Telefon:
+49 (0)241 95 163 153
Fax:
+49 (0)241 95 163 155
E-Mail:
orders@antikoerper-online.de

Dynamin 1-Like Antikörper (Internal Region)

Der Kaninchen Polyklonal anti-Dynamin 1-Like Antikörper (ABIN363576) detektiert spezifisch Dynamin 1-Like in WB, IHC, IF, ICC und IP. Dieser Antikörper reagiert spezifisch mit Proben aus Human, Maus, Ratte, Affe, Rind (Kuh) und Fisch.
Produktnummer ABIN363576
600,00 €
Zzgl. Versandkosten 20,00 € und MwSt
0.1 mL
Lieferung nach: Deutschland
Lieferung in 3 bis 4 Werktagen

Kurzübersicht für Dynamin 1-Like Antikörper (Internal Region) (ABIN363576)

Target

Alle Dynamin 1-Like (DNM1L) Antikörper anzeigen
Dynamin 1-Like (DNM1L)

Reaktivität

  • 72
  • 58
  • 42
  • 4
  • 4
  • 3
  • 3
  • 2
  • 2
  • 2
  • 1
  • 1
  • 1
  • 1
  • 1
  • 1
Human, Maus, Ratte, Affe, Rind (Kuh), Fisch

Wirt

  • 75
  • 15
Kaninchen

Klonalität

  • 65
  • 25
Polyklonal

Konjugat

  • 44
  • 6
  • 5
  • 3
  • 3
  • 3
  • 3
  • 3
  • 3
  • 2
  • 1
  • 1
  • 1
  • 1
  • 1
  • 1
  • 1
  • 1
  • 1
  • 1
  • 1
  • 1
  • 1
  • 1
  • 1
Dieser Dynamin 1-Like Antikörper ist unkonjugiert

Applikation

  • 55
  • 33
  • 25
  • 22
  • 18
  • 13
  • 13
  • 10
  • 8
  • 4
  • 3
  • 1
Western Blotting (WB), Immunohistochemistry (IHC), Immunofluorescence (IF), Immunocytochemistry (ICC), Immunoprecipitation (IP)
  • Bindungsspezifität

    • 33
    • 13
    • 5
    • 5
    • 4
    • 3
    • 2
    • 2
    • 2
    • 1
    • 1
    • 1
    • 1
    • 1
    • 1
    • 1
    • 1
    • 1
    • 1
    AA 500-600, Internal Region

    Spezifität

    Reacts with human, mous, rat, fish, primate and bovine DVLP

    Aufreinigung

    Antigen affinity purified

    Immunogen

    Synthetic peptide derived from internal domain of the human DRP1 protein (within residues 500-600).
  • Applikationshinweise

    Working dilution: Optimal dilution should be determined by the end user.
    The following are guidelines only :
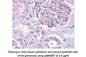
    IHC(2.5 μg/mL) WB(1:500) ICC/IF(1:500)

    Beschränkungen

    Nur für Forschungszwecke einsetzbar
  • Format

    Liquid

    Konzentration

    1 mg/mL

    Buffer

    Tris-glycine, NaCl 150 mM buffer, Sodium azide 0.5 %

    Konservierungsmittel

    Sodium azide

    Vorsichtsmaßnahmen

    This product contains Sodium azide: a POISONOUS AND HAZARDOUS SUBSTANCE which should be handled by trained staff only.

    Lagerung

    -20 °C/-80 °C

    Informationen zur Lagerung

    Aliquot and store at -20°C or -80°C. Avoid freeze-thaw cycles.
  • Target

    Dynamin 1-Like (DNM1L)

    Andere Bezeichnung

    Dynamin-1-Like Protein
Sie sind hier:
Chat with us!