AKT1/2 Antikörper
Kurzübersicht für AKT1/2 Antikörper (ABIN462374)
Target
Reaktivität
Wirt
Klonalität
Konjugat
Applikation
-
-
Aufreinigung
- Protein A purified
-
Immunogen
-
Synthetic peptide derived from the sequence of human Akt, conjugated to KLH, sequence identical with rat and bovine.
Type of Immunogen: Synthetic peptide - KLH conjugated
-
-
-
-
Applikationshinweise
-
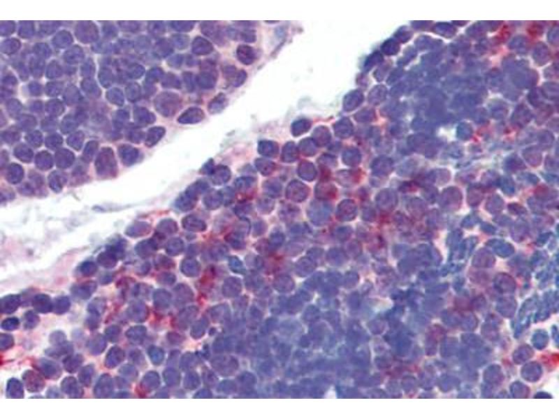
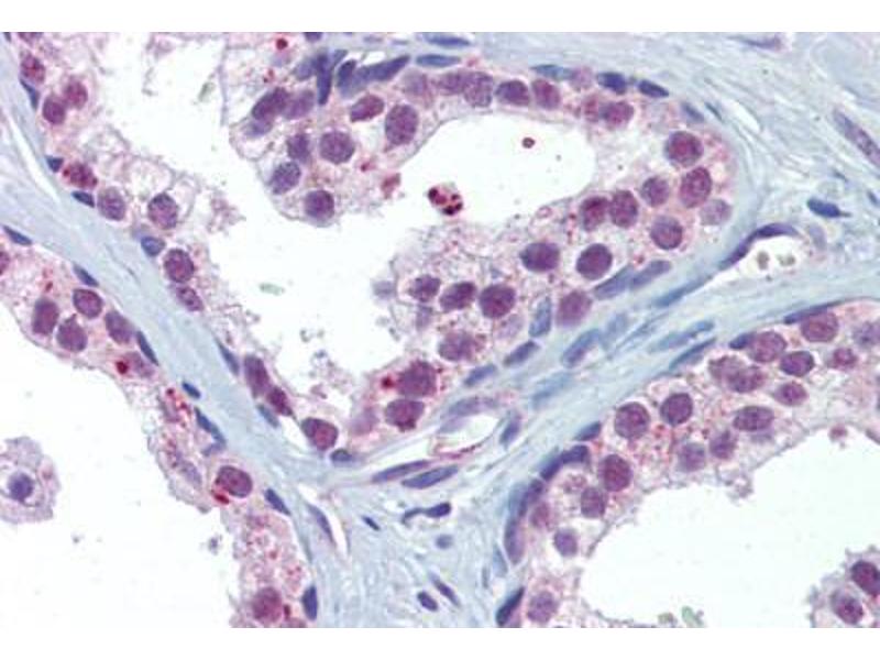
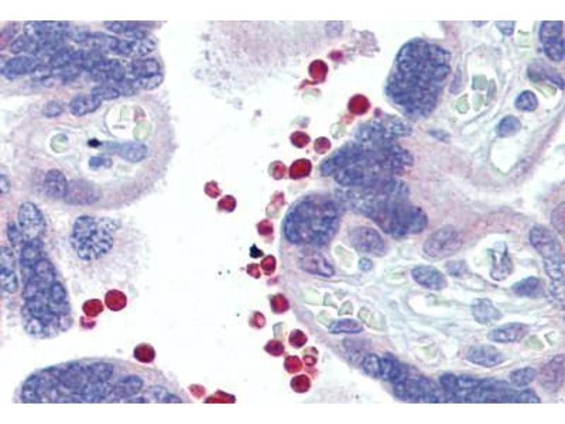
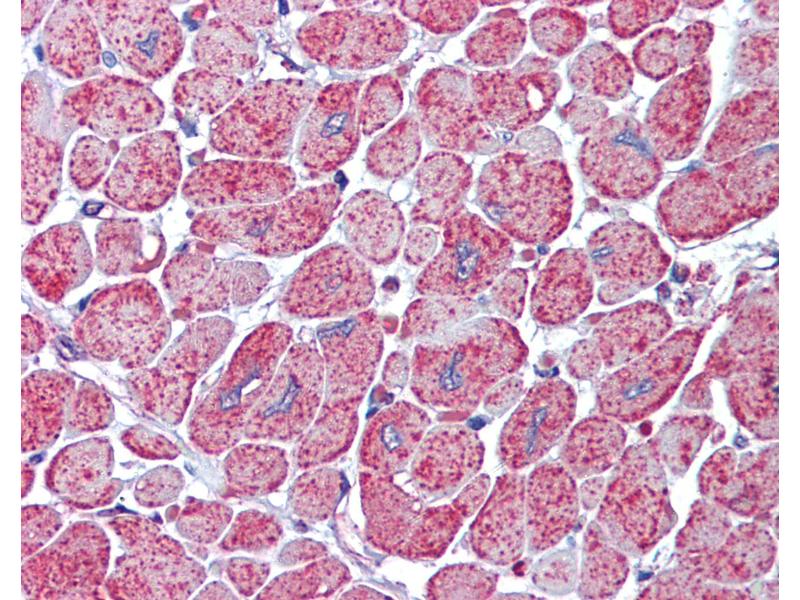
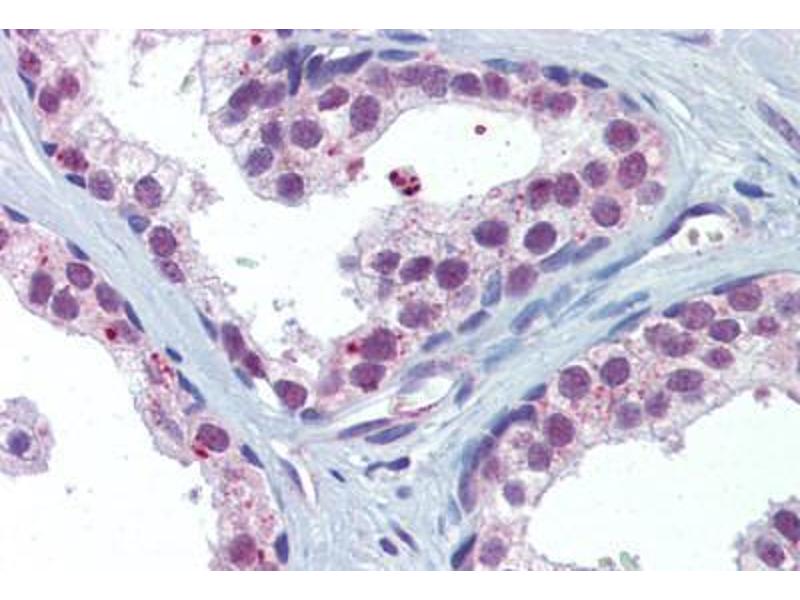
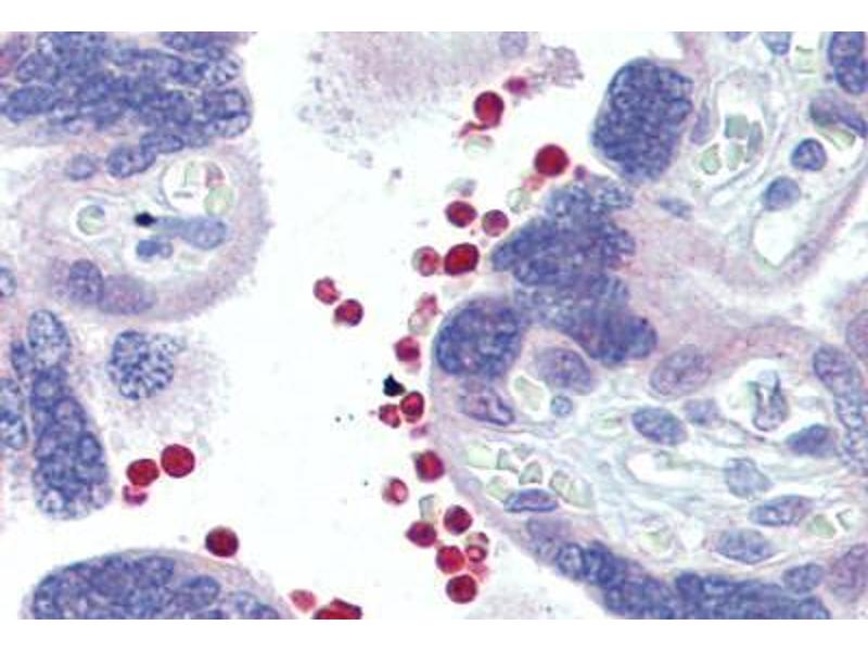
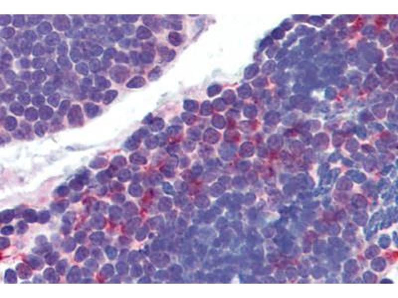
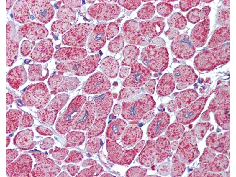
Approved: IHC, IHC-P (10 μg/mL), IP, WB (1:1000)
Usage: Immunohistochemistry: This antibody was validated for use in immunohistochemistry on a panel of 21 formalin-fixed, paraffin-embedded (FFPE) human tissues after heat induced antigen retrieval in pH 6.0 citrate buffer. After incubation with the primary antibody, slides were incubated with biotinylated secondary antibody, followed by alkaline phosphatase-streptavidin and chromogen. The stained slides were evaluated by a pathologist to confirm staining specificity. The optimal working concentration for this antibody was determined to be 10 μg/mL -
Kommentare
-
Target Species of Antibody: Human
-
Beschränkungen
- Nur für Forschungszwecke einsetzbar
-
-
-
Format
- Liquid
-
Konzentration
- Lot specific
-
Buffer
- PBS, 0.09 % azide, 50 % glycerol
-
Konservierungsmittel
- Sodium azide
-
Vorsichtsmaßnahmen
- This product contains Sodium azide: a POISONOUS AND HAZARDOUS SUBSTANCE which should be handled by trained staff only.
-
Lagerung
- -20 °C
-
Informationen zur Lagerung
- Store at -20°C.
-
-
- AKT1/2 (V-Akt Murine Thymoma Viral Oncogene Homolog 1/2 (AKT1/2))
-
Andere Bezeichnung
- AKT1 + AKT2
-
Hintergrund
-
Name/Gene ID: AKT1/AKT2
Synonyms: AKT1/AKT2
This antibody detects: AKT1 + AKT2
Target
-