Telefon:
+49 (0)241 95 163 153
Fax:
+49 (0)241 95 163 155
E-Mail:
orders@antikoerper-online.de

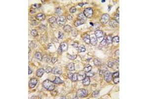
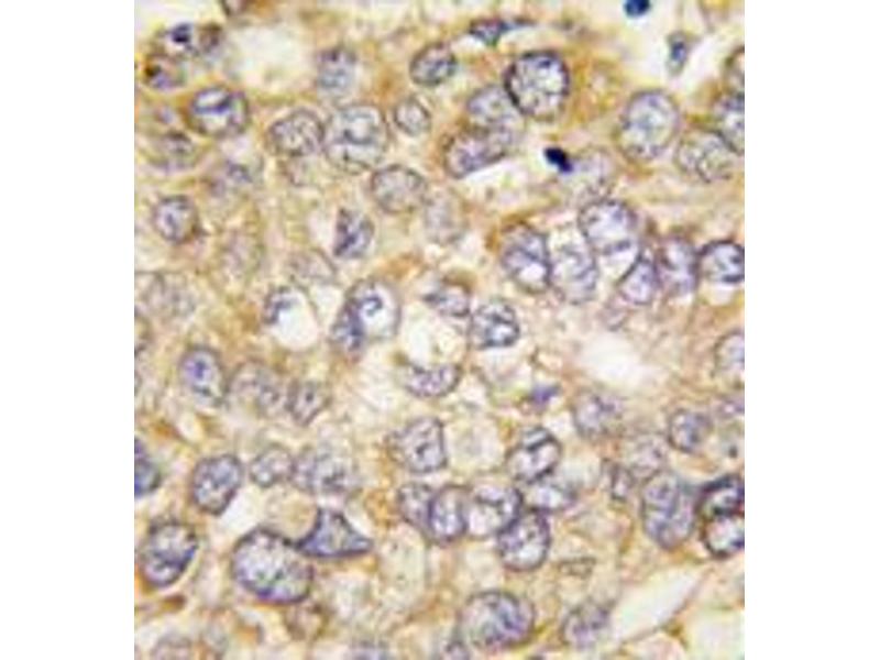
Chordin Antikörper (C-Term)

Der Kaninchen Polyklonal anti-Chordin Antikörper (ABIN356892) detektiert spezifisch Chordin in WB, IHC (p) und EIA. Dieser Antikörper reagiert spezifisch mit Proben aus Human.
Produktnummer ABIN356892
870,77 €
Zzgl. Versandkosten 20,00 € und MwSt
0.4 mL
Lieferung nach: Deutschland
Lieferung in 16 Werktagen

Kurzübersicht für Chordin Antikörper (C-Term) (ABIN356892)

Target

Alle Chordin (CHRD) Antikörper anzeigen
Chordin (CHRD)

Reaktivität

  • 39
  • 22
  • 11
  • 1
Human

Wirt

  • 48
  • 1
Kaninchen

Klonalität

  • 48
  • 1
Polyklonal

Konjugat

  • 20
  • 5
  • 3
  • 3
  • 3
  • 3
  • 2
  • 2
  • 2
  • 2
  • 2
  • 2
Dieser Chordin Antikörper ist unkonjugiert

Applikation

  • 26
  • 25
  • 18
  • 5
  • 3
  • 2
  • 1
  • 1
  • 1
  • 1
Western Blotting (WB), Immunohistochemistry (Paraffin-embedded Sections) (IHC (p)), Enzyme Immunoassay (EIA)
  • Bindungsspezifität

    • 8
    • 7
    • 7
    • 3
    • 2
    • 2
    • 1
    • 1
    • 1
    • 1
    • 1
    • 1
    • 1
    • 1
    • 1
    • 1
    C-Term

    Spezifität

    This antibody detects CHRD at C-term.

    Aufreinigung

    Protein A column, followed by peptide affinity purification.

    Immunogen

    This antibody is generated from rabbits immunized with a KLH conjugated synthetic peptide selected from the C-terminal region of human CHRD.

    Isotyp

    Ig Fraction
  • Applikationshinweise

    ELISA 1: 1,000. Western blot 1: 50 - 1: 100. Immunohistochemistry 1: 10 - 1: 50.
    Other applications not tested.
    Optimal dilutions are dependent on conditions and should be determined by the user.

    Beschränkungen

    Nur für Forschungszwecke einsetzbar
  • Format

    Liquid

    Konzentration

    0.25 mg/mL

    Buffer

    PBS with 0.09 % (W/V) sodium azide

    Konservierungsmittel

    Sodium azide

    Vorsichtsmaßnahmen

    This product contains sodium azide: a POISONOUS AND HAZARDOUS SUBSTANCE which should be handled by trained staff only.

    Handhabung

    Avoid repeated freezing and thawing.

    Lagerung

    4 °C/-20 °C

    Informationen zur Lagerung

    Store the antibody at 2 - 8 °C up to one month or (in aliquots) at -20 °C for longer.
  • Target

    Chordin (CHRD)

    Andere Bezeichnung

    Chordin

    Hintergrund

    CHRD is a secreted protein that dorsalizes early vertebrate embryonic tissues by binding to ventralizing TGF-beta-like bone morphogenetic proteins and sequestering them in latent complexes. This protein may also have roles in organogenesis and during adulthood.Synonyms: CHRD

    Molekulargewicht

    102032 Da

    Gen-ID

    8646, 9606

    UniProt

    Q9H2X0
Sie sind hier:
Chat with us!