Telefon:
+49 (0)241 95 163 153
Fax:
+49 (0)241 95 163 155
E-Mail:
orders@antikoerper-online.de

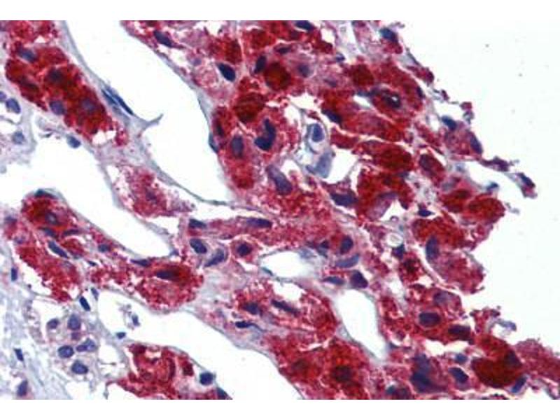
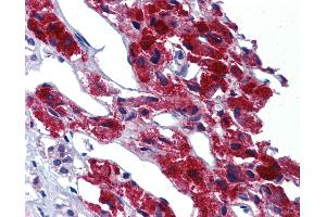
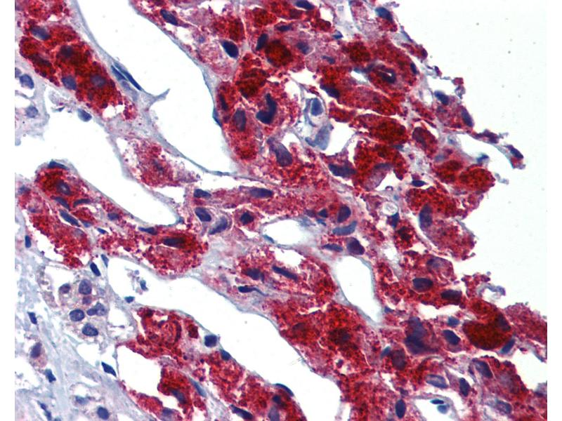
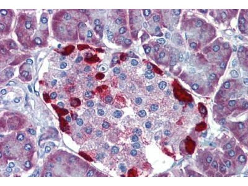
LRRN4 Antikörper (N-Term)

Dieser Kaninchen Polyklonal Antikörper detektiert spezifisch LRRN4 in IHC und IHC (p). Es zeigt Reaktivität gegenüber Proben von Human.
Produktnummer ABIN461707
534,81 €
Zzgl. Versandkosten 20,00 € und MwSt
50 μg
Lieferung nach: Deutschland
Lieferung in 15 bis 20 Werktagen

Kurzübersicht für LRRN4 Antikörper (N-Term) (ABIN461707)

Target

Alle LRRN4 Antikörper anzeigen
LRRN4 (Leucine Rich Repeat Neuronal 4 (LRRN4))

Reaktivität

  • 14
  • 2
  • 1
Human

Wirt

  • 15
  • 1
Kaninchen

Klonalität

  • 16
Polyklonal

Konjugat

  • 11
  • 1
  • 1
  • 1
  • 1
  • 1
Dieser LRRN4 Antikörper ist unkonjugiert

Applikation

  • 12
  • 11
  • 10
  • 3
  • 1
  • 1
  • 1
Immunohistochemistry (IHC), Immunohistochemistry (Paraffin-embedded Sections) (IHC (p))
  • Bindungsspezifität

    • 8
    • 5
    • 1
    • 1
    • 1
    • 1
    N-Term

    Spezifität

    Human LRRN4 / C20orf75. BLAST analysis of the peptide immunogen showed no homology with other human proteins, except SH2B1 (44 % ).

    Homologie

    Percent identity with other species by BLAST analysis: Human, Chimpanzee, Gorilla, Orangutan (100%) Marmoset (94%).

    Aufreinigung

    Immunoaffinity purified

    Immunogen

    Synthetic 16 amino acid peptide from N-Terminus of human LRRN4 / C20orf75. Percent identity with other species by BLAST analysis: Human, Chimpanzee, Gorilla, Orangutan (100%), Marmoset (94%).

    Type of Immunogen: Synthetic peptide
  • Applikationshinweise

    Approved: IHC, IHC-P (10 μg/mL)

    Usage: Immunohistochemistry with formalin-fixed paraffin-embedded tissues requires pretreatment using HIER with citrate buffer.

    Kommentare

    Target Species of Antibody: Human

    Beschränkungen

    Nur für Forschungszwecke einsetzbar
  • Format

    Liquid

    Konzentration

    Lot specific

    Buffer

    PBS, less than 0.1 % sodium azide.

    Konservierungsmittel

    Sodium azide

    Vorsichtsmaßnahmen

    This product contains Sodium azide: a POISONOUS AND HAZARDOUS SUBSTANCE which should be handled by trained staff only.

    Lagerung

    4 °C,-20 °C

    Informationen zur Lagerung

    Aliquot and store undiluted at -20°C or below for up to 1 year. Can be stored undiluted at 4°C for up to 1 month. Avoid freeze-thaw cycles.

    Haltbarkeit

    12 months
  • Target

    LRRN4 (Leucine Rich Repeat Neuronal 4 (LRRN4))

    Andere Bezeichnung

    LRRN4 / C20orf75

    Hintergrund

    Name/Gene ID: LRRN4

    Synonyms: LRRN4, DJ1056H1.1, Leucine rich repeat neuronal 4, NLRR4, C20orf75, NLRR-4

    Gen-ID

    164312
Sie sind hier:
Chat with us!