Telefon:
+49 (0)241 95 163 153
Fax:
+49 (0)241 95 163 155
E-Mail:
orders@antikoerper-online.de

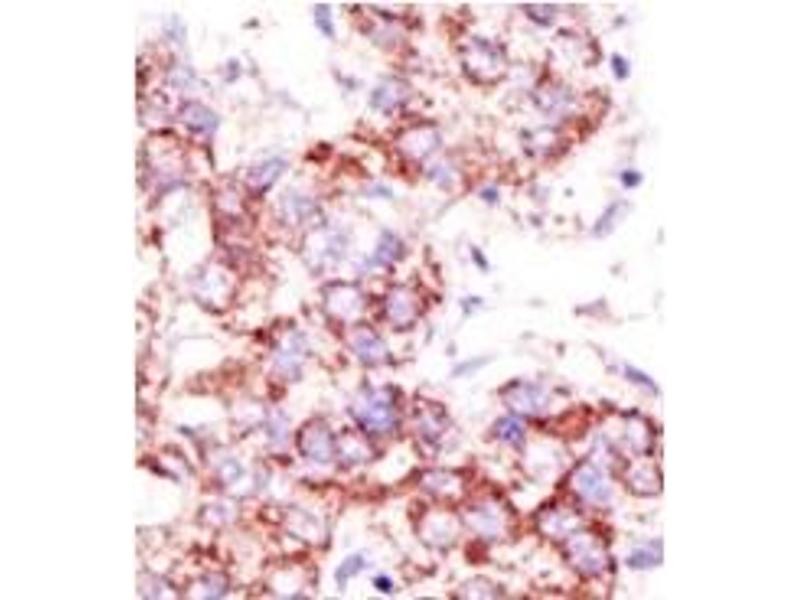
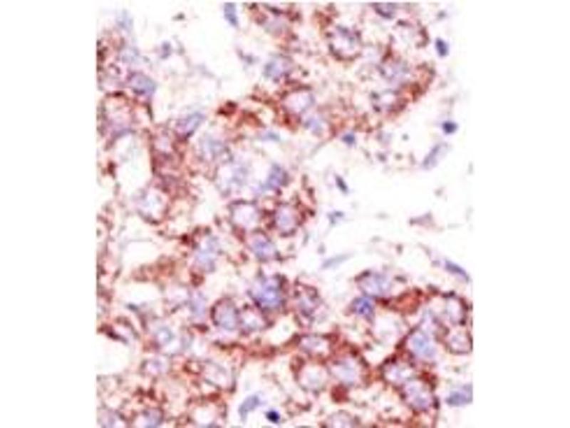
USP4 Antikörper (C-Term)

Dieser Kaninchen Polyklonal Antikörper detektiert spezifisch USP4 in WB, IHC (p) und EIA. Es zeigt Reaktivität gegenüber Proben von Human.
Produktnummer ABIN357526
870,77 €
Zzgl. Versandkosten 20,00 € und MwSt
0.4 mL
Lieferung nach: Deutschland
Lieferung in 16 Werktagen

Kurzübersicht für USP4 Antikörper (C-Term) (ABIN357526)

Target

Alle USP4 Antikörper anzeigen
USP4 (Ubiquitin Specific Peptidase 4 (USP4))

Reaktivität

  • 44
  • 4
  • 3
  • 2
  • 2
  • 2
  • 2
  • 2
  • 1
  • 1
  • 1
Human

Wirt

  • 42
  • 1
  • 1
Kaninchen

Klonalität

  • 43
  • 1
Polyklonal

Konjugat

  • 23
  • 5
  • 5
  • 5
  • 3
  • 3
Dieser USP4 Antikörper ist unkonjugiert

Applikation

  • 29
  • 28
  • 25
  • 6
  • 3
  • 2
  • 1
Western Blotting (WB), Immunohistochemistry (Paraffin-embedded Sections) (IHC (p)), Enzyme Immunoassay (EIA)
  • Bindungsspezifität

    • 10
    • 8
    • 8
    • 8
    • 6
    • 5
    • 1
    • 1
    • 1
    • 1
    • 1
    C-Term

    Spezifität

    This antibody is specific to USP4 (C-term).

    Aufreinigung

    Protein G Chromatography, eluted with high and low pH buffers and neutralized immediately, followed by dialysis against PBS.

    Immunogen

    This antibody is generated from rabbits immunized with a KLH conjugated synthetic peptide selected from the C-terminal region of human USP4.

    Isotyp

    Ig Fraction
  • Applikationshinweise

    ELISA: 1/1,000. Western Blot: 1/100-1/500. Immunohistochemistry: 1/50-1/100.
    Other applications not tested.
    Optimal dilutions are dependent on conditions and should be determined by the user.

    Beschränkungen

    Nur für Forschungszwecke einsetzbar
  • Format

    Liquid

    Konzentration

    0.25 mg/mL

    Buffer

    PBS with 0.09 % (W/V) Sodium Azide as preservative.

    Konservierungsmittel

    Sodium azide

    Vorsichtsmaßnahmen

    This product contains sodium azide: a POISONOUS AND HAZARDOUS SUBSTANCE which should be handled by trained staff only.

    Handhabung

    Avoid repeated freezing and thawing.

    Lagerung

    4 °C/-20 °C

    Informationen zur Lagerung

    Store the antibody undiluted at 2-8 °C for one month or (in aliquots) at-20 °C for longer.
  • Target

    USP4 (Ubiquitin Specific Peptidase 4 (USP4))

    Andere Bezeichnung

    USP4 / UNP

    Hintergrund

    Modification of target proteins by ubiquitin participates in a wide array of biological functions. Proteins destined for degradation or processing via the 26 S proteasome are coupled to multiple copies of ubiquitin. However, attachment of ubiquitin or ubiquitin-related molecules may also result in changes in subcellular distribution or modification of protein activity. An additional level of ubiquitin regulation, deubiquitination, is catalyzed by proteases called deubiquitinating enzymes, which fall into four distinct families. Ubiquitin C-terminal hydrolases, ubiquitin-specific processing proteases (USPs),1 OTU-domain ubiquitin-aldehyde-binding proteins, and Jab1/Pad1/MPN-domain-containing metallo-enzymes. Among these four families, USPs represent the most widespread and represented deubiquitinating enzymes across evolution. USPs tend to release ubiquitin from a conjugated protein. They display similar catalytic domains containing conserved Cys and His boxes but divergent N-terminal and occasionally C-terminal extensions, which are thought to function in substrate recognition, subcellular localization, and protein-protein interactions.Synonyms: Deubiquitinating enzyme 4, UNPH, Ubiquitin carboxyl-terminal hydrolase 4, Ubiquitin thioesterase 4, Ubiquitin-specific-processing protease 4, Ubiquitous nuclear protein homolog

    Molekulargewicht

    108564 Da

    Gen-ID

    7375, 5874

    UniProt

    Q13107
Sie sind hier:
Chat with us!