Telefon:
+49 (0)241 95 163 153
Fax:
+49 (0)241 95 163 155
E-Mail:
orders@antikoerper-online.de

GDF3 Antikörper (N-Term)

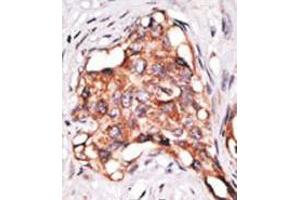
Der Kaninchen Polyklonal anti-GDF3 Antikörper (ABIN357459) detektiert spezifisch GDF3 in WB, IHC (p) und EIA. Dieser Antikörper reagiert spezifisch mit Proben aus Human und Maus.
Produktnummer ABIN357459
870,77 €
Zzgl. Versandkosten 20,00 € und MwSt
0.4 mL
Lieferung nach: Deutschland
Lieferung in 16 Werktagen

Kurzübersicht für GDF3 Antikörper (N-Term) (ABIN357459)

Target

Alle GDF3 Antikörper anzeigen
GDF3 (Growth Differentiation Factor 3 (GDF3))

Reaktivität

  • 47
  • 22
  • 6
Human, Maus

Wirt

  • 40
  • 10
  • 2
  • 1
Kaninchen

Klonalität

  • 41
  • 12
Polyklonal

Konjugat

  • 37
  • 4
  • 2
  • 2
  • 1
  • 1
  • 1
  • 1
  • 1
  • 1
  • 1
  • 1
Dieser GDF3 Antikörper ist unkonjugiert

Applikation

  • 38
  • 22
  • 18
  • 11
  • 9
  • 5
  • 3
  • 2
  • 2
  • 1
  • 1
Western Blotting (WB), Immunohistochemistry (Paraffin-embedded Sections) (IHC (p)), Enzyme Immunoassay (EIA)
  • Bindungsspezifität

    • 7
    • 5
    • 5
    • 4
    • 3
    • 2
    • 2
    • 2
    • 1
    • 1
    • 1
    • 1
    N-Term

    Spezifität

    This antibody detects GDF3 at N-term.

    Aufreinigung

    Protein G column, eluted with high and low pH buffers and neutralized immediately, followed by dialysis against PBS

    Immunogen

    This antibody is generated from rabbits immunized with a KLH conjugated synthetic peptide selected from the N-terminal region of human GDF3.

    Isotyp

    Ig Fraction
  • Applikationshinweise

    ELISA 1: 1,000. Western blot 1: 100 - 1: 500. Immunohistochemistry 1: 50 - 1: 100.
    Other applications not tested.
    Optimal dilutions are dependent on conditions and should be determined by the user.

    Beschränkungen

    Nur für Forschungszwecke einsetzbar
  • Format

    Liquid

    Konzentration

    0.25 mg/mL

    Buffer

    PBS with 0.09 % (W/V) sodium azide

    Konservierungsmittel

    Sodium azide

    Vorsichtsmaßnahmen

    This product contains sodium azide: a POISONOUS AND HAZARDOUS SUBSTANCE which should be handled by trained staff only.

    Handhabung

    Avoid repeated freezing and thawing.

    Lagerung

    4 °C/-20 °C

    Informationen zur Lagerung

    Store the antibody at 2 - 8 °C up to one month or (in aliquots) at -20 °C for longer.
  • Target

    GDF3 (Growth Differentiation Factor 3 (GDF3))

    Andere Bezeichnung

    GDF3

    Hintergrund

    GDF3 is a member of the bone morphogenetic protein (BMP) family and the TGF-beta superfamily. This group of proteins is characterized by a polybasic proteolytic processing site which is cleaved to produce a mature protein containing seven conserved cysteine residues. The members of this family are regulators of cell growth and differentiation in both embryonic and adult tissues. The function of this protein is unknown, but expression studies suggest it may be involved in regulation of the adult lymphatic and erythroid systems and embryonic development.Synonyms: GDF-3, Growth/differentiation factor 3

    Molekulargewicht

    41486 Da

    Gen-ID

    9573, 9606

    UniProt

    Q9NR23
Sie sind hier:
Chat with us!