Telefon:
+49 (0)241 95 163 153
Fax:
+49 (0)241 95 163 155
E-Mail:
orders@antikoerper-online.de

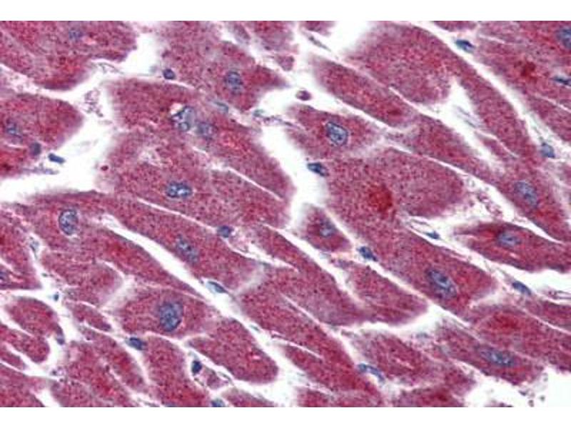
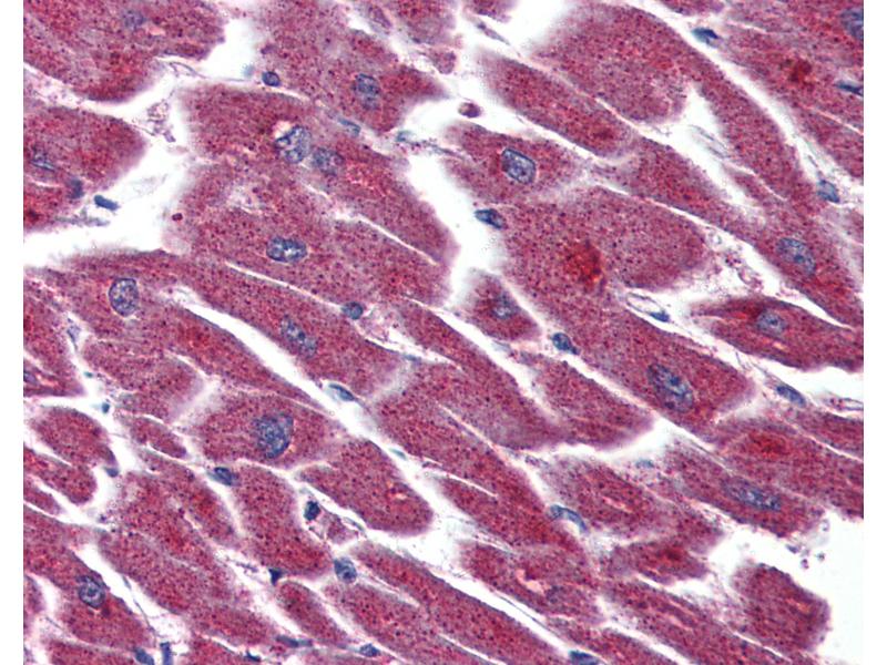
LPAR3 Antikörper (Internal Region)

Der Kaninchen Polyklonal anti-LPAR3 Antikörper (ABIN399993) detektiert spezifisch LPAR3 in ELISA, IHC und IHC (p). Dieser Antikörper reagiert spezifisch mit Proben aus Human und Affe.
Produktnummer ABIN399993
534,81 €
Zzgl. Versandkosten 20,00 € und MwSt
50 μg
Lieferung nach: Deutschland
Lieferung in 15 bis 20 Werktagen

Kurzübersicht für LPAR3 Antikörper (Internal Region) (ABIN399993)

Target

Alle LPAR3 Antikörper anzeigen
LPAR3 (Lysophosphatidic Acid Receptor 3 (LPAR3))

Reaktivität

  • 41
  • 27
  • 10
  • 2
  • 1
  • 1
  • 1
  • 1
  • 1
Human, Affe

Wirt

  • 45
Kaninchen

Klonalität

  • 45
Polyklonal

Konjugat

  • 21
  • 2
  • 2
  • 2
  • 1
  • 1
  • 1
  • 1
  • 1
  • 1
  • 1
  • 1
  • 1
  • 1
  • 1
  • 1
  • 1
  • 1
  • 1
  • 1
  • 1
  • 1
Dieser LPAR3 Antikörper ist unkonjugiert

Applikation

  • 17
  • 16
  • 15
  • 13
  • 13
  • 9
  • 8
  • 5
  • 3
  • 3
  • 1
  • 1
ELISA, Immunohistochemistry (IHC), Immunohistochemistry (Paraffin-embedded Sections) (IHC (p))
  • Bindungsspezifität

    • 16
    • 4
    • 2
    • 1
    • 1
    • 1
    • 1
    • 1
    • 1
    • 1
    • 1
    • 1
    • 1
    • 1
    • 1
    • 1
    • 1
    Internal Region

    Spezifität

    Human EDG7. BLAST analysis of the peptide immunogen showed no homology with other human proteins.

    Homologie

    Percent identity with other species by BLAST analysis: Human, Gorilla, Gibbon, Monkey (100%) Panda, Dog, Bat, Elephant (94%) Mouse, Rat, Horse, Hamster (88%) Pig, Bovine (81%).

    Aufreinigung

    Immunoaffinity purified

    Immunogen

    Synthetic 16 amino acid peptide from internal region of human EDG7. Percent identity with other species by BLAST analysis: Human, Gorilla, Gibbon, Monkey (100%), Panda, Dog, Bat, Elephant (94%), Mouse, Rat, Horse, Hamster (88%), Pig, Bovine (81%).

    Type of Immunogen: Synthetic peptide
  • Applikationshinweise

    Approved: ELISA, IHC, IHC-P (5 μg/mL)

    Usage: Immunohistochemistry: This antibody was validated for use in immunohistochemistry on a panel of 21 formalin-fixed, paraffin-embedded (FFPE) human tissues after proteinase K antigen retrieval. After incubation with the primary antibody, slides were incubated with biotinylated secondary antibody, followed by alkaline phosphatase-streptavidin and chromogen. The stained slides were evaluated by a pathologist to confirm staining specificity. The optimal working concentration for this antibody was determined to be 5 μg/mL.

    Kommentare

    Target Species of Antibody: Human

    Beschränkungen

    Nur für Forschungszwecke einsetzbar
  • Format

    Liquid

    Konzentration

    Lot specific

    Buffer

    PBS, less than 0.1 % sodium azide.

    Konservierungsmittel

    Sodium azide

    Vorsichtsmaßnahmen

    This product contains Sodium azide: a POISONOUS AND HAZARDOUS SUBSTANCE which should be handled by trained staff only.

    Lagerung

    4 °C,-20 °C

    Informationen zur Lagerung

    Aliquot and store undiluted at -20°C or below for up to 1 year. Can be stored undiluted at 4°C for up to 1 month. Avoid freeze-thaw cycles.

    Haltbarkeit

    12 months
  • Target

    LPAR3 (Lysophosphatidic Acid Receptor 3 (LPAR3))

    Andere Bezeichnung

    LPAR3 / LPA3 / EDG7

    Hintergrund

    Name/Gene ID: LPAR3
    Subfamily: Lysophospholipid/Lysosphingolipid
    Family: GPCR

    Synonyms: LPAR3, EDG7, Edg-7, LPA receptor 3, HOFNH30, LPA3, RP4-678I3, LP-A3, LPA receptor EDG7, LPA-3

    Gen-ID

    23566

    Pathways

    Regulation of Cell Size
Sie sind hier:
Chat with us!