HMOX1 Antikörper
Kurzübersicht für HMOX1 Antikörper (ABIN462109)
Target
Alle HMOX1 Antikörper anzeigenReaktivität
Wirt
Klonalität
Konjugat
Applikation
-
-
Aufreinigung
- Protein A purified
-
Immunogen
-
Synthetic peptide derived from sequence near the amino-terminus of human HO-1 (Hsp32).
Type of Immunogen: Synthetic peptide
-
-
-
-
Applikationshinweise
-
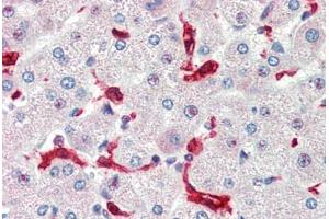
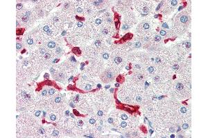
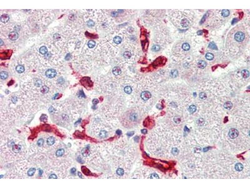
Approved: IHC, IHC-P (10 μg/mL), IP (1:100), WB (1:1000)
Usage: Immunohistochemistry: This antibody was validated for use in immunohistochemistry on a panel of 21 formalin-fixed, paraffin-embedded (FFPE) human tissues after heat induced antigen retrieval in pH 6.0 citrate buffer. After incubation with the primary antibody, slides were incubated with biotinylated secondary antibody, followed by alkaline phosphatase-streptavidin and chromogen. The stained slides were evaluated by a pathologist to confirm staining specificity. The optimal working concentration for this antibody was determined to be 10 μg/mL. -
Kommentare
-
Target Species of Antibody: Human
-
Beschränkungen
- Nur für Forschungszwecke einsetzbar
-
-
-
Format
- Liquid
-
Konzentration
- Lot specific
-
Buffer
- PBS, 0.09 % azide, 50 % glycerol
-
Konservierungsmittel
- Sodium azide
-
Vorsichtsmaßnahmen
- This product contains Sodium azide: a POISONOUS AND HAZARDOUS SUBSTANCE which should be handled by trained staff only.
-
Handhabung
- Aliquot to Avoid freeze/thaw cycles.
-
Lagerung
- -20 °C
-
Informationen zur Lagerung
- Store at -20°C. Aliquot to avoid freeze/thaw cycles.
-
-
- HMOX1 (Heme Oxygenase (Decycling) 1 (HMOX1))
-
Andere Bezeichnung
- HMOX1 / HO-1
-
Hintergrund
-
Name/Gene ID: HMOX1
Synonyms: HMOX1, BK286B10, HO-1, HSP32, Heat shock protein, 32-kD, Heme oxygenase (decycling) 1, Heme oxygenase 1, HO1 -
Gen-ID
- 3162
-
UniProt
- P09601
-
Pathways
- Transition Metal Ion Homeostasis, Regulation of Leukocyte Mediated Immunity, Positive Regulation of Immune Effector Process, Production of Molecular Mediator of Immune Response, SARS-CoV-2 Protein Interaktom
Target
-