Telefon:
+49 (0)241 95 163 153
Fax:
+49 (0)241 95 163 155
E-Mail:
orders@antikoerper-online.de

PKN beta Antikörper (C-Term)

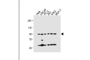
Der Kaninchen Polyklonal anti-PKN beta Antikörper wird verwendet zum Nachweis von PKN beta in Proben von Human. Er wurde validiert für WB und IHC (p).
Produktnummer ABIN392444
434,77 €
Zzgl. Versandkosten 20,00 € und MwSt
Lieferung nach: Deutschland
Lieferung in 14 bis 17 Werktagen

Kurzübersicht für PKN beta Antikörper (C-Term) (ABIN392444)

Target

PKN beta

Reaktivität

Human

Wirt

  • 1
Kaninchen

Klonalität

  • 1
Polyklonal

Konjugat

  • 1
Dieser PKN beta Antikörper ist unkonjugiert

Applikation

Western Blotting (WB), Immunohistochemistry (Paraffin-embedded Sections) (IHC (p))

Klon

RB1043
  • Bindungsspezifität

    AA 463-492, C-Term

    Aufreinigung

    This antibody is prepared by Saturated Ammonium Sulfate (SAS) precipitation followed by dialysis against PBS.

    Immunogen

    This PKN beta antibody is generated from rabbits immunized with a KLH conjugated synthetic peptide between 463-492 amino acids from the C-terminal region of human PKN beta.

    Isotyp

    Ig Fraction
  • Applikationshinweise

    WB: 1:500. IHC-P: 1:10~50

    Beschränkungen

    Nur für Forschungszwecke einsetzbar
  • Format

    Liquid

    Buffer

    Purified polyclonal antibody supplied in PBS with 0.09 % (W/V) sodium azide.

    Konservierungsmittel

    Sodium azide

    Vorsichtsmaßnahmen

    This product contains Sodium azide: a POISONOUS AND HAZARDOUS SUBSTANCE which should be handled by trained staff only.

    Lagerung

    4 °C,-20 °C

    Informationen zur Lagerung

    Maintain refrigerated at 2-8 °C for up to 6 months. For long term storage store at -20 °C in small aliquots to prevent freeze-thaw cycles.

    Haltbarkeit

    6 months
  • Target

    PKN beta

    Hintergrund

    PKN3, a protein kinase C-related molecule, mediates malignant cell growth downstream of activated PI3K. PKN3 is required for invasive prostate cell growth as assessed by 3D cell culture assays and in an orthotopic mouse tumor model by inducible expression of short hairpin RNA (shRNA). PKN3 is regulated by PI3K at both the expression level and the catalytic activity level. Therefore, PKN3 might represent a preferred target for therapeutic intervention in cancers that lack tumor suppressor PTEN function or depend on chronic activation of PI3K.

    Molekulargewicht

    99421

    Gen-ID

    29941

    NCBI Accession

    NP_037487

    UniProt

    Q6P5Z2
Sie sind hier:
Chat with us!