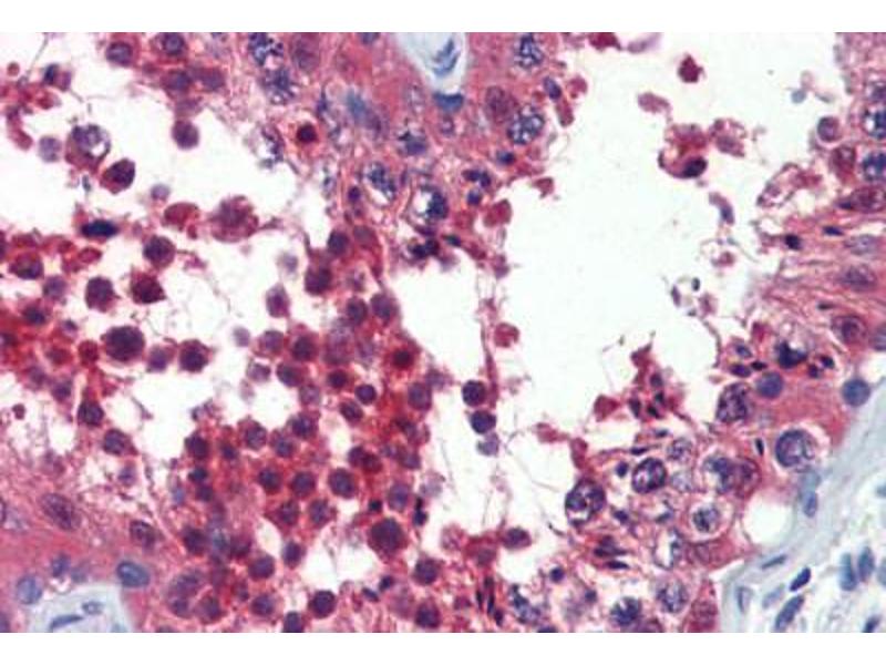
Usage: Immunohistochemistry: This antibody was validated for use in immunohistochemistry on a panel of 21 formalin-fixed, paraffin-embedded (FFPE) human tissues after heat induced antigen retrieval in pH 6.0 citrate buffer. After incubation with the primary antibody, slides were incubated with biotinylated secondary antibody, followed by alkaline phosphatase-streptavidin and chromogen. The stained slides were evaluated by a pathologist to confirm staining specificity. The optimal working concentration for this antibody was determined to be 10 μg/mL -
Kommentare
-
Target Species of Antibody: Human
-
Beschränkungen
- Nur für Forschungszwecke einsetzbar
-
-
-
Format
- Liquid
-
Konzentration
- Lot specific
-
Buffer
- PBS, 0.09 % azide, 50 % glycerol
-
Konservierungsmittel
- Sodium azide
-
Vorsichtsmaßnahmen
- This product contains Sodium azide: a POISONOUS AND HAZARDOUS SUBSTANCE which should be handled by trained staff only.
-
Lagerung
- -20 °C
-
Informationen zur Lagerung
- Store at -20°C.
-
-
- DNAJB1 (DnaJ (Hsp40) Homolog, Subfamily B, Member 1 (DNAJB1))
-
Andere Bezeichnung
- HSP40
Target
-