Telefon:
+49 (0)241 95 163 153
Fax:
+49 (0)241 95 163 155
E-Mail:
orders@antikoerper-online.de

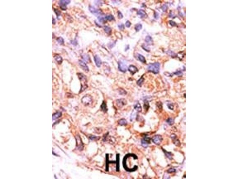
PPM1F Antikörper (C-Term)

Dieser Kaninchen Polyklonal Antikörper detektiert spezifisch PPM1F in WB und IHC (p). Es zeigt Reaktivität gegenüber Proben von Human.
Produktnummer ABIN392884
434,77 €
Zzgl. Versandkosten 20,00 € und MwSt
Lieferung nach: Deutschland
Lieferung in 14 bis 17 Werktagen

Kurzübersicht für PPM1F Antikörper (C-Term) (ABIN392884)

Target

Alle PPM1F Antikörper anzeigen
PPM1F (Protein Phosphatase 1F (PP2C Domain Containing) (PPM1F))

Reaktivität

  • 52
  • 3
  • 1
Human

Wirt

  • 44
  • 8
Kaninchen

Klonalität

  • 47
  • 5
Polyklonal

Konjugat

  • 28
  • 5
  • 3
  • 3
  • 3
  • 3
  • 1
  • 1
  • 1
  • 1
  • 1
  • 1
  • 1
Dieser PPM1F Antikörper ist unkonjugiert

Applikation

  • 37
  • 27
  • 21
  • 11
  • 8
  • 5
  • 4
  • 4
  • 2
  • 1
  • 1
  • 1
  • 1
  • 1
Western Blotting (WB), Immunohistochemistry (Paraffin-embedded Sections) (IHC (p))

Klon

RB5987
Sie sind hier:
Chat with us!