Telefon:
+49 (0)241 95 163 153
Fax:
+49 (0)241 95 163 155
E-Mail:
orders@antikoerper-online.de

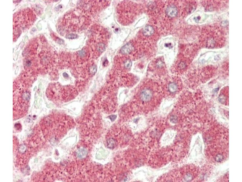
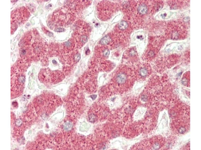
MT-ND5 Antikörper (C-Term)

Der Kaninchen Polyklonal anti-MT-ND5 Antikörper wird verwendet zum Nachweis von MT-ND5 in Proben von Human. Er wurde validiert für WB, FACS und IHC (p).
Produktnummer ABIN390926
434,77 €
Zzgl. Versandkosten 20,00 € und MwSt
Lieferung nach: Deutschland
Lieferung in 14 bis 17 Werktagen

Kurzübersicht für MT-ND5 Antikörper (C-Term) (ABIN390926)

Target

Alle MT-ND5 Antikörper anzeigen
MT-ND5 (Mitochondrially Encoded NADH Dehydrogenase 5 (MT-ND5))

Reaktivität

  • 48
  • 26
  • 6
  • 1
  • 1
  • 1
  • 1
  • 1
  • 1
Human

Wirt

  • 55
Kaninchen

Klonalität

  • 55
Polyklonal

Konjugat

  • 22
  • 6
  • 4
  • 3
  • 2
  • 1
  • 1
  • 1
  • 1
  • 1
  • 1
  • 1
  • 1
  • 1
  • 1
  • 1
  • 1
  • 1
  • 1
  • 1
  • 1
  • 1
  • 1
Dieser MT-ND5 Antikörper ist unkonjugiert

Applikation

  • 45
  • 19
  • 13
  • 13
  • 12
  • 4
  • 3
  • 3
  • 3
  • 2
  • 2
  • 1
  • 1
Western Blotting (WB), Flow Cytometry (FACS), Immunohistochemistry (Paraffin-embedded Sections) (IHC (p))

Klon

RB21888
  • Bindungsspezifität

    • 15
    • 6
    • 5
    • 4
    • 2
    • 1
    • 1
    • 1
    • 1
    • 1
    • 1
    • 1
    • 1
    • 1
    • 1
    AA 544-570, C-Term

    Aufreinigung

    This antibody is purified through a protein A column, followed by peptide affinity purification.

    Immunogen

    This ND5 antibody is generated from rabbits immunized with a KLH conjugated synthetic peptide between 544-570 amino acids from the C-terminal region of human ND5.

    Isotyp

    Ig Fraction
  • Applikationshinweise

    WB: 1:1000. IHC-P: 1:50~100. IHC-P: 1:100. FC: 1:10~50

    Beschränkungen

    Nur für Forschungszwecke einsetzbar
  • Format

    Liquid

    Buffer

    Purified polyclonal antibody supplied in PBS with 0.09 % (W/V) sodium azide.

    Konservierungsmittel

    Sodium azide

    Vorsichtsmaßnahmen

    This product contains Sodium azide: a POISONOUS AND HAZARDOUS SUBSTANCE which should be handled by trained staff only.

    Lagerung

    4 °C,-20 °C

    Informationen zur Lagerung

    Maintain refrigerated at 2-8 °C for up to 6 months. For long term storage store at -20 °C in small aliquots to prevent freeze-thaw cycles.

    Haltbarkeit

    6 months
  • Target

    MT-ND5 (Mitochondrially Encoded NADH Dehydrogenase 5 (MT-ND5))

    Andere Bezeichnung

    ND5

    Hintergrund

    Core subunit of the mitochondrial membrane respiratory chain NADH dehydrogenase (Complex I) that is believed to belong to the minimal assembly required for catalysis. Complex I functions in the transfer of electrons from NADH to the respiratory chain. The immediate electron acceptor for the enzyme is believed to be ubiquinone.

    Molekulargewicht

    67027

    Gen-ID

    4540

    UniProt

    P03915
Sie sind hier:
Chat with us!