Telefon:
+49 (0)241 95 163 153
Fax:
+49 (0)241 95 163 155
E-Mail:
orders@antikoerper-online.de

KRT8 Antikörper (HRP)

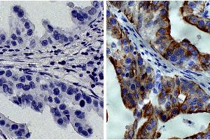
Der Maus Monoklonal anti-KRT8 Antikörper wird verwendet zum Nachweis von KRT8. Er wurde validiert für WB, IHC, ELISA und ICC.
Produktnummer ABIN376343
543,17 €
Zzgl. Versandkosten 20,00 € und MwSt
1 mL
Lieferung nach: Deutschland
Lieferung in 7 bis 10 Werktagen

Kurzübersicht für KRT8 Antikörper (HRP) (ABIN376343)

Target

Alle KRT8 Antikörper anzeigen
KRT8 (Keratin 8 (KRT8))

Wirt

  • 168
  • 160
  • 3
Maus

Klonalität

  • 189
  • 139
  • 1
Monoklonal

Konjugat

  • 174
  • 26
  • 17
  • 8
  • 7
  • 7
  • 7
  • 7
  • 7
  • 7
  • 7
  • 3
  • 3
  • 3
  • 3
  • 3
  • 3
  • 3
  • 3
  • 3
  • 3
  • 3
  • 3
  • 2
  • 2
  • 2
  • 2
  • 2
  • 2
  • 2
  • 2
  • 2
  • 1
  • 1
  • 1
Dieser KRT8 Antikörper ist konjugiert mit HRP

Applikation

  • 233
  • 163
  • 130
  • 102
  • 72
  • 51
  • 47
  • 41
  • 41
  • 39
  • 35
  • 30
  • 23
  • 5
  • 4
  • 4
  • 2
  • 2
  • 2
  • 2
  • 1
  • 1
Western Blotting (WB), Immunohistochemistry (IHC), ELISA, Immunocytochemistry (ICC)

Klon

SB37b
  • Isotyp

    IgG2a
  • Applikationshinweise

    Each laboratory should determine an optimum working titer for use in its particular application. Other applications have not been tested but use in such assays should not necessarily be excluded.

    Probenmenge

    1 mL

    Beschränkungen

    Nur für Forschungszwecke einsetzbar
  • Format

    Liquid

    Handhabung

    Protect conjugated products from light.
    Each reagent is stable for the period shown on the bottle label if stored as directed.

    Lagerung

    4 °C
  • Target

    KRT8 (Keratin 8 (KRT8))

    Andere Bezeichnung

    Cytokeratin 8
Sie sind hier:
Chat with us!