Telefon:
+49 (0)241 95 163 153
Fax:
+49 (0)241 95 163 155
E-Mail:
orders@antikoerper-online.de

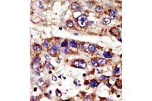
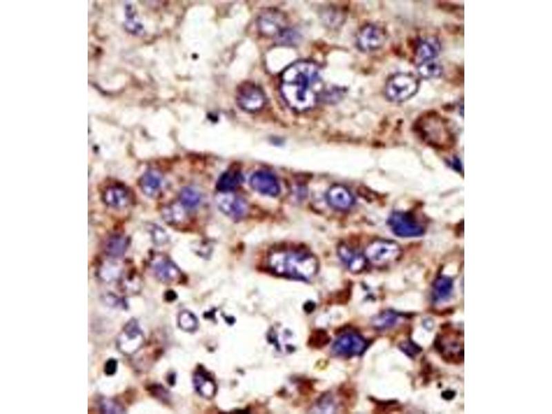
ZMPSTE24 Antikörper (C-Term)

Der Kaninchen Polyklonal anti-ZMPSTE24 Antikörper (ABIN357708) detektiert spezifisch ZMPSTE24 in WB, IHC (p) und EIA. Dieser Antikörper reagiert spezifisch mit Proben aus Human.
Produktnummer ABIN357708
870,77 €
Zzgl. Versandkosten 20,00 € und MwSt
0.4 mL
Lieferung nach: Deutschland
Lieferung in 16 Werktagen

Kurzübersicht für ZMPSTE24 Antikörper (C-Term) (ABIN357708)

Target

Alle ZMPSTE24 (Zmpste24) Antikörper anzeigen
ZMPSTE24 (Zmpste24) (Zinc Metalloproteinase, Ste24 (Zmpste24))

Reaktivität

  • 37
  • 16
  • 9
  • 2
  • 2
  • 2
  • 1
  • 1
  • 1
  • 1
  • 1
Human

Wirt

  • 37
  • 1
Kaninchen

Klonalität

  • 38
Polyklonal

Konjugat

  • 21
  • 7
  • 3
  • 3
  • 3
  • 1
Dieser ZMPSTE24 Antikörper ist unkonjugiert

Applikation

  • 33
  • 27
  • 12
  • 4
  • 2
  • 1
  • 1
Western Blotting (WB), Immunohistochemistry (Paraffin-embedded Sections) (IHC (p)), Enzyme Immunoassay (EIA)
  • Bindungsspezifität

    • 6
    • 6
    • 5
    • 5
    • 4
    • 2
    • 2
    • 1
    • 1
    • 1
    • 1
    • 1
    C-Term

    Spezifität

    This antibody is specific to ZMPSTE24 (C-term). Predicted to cross react with Mouse (100 % Antigen Homology).

    Aufreinigung

    Protein G Chromatography, eluted with high and low pH buffers and neutralized immediately, followed by dialysis against PBS.

    Immunogen

    This antibody is generated from rabbits immunized with a KLH conjugated synthetic peptide selected from the C-terminal region of human ZMPSTE24.

    Isotyp

    Ig Fraction
  • Applikationshinweise

    ELISA: 1/1,000. Western Blot: 1/100-1/500. Immunohistochemistry: 1/50-1/100.
    Other applications not tested.
    Optimal dilutions are dependent on conditions and should be determined by the user.

    Beschränkungen

    Nur für Forschungszwecke einsetzbar
  • Format

    Liquid

    Konzentration

    0.25 mg/mL

    Buffer

    PBS with 0.09 % (W/V) Sodium Azide as preservative.

    Konservierungsmittel

    Sodium azide

    Vorsichtsmaßnahmen

    This product contains sodium azide: a POISONOUS AND HAZARDOUS SUBSTANCE which should be handled by trained staff only.

    Handhabung

    Avoid repeated freezing and thawing.

    Lagerung

    4 °C/-20 °C

    Informationen zur Lagerung

    Store the antibody undiluted at 2-8 °C for one month or (in aliquots) at-20 °C for longer.
  • Target

    ZMPSTE24 (Zmpste24) (Zinc Metalloproteinase, Ste24 (Zmpste24))

    Andere Bezeichnung

    ZMPSTE24

    Hintergrund

    ZMPSTE24 is a zinc metalloprotease similar to yeast Ste24p. It is an integral membrane protein belonging to peptidase family M48 and is found in the endoplasmic reticulum and possibly in the Golgi compartment. It is thought to be involved in the proteolytic processing of farnesylated proteins.Synonyms: CAAX prenyl protease 1 homolog, FACE-1, FACE1, Farnesylated proteins-converting enzyme 1, Prenyl protein-specific endoprotease 1, STE24, Zinc metalloproteinase Ste24 homolog

    Molekulargewicht

    54813 Da

    Gen-ID

    10269, 5874

    UniProt

    O75844
Sie sind hier:
Chat with us!