Telefon:
+49 (0)241 95 163 153
Fax:
+49 (0)241 95 163 155
E-Mail:
orders@antikoerper-online.de

TNIK Antikörper (N-Term)

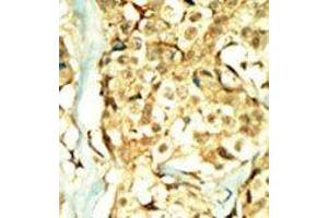
Der Kaninchen Polyklonal anti-TNIK Antikörper (ABIN360387) detektiert spezifisch TNIK in WB, IHC (p) und EIA. Dieser Antikörper reagiert spezifisch mit Proben aus Human und Maus.
Produktnummer ABIN360387
870,77 €
Zzgl. Versandkosten 20,00 € und MwSt
0.4 mL
Lieferung nach: Deutschland
Lieferung in 16 Werktagen

Kurzübersicht für TNIK Antikörper (N-Term) (ABIN360387)

Target

Alle TNIK Antikörper anzeigen
TNIK (TRAF2 and NCK Interacting Kinase (TNIK))

Reaktivität

  • 63
  • 56
  • 39
  • 5
  • 5
  • 5
  • 4
  • 3
  • 3
  • 2
  • 1
  • 1
  • 1
  • 1
  • 1
Human, Maus

Wirt

  • 90
  • 4
Kaninchen

Klonalität

  • 90
  • 4
Polyklonal

Konjugat

  • 41
  • 7
  • 6
  • 6
  • 3
  • 3
  • 2
  • 2
  • 2
  • 2
  • 2
  • 2
  • 2
  • 2
  • 2
  • 2
  • 2
  • 1
  • 1
  • 1
  • 1
  • 1
  • 1
Dieser TNIK Antikörper ist unkonjugiert

Applikation

  • 38
  • 35
  • 27
  • 27
  • 20
  • 16
  • 7
  • 5
  • 5
  • 3
  • 2
  • 2
  • 1
  • 1
  • 1
  • 1
  • 1
Western Blotting (WB), Immunohistochemistry (Paraffin-embedded Sections) (IHC (p)), Enzyme Immunoassay (EIA)
  • Bindungsspezifität

    • 24
    • 15
    • 8
    • 6
    • 5
    • 4
    • 4
    • 3
    • 3
    • 2
    • 2
    • 2
    • 2
    • 1
    • 1
    • 1
    • 1
    • 1
    • 1
    N-Term

    Spezifität

    This antibody reacts to TNIK.

    Aufreinigung

    Protein G column, eluted with high and low pH buffers and neutralized immediately, followed by dialysis against PBS

    Immunogen

    This antibody is generated from rabbits immunized with a KLH conjugated synthetic peptide selected from the N-terminal region of human TNIK.

    Isotyp

    Ig Fraction
  • Applikationshinweise

    ELISA: 1/1,000. Western blotting: 1/100 - 1/500. Immunohistochemistry: 1/50 - 1/100.
    Other applications not tested.
    Optimal dilutions are dependent on conditions and should be determined by the user.

    Beschränkungen

    Nur für Forschungszwecke einsetzbar
  • Format

    Liquid

    Konzentration

    0.25 mg/mL

    Buffer

    PBS with 0.09 % (W/V) sodium azide

    Konservierungsmittel

    Sodium azide

    Vorsichtsmaßnahmen

    This product contains sodium azide: a POISONOUS AND HAZARDOUS SUBSTANCE which should be handled by trained staff only.

    Handhabung

    Avoid repeated freezing and thawing.

    Lagerung

    4 °C/-20 °C

    Informationen zur Lagerung

    Store the antibody undiluted at 2-8 °C for one month or (in aliquots) at-20 °C for longer.
  • Target

    TNIK (TRAF2 and NCK Interacting Kinase (TNIK))

    Andere Bezeichnung

    TNIK

    Hintergrund

    Germinal center kinases (GCKs), such as TNIK, are characterized by an N-terminal kinase domain and a C-terminal GCK domain that serves a regulatory function.Synonyms: KIAA0551, TRAF2 and NCK-interacting protein kinase

    Gen-ID

    23043, 9606

    UniProt

    Q9UKE5
Sie sind hier:
Chat with us!