Telefon:
+49 (0)241 95 163 153
Fax:
+49 (0)241 95 163 155
E-Mail:
orders@antikoerper-online.de

GDF2 Antikörper (N-Term)

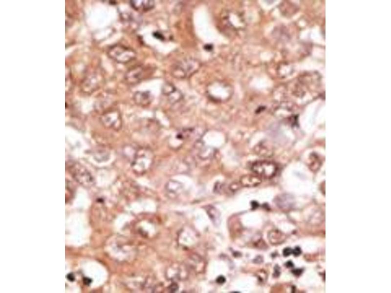
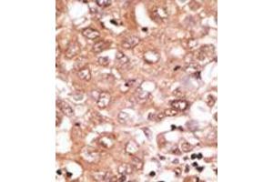
Der Kaninchen Polyklonal anti-GDF2 Antikörper wird verwendet zum Nachweis von GDF2 in Proben von Human und Maus. Er wurde validiert für WB, IHC (p) und EIA.
Produktnummer ABIN357458
870,77 €
Zzgl. Versandkosten 20,00 € und MwSt
0.4 mL
Lieferung nach: Deutschland
Lieferung in 16 Werktagen

Kurzübersicht für GDF2 Antikörper (N-Term) (ABIN357458)

Target

Alle GDF2 Antikörper anzeigen
GDF2 (Growth Differentiation Factor 2 (GDF2))

Reaktivität

  • 67
  • 32
  • 19
  • 2
  • 2
  • 2
  • 2
  • 2
  • 1
  • 1
  • 1
  • 1
Human, Maus

Wirt

  • 52
  • 16
  • 3
  • 1
Kaninchen

Klonalität

  • 57
  • 15
Polyklonal

Konjugat

  • 35
  • 7
  • 5
  • 2
  • 2
  • 2
  • 2
  • 1
  • 1
  • 1
  • 1
  • 1
  • 1
  • 1
  • 1
  • 1
  • 1
  • 1
  • 1
  • 1
  • 1
  • 1
  • 1
  • 1
Dieser GDF2 Antikörper ist unkonjugiert

Applikation

  • 43
  • 22
  • 15
  • 13
  • 13
  • 8
  • 8
  • 7
  • 4
  • 3
  • 3
  • 2
  • 1
  • 1
  • 1
Western Blotting (WB), Immunohistochemistry (Paraffin-embedded Sections) (IHC (p)), Enzyme Immunoassay (EIA)
  • Bindungsspezifität

    • 15
    • 6
    • 5
    • 4
    • 2
    • 2
    • 2
    • 2
    • 2
    • 2
    • 1
    • 1
    • 1
    • 1
    • 1
    • 1
    • 1
    N-Term

    Spezifität

    This antibody detects BMP9 (GDF2) at N-term.

    Aufreinigung

    Protein G column, eluted with high and low pH buffers and neutralized immediately, followed by dialysis against PBS

    Immunogen

    This antibody is generated from rabbits immunized with a KLH conjugated synthetic peptide selected from the N-terminal region of human GDF2.

    Isotyp

    Ig Fraction
  • Applikationshinweise

    ELISA 1: 1,000. Western blot 1: 100 - 1: 500. Immunohistochemistry 1: 50 - 1: 100.
    Other applications not tested.
    Optimal dilutions are dependent on conditions and should be determined by the user.

    Beschränkungen

    Nur für Forschungszwecke einsetzbar
  • Format

    Liquid

    Konzentration

    0.25 mg/mL

    Buffer

    PBS with 0.09 % (W/V) sodium azide

    Konservierungsmittel

    Sodium azide

    Vorsichtsmaßnahmen

    This product contains sodium azide: a POISONOUS AND HAZARDOUS SUBSTANCE which should be handled by trained staff only.

    Handhabung

    Avoid repeated freezing and thawing.

    Lagerung

    4 °C/-20 °C

    Informationen zur Lagerung

    Store the antibody at 2 - 8 °C up to one month or (in aliquots) at -20 °C for longer.
  • Target

    GDF2 (Growth Differentiation Factor 2 (GDF2))

    Andere Bezeichnung

    BMP9

    Hintergrund

    GDF2 is a member of the bone morphogenetic protein (BMP) family and the TGF-beta superfamily. This group of proteins is characterized by a polybasic proteolytic processing site which is cleaved to produce a mature protein containing seven conserved cysteine residues. The members of this family are regulators of cell growth and differentiation in both embryonic and adult tissues. Studies in rodents suggest that this protein plays a role in the adult liver and in differentiation of cholinergic central nervous system neurons.Synonyms: GDF-2, GDF2, Growth/differentiation factor 2

    Molekulargewicht

    47320 Da

    Gen-ID

    2658, 9606

    UniProt

    Q9UK05

    Pathways

    Transition Metal Ion Homeostasis
Sie sind hier:
Chat with us!