Telefon:
+49 (0)241 95 163 153
Fax:
+49 (0)241 95 163 155
E-Mail:
orders@antikoerper-online.de

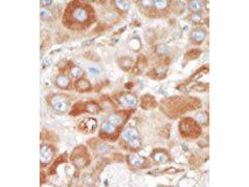
SRPK2 Antikörper (C-Term)

Der Kaninchen Polyklonal anti-SRPK2 Antikörper wird verwendet zum Nachweis von SRPK2 in Proben von Human und Maus. Er wurde validiert für WB, IHC (p) und EIA.
Produktnummer ABIN359708
870,77 €
Zzgl. Versandkosten 20,00 € und MwSt
0.4 mL
Lieferung nach: Deutschland
Lieferung in 16 Werktagen

Kurzübersicht für SRPK2 Antikörper (C-Term) (ABIN359708)

Target

Alle SRPK2 Antikörper anzeigen
SRPK2 (SFRS Protein Kinase 2 (SRPK2))

Reaktivität

  • 42
  • 27
  • 3
  • 2
  • 1
  • 1
  • 1
  • 1
Human, Maus

Wirt

  • 38
  • 4
Kaninchen

Klonalität

  • 40
  • 2
Polyklonal

Konjugat

  • 20
  • 3
  • 3
  • 3
  • 1
  • 1
  • 1
  • 1
  • 1
  • 1
  • 1
  • 1
  • 1
  • 1
  • 1
  • 1
  • 1
Dieser SRPK2 Antikörper ist unkonjugiert

Applikation

  • 23
  • 16
  • 15
  • 13
  • 13
  • 6
  • 5
  • 4
  • 3
  • 2
  • 1
  • 1
Western Blotting (WB), Immunohistochemistry (Paraffin-embedded Sections) (IHC (p)), Enzyme Immunoassay (EIA)
  • Bindungsspezifität

    • 15
    • 7
    • 4
    • 3
    • 2
    • 2
    • 1
    • 1
    • 1
    C-Term

    Spezifität

    This antibody reacts to SRPK2.

    Aufreinigung

    Protein G column, eluted with high and low pH buffers and neutralized immediately, followed by dialysis against PBS

    Immunogen

    This antibody is generated from rabbits immunized with a KLH conjugated synthetic peptide selected from the C-terminal region of human SRPK2.

    Isotyp

    Ig Fraction
  • Applikationshinweise

    ELISA: 1/1,000. Western blotting: 1/100 - 1/500. Immunohistochemistry: 1/50 - 1/100.
    Other applications not tested.
    Optimal dilutions are dependent on conditions and should be determined by the user.

    Beschränkungen

    Nur für Forschungszwecke einsetzbar
  • Format

    Liquid

    Konzentration

    0.25 mg/mL

    Buffer

    PBS with 0.09 % (W/V) sodium azide

    Konservierungsmittel

    Sodium azide

    Vorsichtsmaßnahmen

    This product contains sodium azide: a POISONOUS AND HAZARDOUS SUBSTANCE which should be handled by trained staff only.

    Handhabung

    Avoid repeated freezing and thawing.

    Lagerung

    4 °C/-20 °C

    Informationen zur Lagerung

    Store the antibody undiluted at 2-8 °C for one month or (in aliquots) at-20 °C for longer.
  • Target

    SRPK2 (SFRS Protein Kinase 2 (SRPK2))

    Andere Bezeichnung

    SRPK2

    Hintergrund

    Protein kinases are enzymes that transfer a phosphate group from a phosphate donor, generally the g phosphate of ATP, onto an acceptor amino acid in a substrate protein. By this basic mechanism, protein kinases mediate most of the signal transduction in eukaryotic cells, regulating cellular metabolism, transcription, cell cycle progression, cytoskeletal rearrangement and cell movement, apoptosis, and differentiation. With more than 500 gene products, the protein kinase family is one of the largest families of proteins in eukaryotes. The family has been classified in 8 major groups based on sequence comparison of their tyrosine (PTK) or serine/threonine (STK) kinase catalytic domains. The STE group (homologs of yeast Sterile 7, 11, 20 kinases) consists of 50 kinases related to the mitogen-activated protein kinase (MAPK) cascade families (Ste7/MAP2K, Ste11/MAP3K, and Ste20/MAP4K). MAP kinase cascades, consisting of a MAPK and one or more upstream regulatory kinases (MAPKKs) have been best characterized in the yeast pheromone response pathway. Pheromones bind to Ste cell surface receptors and activate yeast MAPK pathway.Synonyms: SFRS protein kinase 2, Serine/threonine-protein kinase SRPK2

    Gen-ID

    6733, 9606

    UniProt

    P78362

    Pathways

    Ribonucleoprotein Complex Subunit Organization
Sie sind hier:
Chat with us!